验证数据展示
经过测试的应用
| Positive WB detected in | mouse testis tissue, rat testis tissue | 
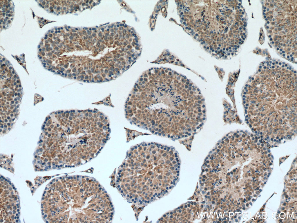
| Positive IHC detected in | mouse testis tissue, human colon cancer tissue Note: suggested antigen retrieval with TE buffer pH 9.0; (*) Alternatively, antigen retrieval may be performed with citrate buffer pH 6.0 | 
推荐稀释比
| 应用 | 推荐稀释比 | 
|---|---|
| Western Blot (WB) | WB : 1:500-1:2000 | 
| Immunohistochemistry (IHC) | IHC : 1:50-1:500 | 
| It is recommended that this reagent should be titrated in each testing system to obtain optimal results. | |
| Sample-dependent, Check data in validation data gallery. | |
产品信息
12565-1-AP targets ROPN1L in WB, IHC, ELISA applications and shows reactivity with human, mouse, rat samples.
| 经测试应用 | WB, IHC, ELISA Application Description | 
| 经测试反应性 | human, mouse, rat | 
| 免疫原 | CatNo: Ag3178 Product name: Recombinant human ROPN1L protein Source: e coli.-derived, PGEX-4T Tag: GST Domain: 1-230 aa of BC014607 Sequence: MPLPDTMFCAQQIHIPPELPDILKQFTKAAIRTQPADVLRWSAGYFSALSRGDPLPVKDRMEMPTATQKTDTGLTQGLLKVLHKQCHHKRYVELTDLEQKWKNLCLPKEKFKALLQLDPCENKIKWINFLALGCSMLGGSLNTALKHLCEILTDDREGGPARIPFKTFSYVYRYLARLDSDVSPLETESYLASLKENIDARKNGMIGLSDFFFPKRKLLESIENSEDVGH种属同源性预测 | 
| 宿主/亚型 | Rabbit / IgG | 
| 抗体类别 | Polyclonal | 
| 产品类型 | Antibody | 
| 全称 | ropporin 1-like | 
| 别名 | ropporin 1 like, ROPN1-like protein, ROPN1 like protein, ASP, AKAP-associated sperm protein | 
| 计算分子量 | 230 aa, 26 kDa | 
| 观测分子量 | 26 kDa | 
| GenBank蛋白编号 | BC014607 | 
| 基因名称 | ROPN1L | 
| Gene ID (NCBI) | 83853 | 
| RRID | AB_10638785 | 
| 偶联类型 | Unconjugated | 
| 形式 | Liquid | 
| 纯化方式 | Antigen affinity purification | 
| UNIPROT ID | Q96C74 | 
| 储存缓冲液 | PBS with 0.02% sodium azide and 50% glycerol, pH 7.3. | 
| 储存条件 | Store at -20°C. Stable for one year after shipment. Aliquoting is unnecessary for -20oC storage. | 
背景介绍
ROPN1L (Rhophilin Associated Tail Protein 1 Like) is a protein-coding gene that is a member of the ropporin family. ROPN1L plays a role in sperm function, as mutations in ROPN1L can cause defects in the fibrous sheath integrity, sperm motility, and PKA-dependent signaling processes, leading to male infertility.
实验方案
| Product Specific Protocols | |
|---|---|
| IHC protocol for ROPN1L antibody 12565-1-AP | Download protocol | 
| WB protocol for ROPN1L antibody 12565-1-AP | Download protocol | 
| Standard Protocols | |
|---|---|
| Click here to view our Standard Protocols | 





