验证数据展示
经过测试的应用
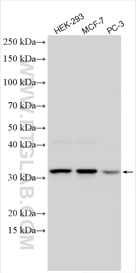
| Positive WB detected in | mouse spleen tissue, HEK-293 cells, MCF-7 cells, PC-3 cells |
| Positive IF/ICC detected in | HepG2 cells |
推荐稀释比
| 应用 | 推荐稀释比 |
|---|---|
| Western Blot (WB) | WB : 1:500-1:3000 |
| Immunofluorescence (IF)/ICC | IF/ICC : 1:10-1:100 |
| It is recommended that this reagent should be titrated in each testing system to obtain optimal results. | |
| Sample-dependent, Check data in validation data gallery. | |
发表文章中的应用
| WB | See 2 publications below |
| IHC | See 2 publications below |
产品信息
13010-1-AP targets RPIA in WB, IHC, IF/ICC, ELISA applications and shows reactivity with human, mouse, rat samples.
| 经测试应用 | WB, IF/ICC, ELISA Application Description |
| 文献引用应用 | WB, IHC |
| 经测试反应性 | human, mouse, rat |
| 文献引用反应性 | human, mouse |
| 免疫原 |
CatNo: Ag3699 Product name: Recombinant human RPIA protein Source: e coli.-derived, PGEX-4T Tag: GST Domain: 1-311 aa of BC015529 Sequence: MQRPGPFSTLYGRVLAPLPGRAGGAASGGGGNSWDLPGSHVRLPGRAQSGTRGGAGNTSTSCGDSNSICPAPSTMSKAEEAKKLAGRAAVENHVRNNQVLGIGSGSTIVHAVQRIAERVKQENLNLVCIPTSFQARQLILQYGLTLSDLDRHPEIDLAIDGADEVDADLNLIKGGGGCLTQEKIVAGYASRFIVIADFRKDSKNLGDQWHKGIPIEVIPMAYVPVSRAVSQKFGGVVELRMAVNKAGPVVTDNGNFILDWKFDRVHKWSEVNTAIKMIPGVVDTGLFINMAERVYFGMQDGSVNMREKPFC 种属同源性预测 |
| 宿主/亚型 | Rabbit / IgG |
| 抗体类别 | Polyclonal |
| 产品类型 | Antibody |
| 全称 | ribose 5-phosphate isomerase A |
| 别名 | RPI, Ribose-5-phosphate isomerase, ribose 5 phosphate isomerase A, Phosphoriboisomerase, EC:5.3.1.6 |
| 计算分子量 | 311 aa, 33 kDa |
| 观测分子量 | 33 kDa |
| GenBank蛋白编号 | BC015529 |
| 基因名称 | RPIA |
| Gene ID (NCBI) | 22934 |
| RRID | AB_10638301 |
| 偶联类型 | Unconjugated |
| 形式 | Liquid |
| 纯化方式 | Antigen affinity purification |
| UNIPROT ID | P49247 |
| 储存缓冲液 | PBS with 0.02% sodium azide and 50% glycerol, pH 7.3. |
| 储存条件 | Store at -20°C. Stable for one year after shipment. Aliquoting is unnecessary for -20oC storage. |
背景介绍
RPIA(Ribose-5-phosphate isomerase) is also named as RPI and belongs to the ribose 5-phosphate isomerase family. It is involved in pentose-phosphate shunt, non-oxidative branch. It is an enzyme in the pentose-phosphate pathway, appears to be determined by a single structural locus and is probably a dimer(PMID:7396409).
实验方案
| Product Specific Protocols | |
|---|---|
| IF protocol for RPIA antibody 13010-1-AP | Download protocol |
| WB protocol for RPIA antibody 13010-1-AP | Download protocol |
| Standard Protocols | |
|---|---|
| Click here to view our Standard Protocols |
发表文章
| Species | Application | Title |
|---|---|---|
Int J Biol Sci Diallyl disulfide induces DNA damage and growth inhibition in colorectal cancer cells by promoting POU2F1 ubiquitination | ||
Cell Death Discov MDMX reprograms glycolysis of hepatocellular carcinoma via 14-3-3γ/FOXO1. |


