验证数据展示
经过测试的应用
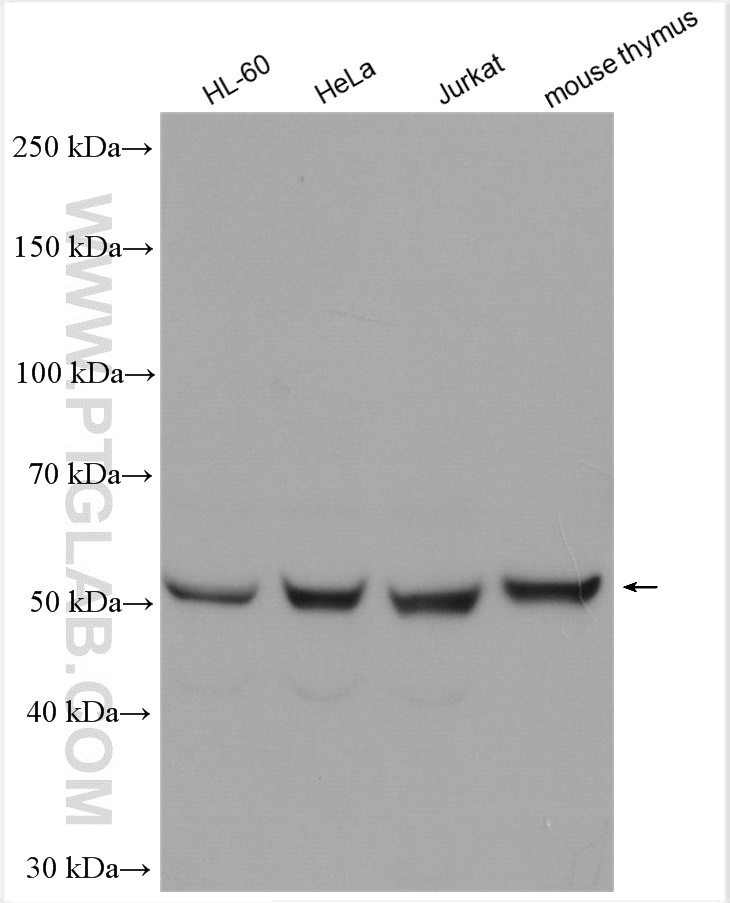
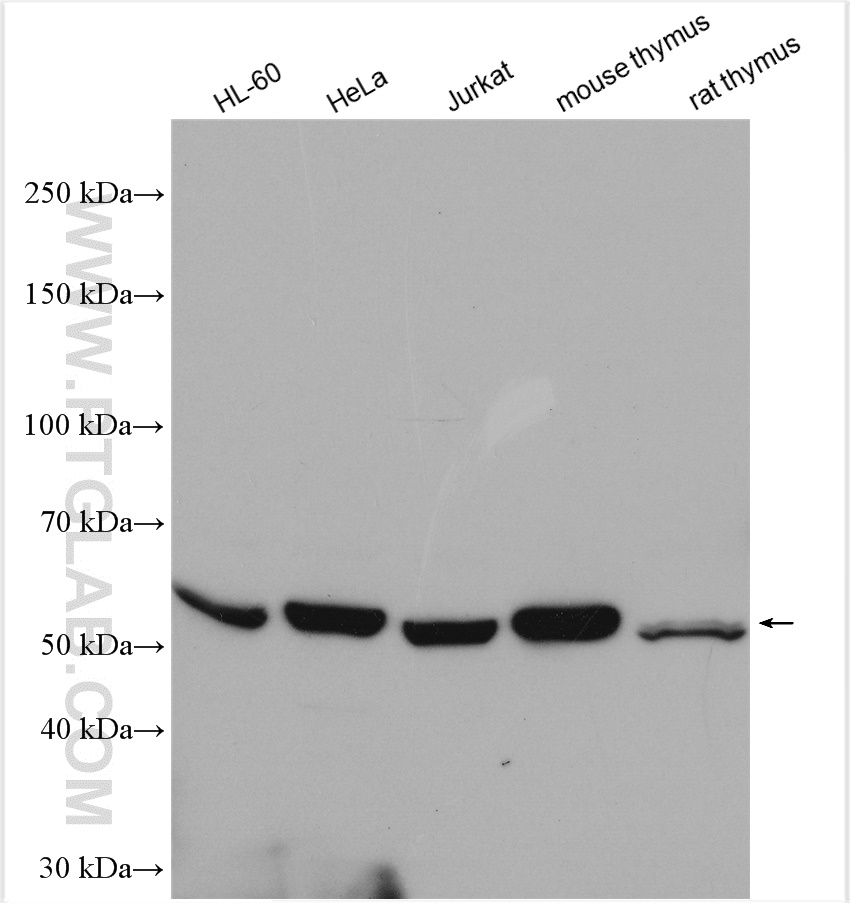
| Positive WB detected in | HL-60 cells, mouse thymus tissue, HeLa cells, Jurkat cells, rat thymus tissue |
| Positive IHC detected in | human lymphoma tissue Note: suggested antigen retrieval with TE buffer pH 9.0; (*) Alternatively, antigen retrieval may be performed with citrate buffer pH 6.0 |
推荐稀释比
| 应用 | 推荐稀释比 |
|---|---|
| Western Blot (WB) | WB : 1:2000-1:12000 |
| Immunohistochemistry (IHC) | IHC : 1:20-1:200 |
| It is recommended that this reagent should be titrated in each testing system to obtain optimal results. | |
| Sample-dependent, Check data in validation data gallery. | |
产品信息
14027-1-AP targets ROD1 in WB, IHC, IF, CoIP, ELISA applications and shows reactivity with human, mouse, rat samples.
