验证数据展示
经过测试的应用
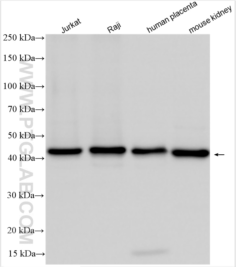
| Positive WB detected in | Jurkat cells, human kidney tissue, HeLa cells, Raji cells, human placenta tissue, mouse kidney tissue |
| Positive IP detected in | HepG2 cells |
| Positive IHC detected in | human prostate cancer tissue Note: suggested antigen retrieval with TE buffer pH 9.0; (*) Alternatively, antigen retrieval may be performed with citrate buffer pH 6.0 |
| Positive IF/ICC detected in | HepG2 cells |
推荐稀释比
| 应用 | 推荐稀释比 |
|---|---|
| Western Blot (WB) | WB : 1:2000-1:16000 |
| Immunoprecipitation (IP) | IP : 0.5-4.0 ug for 1.0-3.0 mg of total protein lysate |
| Immunohistochemistry (IHC) | IHC : 1:50-1:500 |
| Immunofluorescence (IF)/ICC | IF/ICC : 1:200-1:800 |
| It is recommended that this reagent should be titrated in each testing system to obtain optimal results. | |
| Sample-dependent, Check data in validation data gallery. | |
产品信息
11005-1-AP targets RPL3 in WB, IHC, IF/ICC, IP, ELISA applications and shows reactivity with human, mouse samples.
| 经测试应用 | WB, IHC, IF/ICC, IP, ELISA Application Description |
| 文献引用应用 | WB, IHC, IF |
| 经测试反应性 | human, mouse |
| 文献引用反应性 | human, mouse |
| 免疫原 |
CatNo: Ag1436 Product name: Recombinant human RPL3 protein Source: e coli.-derived, PGEX-4T Tag: GST Domain: 153-403 aa of BC012786 Sequence: MKKYCQVIRVIAHTQMRLLPLRQKKAHLMEIQVNGGTVAEKLDWARERLEQQVPVNQVFGQDEMIDVIGVTKGKGYKGVTSRWHTKKLPRKTHRGLRKVACIGAWHPARVAFSVARAGQKGYHHRTEINKKIYKIGQGYLIKDGKLIKNNASTDYDLSDKSINPLGGFVHYGEVTNDFVMLKGCVVGTKKRVLTLRKSLLVQTKRRALEKIDLKFIDTTSKFGHGRFQTMEEKKAFMGPLKKDRIAKEEGA 种属同源性预测 |
| 宿主/亚型 | Rabbit / IgG |
| 抗体类别 | Polyclonal |
| 产品类型 | Antibody |
| 全称 | ribosomal protein L3 |
| 别名 | 60S ribosomal protein L3, HIV-1 TAR RNA-binding protein B, Large ribosomal subunit protein uL3, OK/SW-cl.32, ribosomal protein L3 |
| 计算分子量 | 46/27 kDa |
| 观测分子量 | 46 kDa |
| GenBank蛋白编号 | BC012786 |
| 基因名称 | RPL3 |
| Gene ID (NCBI) | 6122 |
| RRID | AB_2181760 |
| 偶联类型 | Unconjugated |
| 形式 | Liquid |
| 纯化方式 | Antigen affinity purification |
| UNIPROT ID | P39023 |
| 储存缓冲液 | PBS with 0.02% sodium azide and 50% glycerol, pH 7.3. |
| 储存条件 | Store at -20°C. Stable for one year after shipment. Aliquoting is unnecessary for -20oC storage. |
背景介绍
Ribosomes, the complexes that catalyze protein synthesis, consist of a small 40S subunit and a large 60S subunit. Together these subunits are composed of 4 RNA species and approximately 80 structurally distinct proteins. RPL3, also named as TARBP-B and MGC104284, belongs to the ribosomal protein L3P family. This protein is a component of the 60S subunit. It can bind to the HIV-1 TAR mRNA, and it has been suggested that the protein contributes to tat-mediated transactivation. As is typical for genes encoding ribosomal proteins, there are multiple processed pseudogenes of this gene dispersed through the genome. This is a rabbit polyclonal antibody raised against the C terminus of human RPL3.
实验方案
| Product Specific Protocols | |
|---|---|
| IF protocol for RPL3 antibody 11005-1-AP | Download protocol |
| IHC protocol for RPL3 antibody 11005-1-AP | Download protocol |
| IP protocol for RPL3 antibody 11005-1-AP | Download protocol |
| WB protocol for RPL3 antibody 11005-1-AP | Download protocol |
| Standard Protocols | |
|---|---|
| Click here to view our Standard Protocols |
发表文章
| Species | Application | Title |
|---|---|---|
Proc Natl Acad Sci U S A Preventing translational inhibition from ribosomal protein insufficiency by a herpes simplex virus-encoded ribosome-associated protein.
| ||
Elife METTL18-mediated histidine methylation of RPL3 modulates translation elongation for proteostasis maintenance. | ||
Aging (Albany NY) RNA-seq analysis of the key long noncoding RNAs and mRNAs related to cognitive impairment after cardiac arrest and cardiopulmonary resuscitation. | ||
Nucleic Acid Ther Knockdown of Muscle-Specific Ribosomal Protein L3-Like Enhances Muscle Function in Healthy and Dystrophic Mice. | ||
Life Sci Alliance Rapid ER remodeling induced by a peptide-lipid complex in dying tumor cells |






