验证数据展示
经过测试的应用
| Positive WB detected in | HeLa cells, HEK-293T cells, human brain tissue, human heart tissue, human liver tissue, L02 cells, HepG2 cells, Jurkat cells, human placenta tissue, NIH/3T3 cells, rat liver tissue |
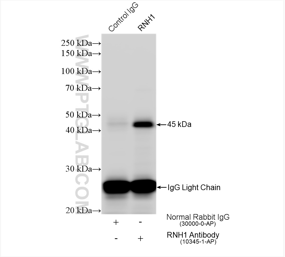
| Positive IP detected in | HEK-293T cells, mouse liver tissue, rat liver tissue |
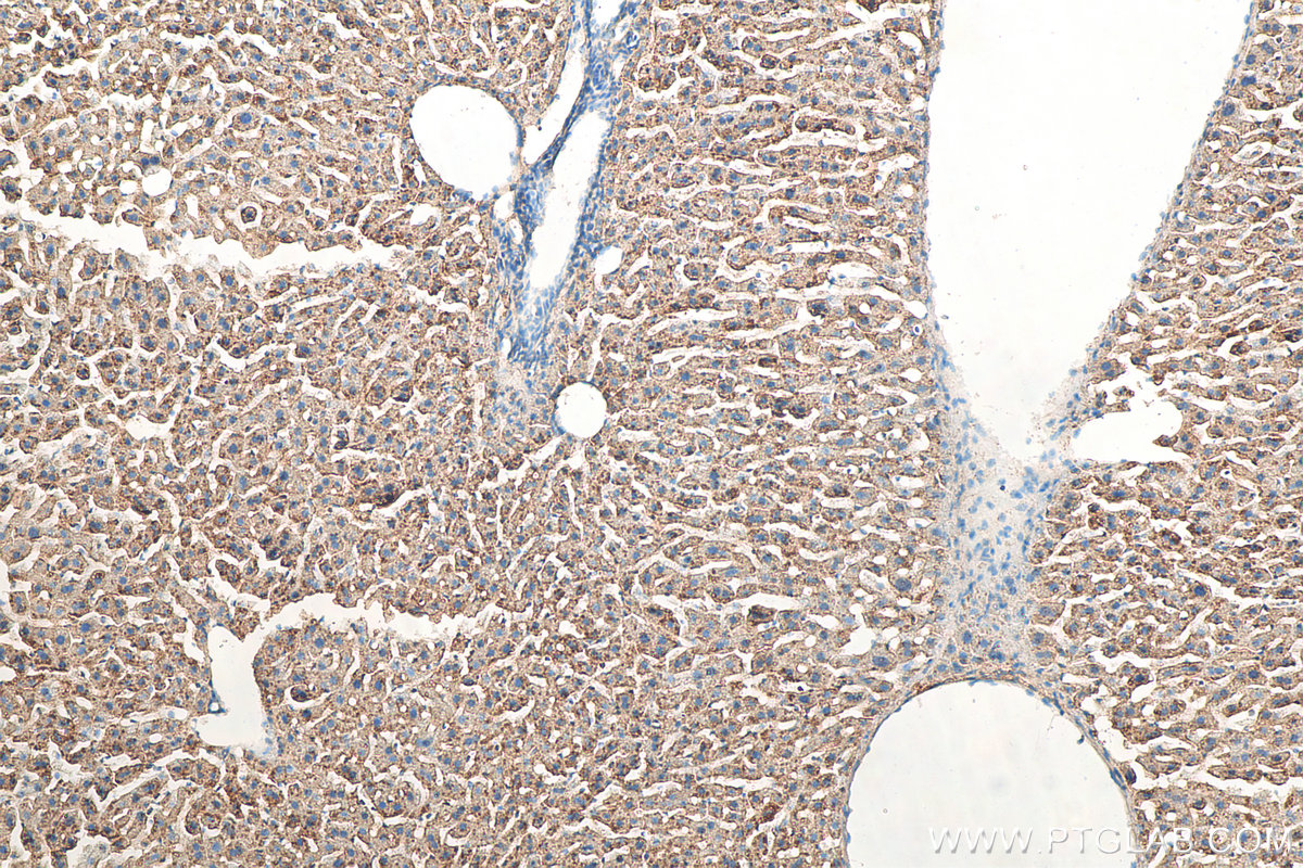
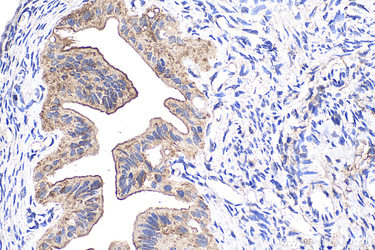
| Positive IHC detected in | mouse liver tissue, mouse ovary tissue Note: suggested antigen retrieval with TE buffer pH 9.0; (*) Alternatively, antigen retrieval may be performed with citrate buffer pH 6.0 |
| Positive IF/ICC detected in | MCF-7 cells, A431 cells |
| Positive FC (Intra) detected in | MCF-7 cells |
推荐稀释比
| 应用 | 推荐稀释比 |
|---|---|
| Western Blot (WB) | WB : 1:5000-1:50000 |
| Immunoprecipitation (IP) | IP : 0.5-4.0 ug for 1.0-3.0 mg of total protein lysate |
| Immunohistochemistry (IHC) | IHC : 1:50-1:500 |
| Immunofluorescence (IF)/ICC | IF/ICC : 1:200-1:800 |
| Flow Cytometry (FC) (INTRA) | FC (INTRA) : 0.40 ug per 10^6 cells in a 100 µl suspension |
| It is recommended that this reagent should be titrated in each testing system to obtain optimal results. | |
| Sample-dependent, Check data in validation data gallery. | |
产品信息
10345-1-AP targets RNH1 in WB, IHC, IF/ICC, FC (Intra), IP, ELISA applications and shows reactivity with human, mouse, rat samples.
