验证数据展示
经过测试的应用
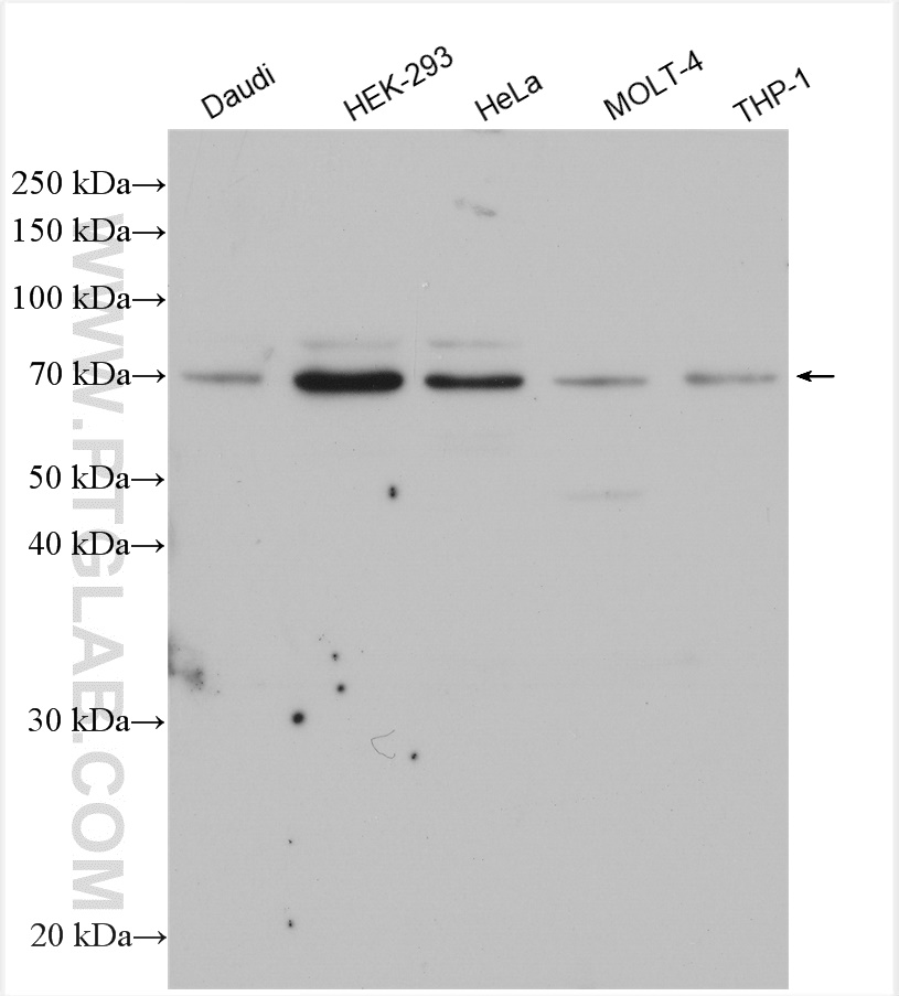
| Positive WB detected in | Daudi cells, MCF-7 cells, HEK-293 cells, HeLa cells, MOLT-4 cells, THP-1 cells |
| Positive IP detected in | HEK-293 cells |
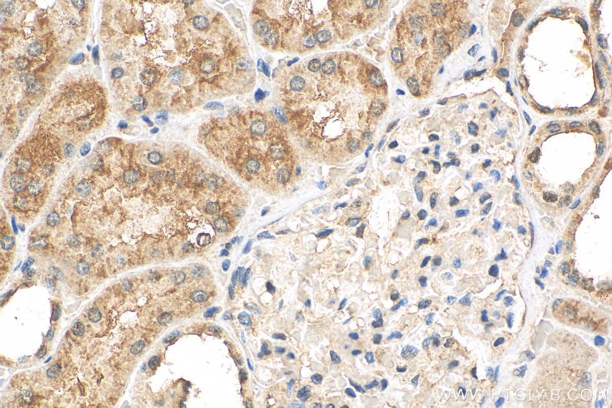
| Positive IHC detected in | human kidney tissue, mouse cerebellum tissue, mouse brain tissue Note: suggested antigen retrieval with TE buffer pH 9.0; (*) Alternatively, antigen retrieval may be performed with citrate buffer pH 6.0 |
| Positive IF/ICC detected in | HEK-293 cells |
推荐稀释比
| 应用 | 推荐稀释比 |
|---|---|
| Western Blot (WB) | WB : 1:500-1:3000 |
| Immunoprecipitation (IP) | IP : 0.5-4.0 ug for 1.0-3.0 mg of total protein lysate |
| Immunohistochemistry (IHC) | IHC : 1:50-1:500 |
| Immunofluorescence (IF)/ICC | IF/ICC : 1:200-1:800 |
| It is recommended that this reagent should be titrated in each testing system to obtain optimal results. | |
| Sample-dependent, Check data in validation data gallery. | |
产品信息
17401-1-AP targets RPAP2 in WB, IHC, IF/ICC, IP, CoIP, ELISA applications and shows reactivity with human, mouse samples.