| 经测试应用 | WB, IHC, ELISA Application Description |
| 文献引用应用 | WB, IHC, IF, CoIP |
| 经测试反应性 | human, mouse, rat |
| 文献引用反应性 | human, mouse |
| 免疫原 |
CatNo: Ag5172 Product name: Recombinant human ROD1 protein Source: e coli.-derived, PGEX-4T Tag: GST Domain: 1-350 aa of BC044585 Sequence: MDASPSPFSLPKKLNELSARRGSDELLSSGIINGPFTMNSSTPSTANGNDSKKFKRDRPPCSPSRVLHLRKIPCDVTEAEIISLGLPFGKVTNLLMLKGKSQAFLEMASEEAAVTMVNYYTPITPHLRSQPVYIQYSNHRELKTDNLPNQARAQAALQAVSAVQSGSLALSGGPSNEGTVLPGQSPVLRIIIENLFYPVTLEVLHQIFSKFGTVLKIITFTKNNQFQALLQYADPVNAHYAKMALDGQNIYNACCTLRIDFSKLTSLNVKYNNDKSRDFTRLDLPTGDGQPSLEPPMAAAFGAPGIISSPYAGAAGFAPAIGFPQATGLSVPAVPGALGPLTITSSAVTG 种属同源性预测 |
| 宿主/亚型 | Rabbit / IgG |
| 抗体类别 | Polyclonal |
| 产品类型 | Antibody |
| 全称 | ROD1 regulator of differentiation 1 (S. pombe) |
| 别名 | PTBP3, Regulator of differentiation 1, ROD1 |
| 计算分子量 | 60 kDa |
| 观测分子量 | 55-59 kDa |
| GenBank蛋白编号 | BC044585 |
| 基因名称 | ROD1 |
| Gene ID (NCBI) | 9991 |
| RRID | AB_2182321 |
| 偶联类型 | Unconjugated |
| 形式 | Liquid |
| 纯化方式 | Antigen affinity purification |
| UNIPROT ID | O95758 |
| 储存缓冲液 | PBS with 0.02% sodium azide and 50% glycerol, pH 7.3. |
| 储存条件 | Store at -20°C. Stable for one year after shipment. Aliquoting is unnecessary for -20oC storage. |
背景介绍
ROD1 is a RNA-binding protein that mediates pre-mRNA alternative splicing regulation, it plays a role in the regulation of cell proliferation, differentiation and migration. ROD1 exist some isoforms and also can be modified with the molecular weight range from 55-59 kDa.
实验方案
| Product Specific Protocols | |
|---|---|
| IHC protocol for ROD1 antibody 14027-1-AP | Download protocol |
| WB protocol for ROD1 antibody 14027-1-AP | Download protocol |
| Standard Protocols | |
|---|---|
| Click here to view our Standard Protocols |
发表文章
| Species | Application | Title |
|---|---|---|
Cell Res The RNA-binding protein ROD1/PTBP3 cotranscriptionally defines AID-loading sites to mediate antibody class switch in mammalian genomes.
| ||
iScience Polypyrimidine tract-binding protein 3/insulin-like growth factor 2 mRNA-binding proteins 3/high-mobility group A1 axis promotes renal cancer growth and metastasis | ||
Cancer Cell Int PTBP3 regulates proliferation of lung squamous cell carcinoma cells via CDC25A-mediated cell cycle progression. | ||
Cancer Cell Int PTBP3 promotes migration of non-small cell lung cancer through regulating E-cadherin in EMT signaling pathway. | ||
Oncol Lett Overexpression of ROD1 inhibits invasion of breast cancer cells by suppressing the translocation of β-catenin into the nucleus. | ||
Adv Sci (Weinh) Targeting PTBP3-Mediated Alternative Splicing of COX11 Induces Cuproptosis for Inhibiting Gastric Cancer Peritoneal Metastasis
|








