验证数据展示
经过测试的应用
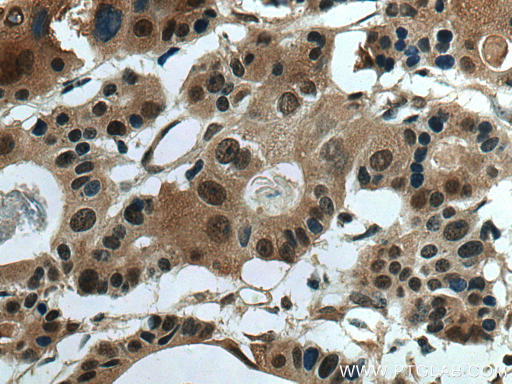
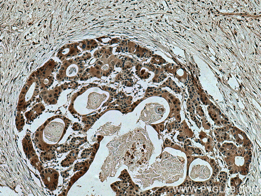
| Positive IHC detected in | human breast cancer tissue Note: suggested antigen retrieval with TE buffer pH 9.0; (*) Alternatively, antigen retrieval may be performed with citrate buffer pH 6.0 | 
推荐稀释比
| 应用 | 推荐稀释比 | 
|---|---|
| Immunohistochemistry (IHC) | IHC : 1:50-1:500 | 
| It is recommended that this reagent should be titrated in each testing system to obtain optimal results. | |
| Sample-dependent, Check data in validation data gallery. | |
产品信息
10629-1-AP targets RNF34 in WB, IHC, IF, ELISA applications and shows reactivity with human, mouse, rat samples.
| 经测试应用 | IHC, ELISA Application Description | 
| 文献引用应用 | WB, IF | 
| 经测试反应性 | human, mouse, rat | 
| 文献引用反应性 | human, mouse | 
| 免疫原 | CatNo: Ag0982 Product name: Recombinant human RNF34 protein Source: e coli.-derived, PGEX-4T Tag: GST Domain: 72-372 aa of BC007826 Sequence: FRKKHVCCDCKKDFCSVCSVLQENLRRCSTCHLLQETAFQRPQLMRLKVKDLRQYLILRNIPIDTCREKEDLVDLVLCHHGLGSEDDMDTSSLNSSRSQTSSFFTRSFFSNYTAPSATMSSFQGELMDGDQTSRSGVPAQVQSEITSANTEDDDDDDDEDDDDEEENAEDRNPGLSKERVRASLSDLSSLDDVEGMSVRQLKEILARNFVNYSGCCEKWELVEKVNRLYKENEENQKSYGERLQLQDEEDDSLCRICMDAVIDCVLLECGHMVTCTKCGKRMSECPICRQYVVRAVHVFKS种属同源性预测 | 
| 宿主/亚型 | Rabbit / IgG | 
| 抗体类别 | Polyclonal | 
| 产品类型 | Antibody | 
| 全称 | ring finger protein 34 | 
| 别名 | CARP 1, CARP-1, Caspase regulator CARP1, Caspases-8 and -10-associated RING finger protein 1, E3 ubiquitin-protein ligase RNF34 | 
| 计算分子量 | 42 kDa | 
| GenBank蛋白编号 | BC007826 | 
| 基因名称 | RNF34 | 
| Gene ID (NCBI) | 80196 | 
| RRID | AB_2301135 | 
| 偶联类型 | Unconjugated | 
| 形式 | Liquid | 
| 纯化方式 | Antigen affinity purification | 
| UNIPROT ID | Q969K3 | 
| 储存缓冲液 | PBS with 0.02% sodium azide and 50% glycerol, pH 7.3. | 
| 储存条件 | Store at -20°C. Stable for one year after shipment. Aliquoting is unnecessary for -20oC storage. | 
背景介绍
RNF34 is an E3 ubiquitin ligase that regulates protein substrates by post-translational modification. It is associated with regulating postsynaptic γ2-GABAAR clustering and GABAergic synaptic innervation in hippocampal neurons, indicating the importance of RNF34 in regulating neurological function.It is preferentially expressed in esophageal, gastric, and colorectal cancers, suggesting a possible association between RNF34 and the development of digestive tract cancers. Immunoblots showed a single 42-kDa protein band corresponding to the molecular weight of RNF34.(PMID: 31704983, PMID: 25193658)
实验方案
| Product Specific Protocols | |
|---|---|
| IHC protocol for RNF34 antibody 10629-1-AP | Download protocol | 
| Standard Protocols | |
|---|---|
| Click here to view our Standard Protocols | 


