验证数据展示
经过测试的应用
| Positive WB detected in | HEK-293 cells, HeLa cells, Jurkat cells |
| Positive IP detected in | HEK-293 cells |
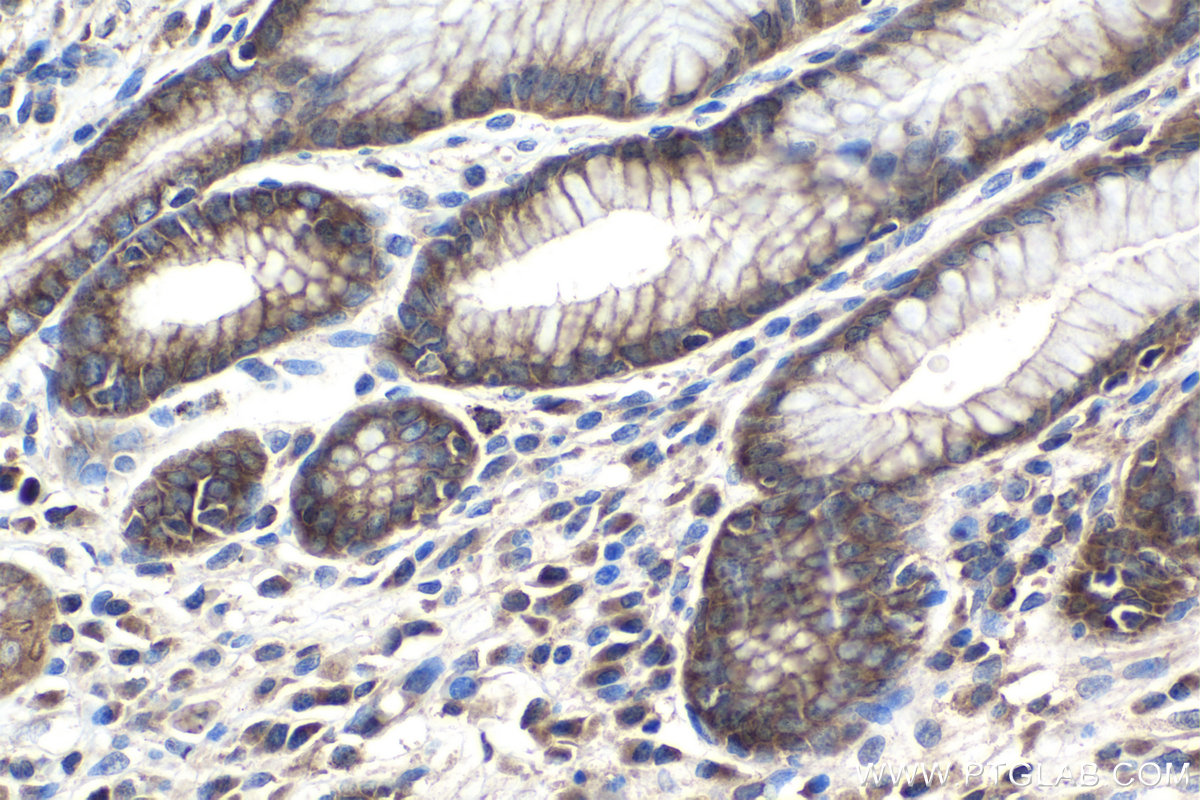
| Positive IHC detected in | human stomach cancer tissue Note: suggested antigen retrieval with TE buffer pH 9.0; (*) Alternatively, antigen retrieval may be performed with citrate buffer pH 6.0 |
| Positive IF/ICC detected in | HeLa cells |
推荐稀释比
| 应用 | 推荐稀释比 |
|---|---|
| Western Blot (WB) | WB : 1:500-1:2000 |
| Immunoprecipitation (IP) | IP : 0.5-4.0 ug for 1.0-3.0 mg of total protein lysate |
| Immunohistochemistry (IHC) | IHC : 1:250-1:1000 |
| Immunofluorescence (IF)/ICC | IF/ICC : 1:50-1:500 |
| It is recommended that this reagent should be titrated in each testing system to obtain optimal results. | |
| Sample-dependent, Check data in validation data gallery. | |
发表文章中的应用
| WB | See 4 publications below |
产品信息
23741-1-AP targets RPAP3 in WB, IHC, IF/ICC, IP, ELISA applications and shows reactivity with human samples.
| 经测试应用 | WB, IHC, IF/ICC, IP, ELISA Application Description |
| 文献引用应用 | WB |
| 经测试反应性 | human |
| 文献引用反应性 | human |
| 免疫原 |
CatNo: Ag20661 Product name: Recombinant human RPAP3 protein Source: e coli.-derived, PET30a Tag: 6*His Domain: 1-360 aa of BC056415 Sequence: MTSANKAIELQLQVKQNAEELQDFMRDLENWEKDIKQKDMELRRQNGVPEENLPPIRNGNFRKKKKGKAKESSKKTREENTKNRIKSYDYEAWAKLDVDRILDELDKDDSTHESLSQESESEEDGIHVDSQKALVLKEKGNKYFKQGKYDEAIDCYTKGMDADPYNPVLPTNRASAYFRLKKFAVAESDCNLAVALNRSYTKAYSRRGAARFALQKLEEAKKDYERVLELEPNNFEATNELRKISQALASKENSYPKEADIVIKSTEGERKQIEAQQNKQQAISEKDRGNGFFKEGKYERAIECYTRGIAADGANALLPANRAMAYLKIQKYEEAEKDCTQAILLDGSYSKAFARRGTAR 种属同源性预测 |
| 宿主/亚型 | Rabbit / IgG |
| 抗体类别 | Polyclonal |
| 产品类型 | Antibody |
| 全称 | RNA polymerase II associated protein 3 |
| 别名 | RNA polymerase II-associated protein 3 |
| 计算分子量 | 76 kDa |
| 观测分子量 | 76 kDa |
| GenBank蛋白编号 | BC056415 |
| 基因名称 | RPAP3 |
| Gene ID (NCBI) | 79657 |
| RRID | AB_2879313 |
| 偶联类型 | Unconjugated |
| 形式 | Liquid |
| 纯化方式 | Antigen Affinity purified |
| UNIPROT ID | Q9H6T3 |
| 储存缓冲液 | PBS with 0.02% sodium azide and 50% glycerol, pH 7.3. |
| 储存条件 | Store at -20°C. Stable for one year after shipment. Aliquoting is unnecessary for -20oC storage. |
实验方案
| Product Specific Protocols | |
|---|---|
| WB protocol for RPAP3 antibody 23741-1-AP | Download protocol |
| IHC protocol for RPAP3 antibody 23741-1-AP | Download protocol |
| IF protocol for RPAP3 antibody 23741-1-AP | Download protocol |
| IP protocol for RPAP3 antibody 23741-1-AP | Download protocol |
| Standard Protocols | |
|---|---|
| Click here to view our Standard Protocols |
发表文章
| Species | Application | Title |
|---|---|---|
Cell Chem Biol RUVBL1/RUVBL2 ATPase Activity Drives PAQosome Maturation, DNA Replication and Radioresistance in Lung Cancer. | ||
Biochem Biophys Res Commun HEATR1, a novel interactor of Pontin/Reptin, stabilizes Pontin/Reptin and promotes cell proliferation of oral squamous cell carcinoma. | ||
medRxiv New ZNHIT3 Variants Disrupting snoRNP Assembly Cause Prenatal PEHO Syndrome with Isolated Hydrops |