| 经测试应用 | WB, IHC, IF/ICC, IP, ELISA Application Description |
| 文献引用应用 | WB, IHC, IF, CoIP |
| 经测试反应性 | human, mouse |
| 文献引用反应性 | human, mouse |
| 免疫原 |
CatNo: Ag11374 Product name: Recombinant human RPAP2 protein Source: e coli.-derived, PGEX-4T Tag: GST Domain: 1-351 aa of BC039014 Sequence: MADFAGPSSAGRKAGAPRCSRKAAGTKQTSTLKQEDASKRKAELEAAVRKKIEFERKALHIVEQLLEENITEEFLMECGRFITPAHYSDVVDERSIVKLCGYPLCQKKLGIVPKQKYKISTKTNKVYDITERKSFCSNFCYQASKFFEAQIPKTPVWVREEERHPDFQLLKEEQSGHSGEEVQLCSKAIKTSDIDNPSHFEKQYESSSSSTHSDSSSDNEQDFVSSILPGNRPNSTNIRPQLHQKSIMKKKAGHKANSKHKDKEQTVVDVTEQLGDCKLDSQEKDATCELPLQKVNTQSSSNSTLPERLKASENSESEYSRSEITLVGISKKSAEHFKRKFAKSNQVSRSV 种属同源性预测 |
| 宿主/亚型 | Rabbit / IgG |
| 抗体类别 | Polyclonal |
| 产品类型 | Antibody |
| 全称 | RNA polymerase II associated protein 2 |
| 别名 | RNA polymerase II-associated protein 2, EC:3.1.3.16, C1orf82 |
| 计算分子量 | 612 aa, 70 kDa |
| 观测分子量 | 70 kDa |
| GenBank蛋白编号 | BC039014 |
| 基因名称 | RPAP2 |
| Gene ID (NCBI) | 79871 |
| RRID | AB_2180990 |
| 偶联类型 | Unconjugated |
| 形式 | Liquid |
| 纯化方式 | Antigen affinity purification |
| UNIPROT ID | Q8IXW5 |
| 储存缓冲液 | PBS with 0.02% sodium azide and 50% glycerol, pH 7.3. |
| 储存条件 | Store at -20°C. Stable for one year after shipment. Aliquoting is unnecessary for -20oC storage. |
背景介绍
RPAP2 belongs to the RNA Pol II-associated protein (RPAP) family, a set of proteins involved in human Pol II machinery. Recently it has been reported that RPAP2 is required for efficient transcription of snRNA genes by Pol II. siRNA-mediated knockdown of RPAP2 caused defects in snRNA gene expression. (22137580)
实验方案
| Product Specific Protocols | |
|---|---|
| IF protocol for RPAP2 antibody 17401-1-AP | Download protocol |
| IHC protocol for RPAP2 antibody 17401-1-AP | Download protocol |
| IP protocol for RPAP2 antibody 17401-1-AP | Download protocol |
| WB protocol for RPAP2 antibody 17401-1-AP | Download protocol |
| Standard Protocols | |
|---|---|
| Click here to view our Standard Protocols |
发表文章
| Species | Application | Title |
|---|---|---|
Mol Cell Ser7 phosphorylation of the CTD recruits the RPAP2 Ser5 phosphatase to snRNA genes. | ||
Mol Cell Coordination between Two Branches of the Unfolded Protein Response Determines Apoptotic Cell Fate.
| ||
Nat Struct Mol Biol RPRD1A and RPRD1B are human RNA polymerase II C-terminal domain scaffolds for Ser5 dephosphorylation.
| ||
Nucleic Acids Res Nuclear import of RNA polymerase II is coupled with nucleocytoplasmic shuttling of the RNA polymerase II-associated protein 2. | ||
PLoS One Herpes Simplex Virus 1 (HSV-1) ICP22 Protein Directly Interacts with Cyclin-Dependent Kinase (CDK)9 to Inhibit RNA Polymerase II Transcription Elongation. | ||
Histopathology Abnormal expression of RNA polymerase II associated proteins in muscle of patients with myofibrillar myopathies. |








