验证数据展示
经过测试的应用
| Positive WB detected in | HeLa cells, HEK-293 cells, K-562 cells |
| Positive IP detected in | HeLa cells |
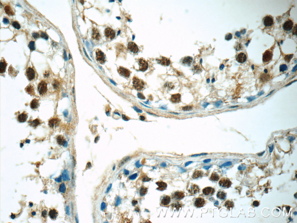
| Positive IHC detected in | human testis tissue Note: suggested antigen retrieval with TE buffer pH 9.0; (*) Alternatively, antigen retrieval may be performed with citrate buffer pH 6.0 |
| Positive IF/ICC detected in | HeLa cells |
推荐稀释比
| 应用 | 推荐稀释比 |
|---|---|
| Western Blot (WB) | WB : 1:500-1:1000 |
| Immunoprecipitation (IP) | IP : 0.5-4.0 ug for 1.0-3.0 mg of total protein lysate |
| Immunohistochemistry (IHC) | IHC : 1:20-1:200 |
| Immunofluorescence (IF)/ICC | IF/ICC : 1:50-1:500 |
| It is recommended that this reagent should be titrated in each testing system to obtain optimal results. | |
| Sample-dependent, Check data in validation data gallery. | |
产品信息
14112-1-AP targets RNF8 in WB, IHC, IF/ICC, IP, CoIP, ELISA applications and shows reactivity with human, mouse, rat samples.
| 经测试应用 | WB, IHC, IF/ICC, IP, ELISA Application Description |
| 文献引用应用 | WB, IHC, IF, IP, CoIP |
| 经测试反应性 | human, mouse, rat |
| 文献引用反应性 | human, mouse |
| 免疫原 |
CatNo: Ag5292 Product name: Recombinant human RNF8 protein Source: e coli.-derived, PET28a Tag: 6*His Domain: 130-485 aa of BC007517 Sequence: ETIYPCLSPKNDQMIEKNKELRTKRKFSLDELAGPGAEGPSNLKSKINKVSCESGQPVKSQGKGEVASTPSDNLDPKLTALEPSKTTGAPIYPGFPKVTEVHHEQKASNSSASQRSLQMFKVTMSRILRLKIQMQEKHEAVMNVKKQTQKGNSKKVVQMEQELQDLQSQLCAEQAQQQARVEQLEKTFQEEEQHLQGLEIAQGEKDLKQQLAQALQEHWALMEELNRSKKDFEAIIQAKNKELEQTKEEKEKMQAQKEEVLSHMNDVLENELQCIICSEYFIEAVTLNCAHSFCSYCINEWMKRKIECPICRKDIKSKTYSLVLDNCINKMVNNLSSEVKERRIVLIRERKAKRLF 种属同源性预测 |
| 宿主/亚型 | Rabbit / IgG |
| 抗体类别 | Polyclonal |
| 产品类型 | Antibody |
| 全称 | ring finger protein 8 |
| 别名 | RING-type E3 ubiquitin transferase RNF8, RING finger protein 8, KIAA0646, hRNF8, EC:2.3.2.27 |
| 计算分子量 | 485 aa, 56 kDa |
| 观测分子量 | 56-60 kDa |
| GenBank蛋白编号 | BC007517 |
| 基因名称 | RNF8 |
| Gene ID (NCBI) | 9025 |
| RRID | AB_2878016 |
| 偶联类型 | Unconjugated |
| 形式 | Liquid |
| 纯化方式 | Antigen affinity purification |
| UNIPROT ID | O76064 |
| 储存缓冲液 | PBS with 0.02% sodium azide and 50% glycerol, pH 7.3. |
| 储存条件 | Store at -20°C. Stable for one year after shipment. Aliquoting is unnecessary for -20oC storage. |
背景介绍
RNF8, also named as KIAA0646 or E3 ubiquitin-protein ligase RNF8, is a 485 amino acid protein, which contains one RING-type zinc finger and one FHA domain. RNF8 localizes in the nucleus and belongs to the RNF8 family. E2-E3 ubiquitin ligase complex is composed of the RNF8 homodimer and a E2 heterodimer of UBE2N and UBE2V2. E3 ubiquitin-protein ligase that plays a key role in DNA damage signaling via 2 distinct roles: by mediating the 'Lys-63'-linked ubiquitination of histones H2A and H2AX and promoting the recruitment of DNA repair proteins at double-strand breaks (DSBs) sites, and by catalyzing 'Lys-48'-linked ubiquitination to remove target proteins from DNA damage sites.
实验方案
| Product Specific Protocols | |
|---|---|
| IF protocol for RNF8 antibody 14112-1-AP | Download protocol |
| IHC protocol for RNF8 antibody 14112-1-AP | Download protocol |
| IP protocol for RNF8 antibody 14112-1-AP | Download protocol |
| WB protocol for RNF8 antibody 14112-1-AP | Download protocol |
| Standard Protocols | |
|---|---|
| Click here to view our Standard Protocols |
发表文章
| Species | Application | Title |
|---|---|---|
Cell Ubiquitination-Deficient Mutations in Human Piwi Cause Male Infertility by Impairing Histone-to-Protamine Exchange during Spermiogenesis. | ||
Cell Death Differ CAMK2D serves as a molecular scaffold for RNF8-MAD2 complex to induce mitotic checkpoint in glioma | ||
Nat Commun Non-canonical function of DGCR8 in DNA double-strand break repair signaling and tumor radioresistance. | ||
EMBO J The p97-Ataxin 3 complex regulates homeostasis of the DNA damage response E3 ubiquitin ligase RNF8.
| ||
Nucleic Acids Res GLP-catalyzed H4K16me1 promotes 53BP1 recruitment to permit DNA damage repair and cell survival. | ||