| 经测试应用 | WB, IHC, IF/ICC, FC (Intra), IP, ELISA Application Description |
| 文献引用应用 | WB, IHC, IF |
| 经测试反应性 | human, mouse, rat |
| 文献引用反应性 | human, mouse |
| 免疫原 |
CatNo: Ag0350 Product name: Recombinant human RNH1 protein Source: e coli.-derived, PGEX-4T Tag: GST Domain: 1-214 aa of BC000677 Sequence: MSLDIQSLDIQCEELSDARWAELLPLLQQCQVVRLDDCGLTEARCKDISSALRVNPALAELNLRSNELGDVGVHCVLQGLQTPSCKIQKLSLQNCCLTGAGCGVLSSTLRTLPTLQELHLSDNLLGDAGLQLLCEGLLDPQCRLEKLQLEYCSLSAASCEPLASVLRAKPDFKELTVSNNDINEAGVHVLCQGLKDSPCQLEALKLESCGVTSD 种属同源性预测 |
| 宿主/亚型 | Rabbit / IgG |
| 抗体类别 | Polyclonal |
| 产品类型 | Antibody |
| 全称 | ribonuclease/angiogenin inhibitor 1 |
| 别名 | Placental RNase inhibitor, PRI, RAI, Ribonuclease inhibitor, Ribonuclease/angiogenin inhibitor 1 |
| 计算分子量 | 50 kDa |
| 观测分子量 | 45-50 kDa |
| GenBank蛋白编号 | BC000677 |
| 基因名称 | RNH1 |
| Gene ID (NCBI) | 6050 |
| RRID | AB_2269733 |
| 偶联类型 | Unconjugated |
| 形式 | Liquid |
| 纯化方式 | Antigen affinity purification |
| UNIPROT ID | P13489 |
| 储存缓冲液 | PBS with 0.02% sodium azide and 50% glycerol, pH 7.3. |
| 储存条件 | Store at -20°C. Stable for one year after shipment. Aliquoting is unnecessary for -20oC storage. |
背景介绍
Ribonuclease/ angiogenin inhibitor (RNH, synonyms: RAI, MGC4569, MGC18200, MGC54054) is a protein that binds tightly to ribonucleases in cells and may be essential in the control of mRNA degradation and gene expression. The human RNH gene has been regionally localized to chromosome band 11p15 by in situ hybridization.
实验方案
| Product Specific Protocols | |
|---|---|
| FC protocol for RNH1 antibody 10345-1-AP | Download protocol |
| IF protocol for RNH1 antibody 10345-1-AP | Download protocol |
| IHC protocol for RNH1 antibody 10345-1-AP | Download protocol |
| IP protocol for RNH1 antibody 10345-1-AP | Download protocol |
| WB protocol for RNH1 antibody 10345-1-AP | Download protocol |
| Standard Protocols | |
|---|---|
| Click here to view our Standard Protocols |
发表文章
| Species | Application | Title |
|---|---|---|
EMBO J Myeloid cells protect intestinal epithelial barrier integrity through the angiogenin/plexin-B2 axis. | ||
J Cell Biol Angiogenin cleaves tRNA and promotes stress-induced translational repression.
| ||
Proc Natl Acad Sci U S A Sex hormone-dependent tRNA halves enhance cell proliferation in breast and prostate cancers. | ||
J Proteome Res Post-translational modifications and protein-specific isoforms in endometriosis revealed by 2D DIGE. | ||
J Biol Chem Genome-wide identification and quantitative analysis of cleaved tRNA fragments induced by cellular stress. |


















