验证数据展示
经过测试的应用
| Positive WB detected in | HepG2 cells |
| Positive IP detected in | Y79 cells |
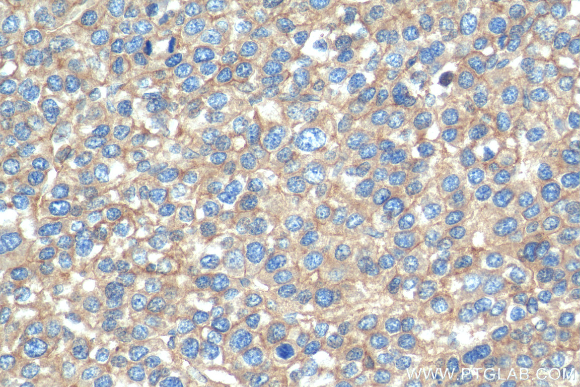
| Positive IHC detected in | human liver cancer tissue Note: suggested antigen retrieval with TE buffer pH 9.0; (*) Alternatively, antigen retrieval may be performed with citrate buffer pH 6.0 |
推荐稀释比
| 应用 | 推荐稀释比 |
|---|---|
| Western Blot (WB) | WB : 1:1000-1:6000 |
| Immunoprecipitation (IP) | IP : 0.5-4.0 ug for 1.0-3.0 mg of total protein lysate |
| Immunohistochemistry (IHC) | IHC : 1:50-1:500 |
| It is recommended that this reagent should be titrated in each testing system to obtain optimal results. | |
| Sample-dependent, Check data in validation data gallery. | |
产品信息
14151-1-AP targets RP2 in WB, IHC, IP, CoIP, ELISA applications and shows reactivity with human, mouse, rat samples.
| 经测试应用 | WB, IHC, IP, ELISA Application Description |
| 文献引用应用 | WB, IHC, CoIP |
| 经测试反应性 | human, mouse, rat |
| 文献引用反应性 | human, mouse |
| 免疫原 |
CatNo: Ag5332 Product name: Recombinant human RP2 protein Source: e coli.-derived, PGEX-4T Tag: GST Domain: 1-350 aa of BC043348 Sequence: MGCFFSKRRKADKESRPENEEERPKQYSWDQREKVDPKDYMFSGLKDETVGRLPGTVAGQQFLIQDCENCNIYIFDHSATVTIDDCTNCIIFLGPVKGSVFFRNCRDCKCTLACQQFRVRDCRKLEVFLCCATQPIIESSSNIKFGCFQWYYPELAFQFKDAGLSIFNNTWSNIHDFTPVSGELNWSLLPEDAVVQDYVPIPTTEELKAVRVSTEANRSIVPISRGQRQKSSDESCLVVLFAGDYTIANARKLIDEMVGKGFFLVQTKEVSMKAEDAQRVFREKAPDFLPLLNKGPVIALEFNGDGAVEVCQLIVNEIFNGTKMFVSESKETASGDVDSFYNFADIQMGI 种属同源性预测 |
| 宿主/亚型 | Rabbit / IgG |
| 抗体类别 | Polyclonal |
| 产品类型 | Antibody |
| 全称 | retinitis pigmentosa 2 (X-linked recessive) |
| 别名 | DELXp11.3, KIAA0215, Protein XRP2, TBCCD2 |
| 计算分子量 | 350 aa, 40 kDa |
| 观测分子量 | 37-40 kDa |
| GenBank蛋白编号 | BC043348 |
| 基因名称 | RP2 |
| Gene ID (NCBI) | 6102 |
| RRID | AB_11182501 |
| 偶联类型 | Unconjugated |
| 形式 | Liquid |
| 纯化方式 | Antigen affinity purification |
| UNIPROT ID | O75695 |
| 储存缓冲液 | PBS with 0.02% sodium azide and 50% glycerol, pH 7.3. |
| 储存条件 | Store at -20°C. Stable for one year after shipment. Aliquoting is unnecessary for -20oC storage. |
实验方案
| Product Specific Protocols | |
|---|---|
| IHC protocol for RP2 antibody 14151-1-AP | Download protocol |
| IP protocol for RP2 antibody 14151-1-AP | Download protocol |
| WB protocol for RP2 antibody 14151-1-AP | Download protocol |
| Standard Protocols | |
|---|---|
| Click here to view our Standard Protocols |
发表文章
| Species | Application | Title |
|---|---|---|
Cell Mol Life Sci A look into retinal organoids: methods, analytical techniques, and applications. | ||
Sci Rep The BEACH Protein LRBA Promotes the Localization of the Heterotrimeric G-protein Golf to Olfactory Cilia. | ||
Sci Rep Hsa-miR-21-5p is induced by interleukin-6 and affects multiple pathogenic factors associated with fibroblast-like synoviocytes in rheumatoid arthritis | ||
Cells Candidate Interaction Partners of Calpain-5 Suggest Clues to Its Involvement in Neovascular Inflammatory Vitreoretinopathy. |



