验证数据展示
经过测试的应用
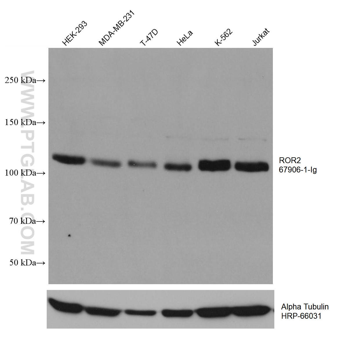
| Positive WB detected in | HEK-293 cells, HSC-T6 cells, NIH/3T3 cells, MDA-MB-231 cells, T-47D cells, HeLa cells, K-562 cells, Jurkat cells, 4T1 cells |
推荐稀释比
| 应用 | 推荐稀释比 |
|---|---|
| Western Blot (WB) | WB : 1:5000-1:50000 |
| It is recommended that this reagent should be titrated in each testing system to obtain optimal results. | |
| Sample-dependent, Check data in validation data gallery. | |
发表文章中的应用
| WB | See 2 publications below |
产品信息
67906-1-Ig targets ROR2 in WB, ELISA applications and shows reactivity with Human, Mouse, Rat samples.
| 经测试应用 | WB, ELISA Application Description |
| 文献引用应用 | WB |
| 经测试反应性 | Human, Mouse, Rat |
| 文献引用反应性 | mouse |
| 免疫原 |
CatNo: Ag31197 Product name: Recombinant human ROR2 protein Source: e coli.-derived, PET28a Tag: 6*His Domain: 781-943 aa of BC130522 Sequence: VSNARYVGPKQKAPPFPQPQFIPMKGQIRPMVPPPQLYIPVNGYQPVPAYGAYLPNFYPVQIPMQMAPQQVPPQMVPKPSSHHSGSGSTSTGYVTTAPSNTSMADRAALLSEGADDTQNAPEDGAQSTVQEAEEEEEGSVPETELLGDCDTLQVDEAQVQLEA 种属同源性预测 |
| 宿主/亚型 | Mouse / IgG1 |
| 抗体类别 | Monoclonal |
| 产品类型 | Antibody |
| 全称 | receptor tyrosine kinase-like orphan receptor 2 |
| 别名 | BDB, BDB1, NTRKR2, ROR2 |
| 计算分子量 | 943 aa, 105 kDa |
| 观测分子量 | 105 kDa |
| GenBank蛋白编号 | BC130522 |
| 基因名称 | ROR2 |
| Gene ID (NCBI) | 4920 |
| RRID | AB_2918662 |
| 偶联类型 | Unconjugated |
| 形式 | Liquid |
| 纯化方式 | Protein G purification |
| UNIPROT ID | Q01974 |
| 储存缓冲液 | PBS with 0.02% sodium azide and 50% glycerol, pH 7.3. |
| 储存条件 | Store at -20°C. Stable for one year after shipment. Aliquoting is unnecessary for -20oC storage. |
背景介绍
Tyrosine-protein kinase transmembrane receptor ROR2 belongs to the ROR family of receptor tyrosine kinases (RTKs) (PMID: 12815588). ROR2 is a developmentally regulated protein that has significant expression and roles in a wide variety of tissues during early embryonic development. It was established that ROR2 plays a key role in skeletal and neural organogenesis, as well as in midgut development in the mouse, but then becomes repressed in adult tissues. It may act as a receptor for wnt ligand WNT5A which may result in the inhibition of WNT3A-mediated signaling (PMID: 25614331). Mutations in the ROR2 gene are associated with autosomal recessive Robinow syndrome and autosomal dominant brachydactyly type B (PMID: 12815588).
实验方案
| Product Specific Protocols | |
|---|---|
| WB protocol for ROR2 antibody 67906-1-Ig | Download protocol |
| Standard Protocols | |
|---|---|
| Click here to view our Standard Protocols |
发表文章
| Species | Application | Title |
|---|---|---|
J Nanobiotechnology A novel microglia-targeting strategy based on nanoparticle-mediated delivery of miR-26a-5p for long-lasting analgesia in chronic pain | ||
bioRxiv Two functional forms of the Meckel-Gruber syndrome protein TMEM67 generated by proteolytic cleavage by ADAMTS9 mediate Wnt signaling and ciliogenesis |


