验证数据展示
经过测试的应用
| Positive WB detected in | mouse retina tissue, rat retina tissue |
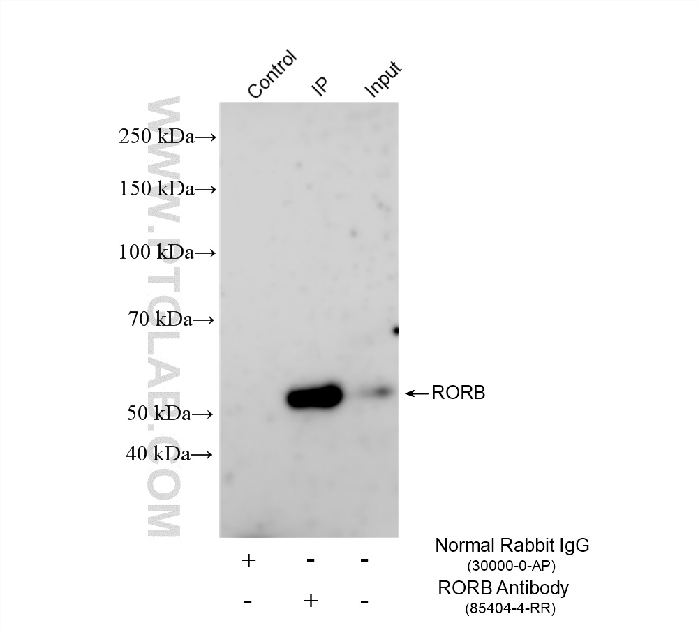
| Positive IP detected in | mouse eye tissue |
推荐稀释比
| 应用 | 推荐稀释比 |
|---|---|
| Western Blot (WB) | WB : 1:5000-1:15000 |
| Immunoprecipitation (IP) | IP : 0.5-4.0 ug for 1.0-3.0 mg of total protein lysate |
| It is recommended that this reagent should be titrated in each testing system to obtain optimal results. | |
| Sample-dependent, Check data in validation data gallery. | |
产品信息
85404-4-RR targets RORB in WB, IP, ELISA applications and shows reactivity with human, mouse, rat samples.
| 经测试应用 | WB, IP, ELISA Application Description |
| 经测试反应性 | human, mouse, rat |
| 免疫原 |
CatNo: Ag11910 Product name: Recombinant human RORB protein Source: e coli.-derived, PGEX-4T Tag: GST Domain: 106-459 aa of BC051830 Sequence: EQRQQQSGEAEALARVYSSSISNGLSNLNNETSGTYANGHVIDLPKSEGYYNVDSGQPSPDQSGLDMTGIKQIKQEPIYDLTSVPNLFTYSSFNNGQLAPGITMTEIDRIAQNIIKSHLETCQYTMEELHQLAWQTHTYEEIKAYQSKSREALWQQCAIQITHAIQYVVEFAKRITGFMELCQNDQILLLKSGCLEVVLVRMCRAFNPLNNTVLFEGKYGGMQMFKALGSDDLVNEAFDFAKNLCSLQLTEEEIALFSSAVLISPDRAWLIEPRKVQKLQEKIYFALQHVIQKNHLDDETLAKLIAKIPTITAVCNLHGEKLQVFKQSHPEIVNTLFPPLYKELFNPDCATGCK 种属同源性预测 |
| 宿主/亚型 | Rabbit / IgG |
| 抗体类别 | Recombinant |
| 产品类型 | Antibody |
| 全称 | RAR-related orphan receptor B |
| 别名 | NR1F2, Nuclear receptor ROR-beta, Nuclear receptor RZR-beta, Retinoid-related orphan receptor-beta, RZRB |
| 计算分子量 | 459 aa, 52 kDa |
| 观测分子量 | 52 kDa |
| GenBank蛋白编号 | BC051830 |
| 基因名称 | RORB |
| Gene ID (NCBI) | 6096 |
| RRID | AB_3744199 |
| 偶联类型 | Unconjugated |
| 形式 | Liquid |
| 纯化方式 | Protein A purification |
| UNIPROT ID | Q92753 |
| 储存缓冲液 | PBS with 0.02% sodium azide and 50% glycerol, pH 7.3. |
| 储存条件 | Store at -20°C. Stable for one year after shipment. Aliquoting is unnecessary for -20oC storage. |
背景介绍
Nuclear receptors (NRs) are a large group of ligand-inducible transcription factors that regulate many facets of mammalian Physiology (PMID: 22189870). In addition, NRs that lack identified ligands are termed orphan receptors. RORB is a transcription factor and belongs to the nuclear receptor family (PMID: 7935491), which shares a common modular structure composed of a transactivation domain, a DNA-binding domain, and a ligand-binding. Its function as the transcriptional factor is regulated by small lipophilic molecules, such as steroid hormones, vitamin D, retinoic acids, and thyroid hormone (PMID: 17431400).
实验方案
| Product Specific Protocols | |
|---|---|
| IP protocol for RORB antibody 85404-4-RR | Download protocol |
| WB protocol for RORB antibody 85404-4-RR | Download protocol |
| Standard Protocols | |
|---|---|
| Click here to view our Standard Protocols |


