验证数据展示
经过测试的应用
| Positive WB detected in | HEK-293 cells, Raji cells, Ramos cells, fetal human brain tissue |
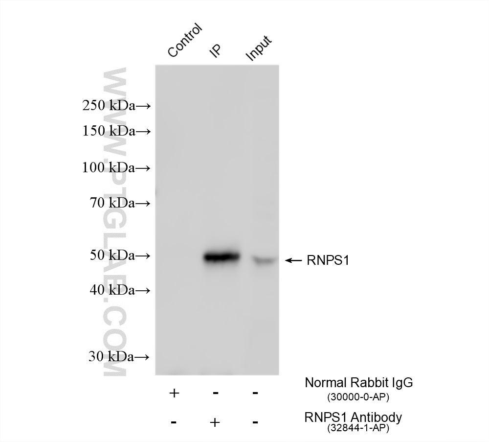
| Positive IP detected in | HEK-293 cells |
| Positive IF/ICC detected in | HEK-293 cells |
推荐稀释比
| 应用 | 推荐稀释比 |
|---|---|
| Western Blot (WB) | WB : 1:500-1:2000 |
| Immunoprecipitation (IP) | IP : 0.5-4.0 ug for 1.0-3.0 mg of total protein lysate |
| Immunofluorescence (IF)/ICC | IF/ICC : 1:200-1:800 |
| It is recommended that this reagent should be titrated in each testing system to obtain optimal results. | |
| Sample-dependent, Check data in validation data gallery. | |
产品信息
32844-1-AP targets RNPS1 in WB, IF/ICC, IP, ELISA applications and shows reactivity with human samples.
| 经测试应用 | WB, IF/ICC, IP, ELISA Application Description |
| 经测试反应性 | human |
| 免疫原 |
CatNo: Ag37888 Product name: Recombinant human RNPS1 protein Source: e coli.-derived, PGEX-4T Tag: GST Domain: 158-239 aa of BC001838 Sequence: PKPTKVHIGRLTRNVTKDHIMEIFSTYGKIKMIDMPVERMHPHLSKGYAYVEFENPDEAEKALKHMDGGQIDGQEITATAVL 种属同源性预测 |
| 宿主/亚型 | Rabbit / IgG |
| 抗体类别 | Polyclonal |
| 产品类型 | Antibody |
| 全称 | RNA binding protein S1, serine-rich domain |
| 别名 | E5.1, LDC2, RNA-binding protein with serine-rich domain 1, RNPS 1, SR-related protein LDC2 |
| 计算分子量 | 34 kDa |
| 观测分子量 | 45 kDa |
| GenBank蛋白编号 | BC001838 |
| 基因名称 | RNPS1 |
| Gene ID (NCBI) | 10921 |
| 偶联类型 | Unconjugated |
| 形式 | Liquid |
| 纯化方式 | Antigen affinity purification |
| UNIPROT ID | Q15287 |
| 储存缓冲液 | PBS with 0.02% sodium azide and 50% glycerol, pH 7.3. |
| 储存条件 | Store at -20°C. Stable for one year after shipment. Aliquoting is unnecessary for -20oC storage. |
背景介绍
The splicing process of mRNA must be highly precise to carry the correct genetic information to the cytoplasm as templates for translation. And this process involves more than 50 proteins in the splicing complex. RNPS1 is a versatile factor that regulates alternative splicing of a number of pre-mRNAs. It participates in both constitutive splicing and in distinctive modulation of alternative splicing in a substrate dependent manner, and involved in UPF2-dependent nonsense-mediated decay (NMD) of mRNAs containing premature stop codons. Its ser-53 phosphorylation site is important for splicing and translation stimulation activity in vitro. The molecular weight observed is consistent with what has been described in the literature (PMID: 39687031/PMID: 10449421). RNPS1 is a nucleocytoplasmic shuttling protein.
实验方案
| Product Specific Protocols | |
|---|---|
| IF protocol for RNPS1 antibody 32844-1-AP | Download protocol |
| IP protocol for RNPS1 antibody 32844-1-AP | Download protocol |
| WB protocol for RNPS1 antibody 32844-1-AP | Download protocol |
| Standard Protocols | |
|---|---|
| Click here to view our Standard Protocols |


