验证数据展示
经过测试的应用
| Positive WB detected in | HeLa cells |
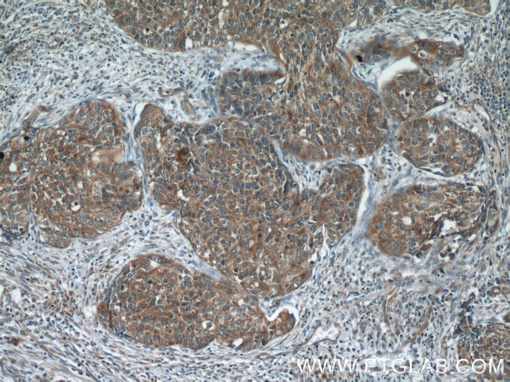
| Positive IHC detected in | human cervical cancer tissue Note: suggested antigen retrieval with TE buffer pH 9.0; (*) Alternatively, antigen retrieval may be performed with citrate buffer pH 6.0 |
| Positive IF/ICC detected in | HCT 116 cells |
推荐稀释比
| 应用 | 推荐稀释比 |
|---|---|
| Western Blot (WB) | WB : 1:1000-1:6000 |
| Immunohistochemistry (IHC) | IHC : 1:20-1:200 |
| Immunofluorescence (IF)/ICC | IF/ICC : 1:200-1:800 |
| It is recommended that this reagent should be titrated in each testing system to obtain optimal results. | |
| Sample-dependent, Check data in validation data gallery. | |
发表文章中的应用
| KD/KO | See 1 publications below |
| WB | See 1 publications below |
产品信息
24536-1-AP targets RNF25 in WB, IHC, IF/ICC, ELISA applications and shows reactivity with human samples.
| 经测试应用 | WB, IHC, IF/ICC, ELISA Application Description |
| 文献引用应用 | WB |
| 经测试反应性 | human |
| 文献引用反应性 | human |
| 免疫原 |
CatNo: Ag21369 Product name: Recombinant human RNF25 protein Source: e coli.-derived, PET28a Tag: 6*His Domain: 111-459 aa of BC015612 Sequence: TAMLYELIEKGKEILTDNNIPHGQCVICLYGFQEKEAFTKTPCYHYFHCHCLARYIQHMEQELKAQGQEQEQERQHATTKQKAVGVQCPVCREPLVYDLASLKAAPEPQQPMELYQPSAESLRQQEERKRLYQRQQERGGIIDLEAERNRYFISLQQPPAPAEPESAVDVSKGSQPPSTLAAELSTSPAVQSTLPPPLPVATQHICEKIPGTRSNQQRLGETQKAMLDPPKPSRGPWRQPERRHPKGGECHAPKGTRDTQELPPPEGPLKEPMDLKPEPHSQGVEGPPQEKGPGSWQGPPPRRTRDCVRWERSKGRTPGSSYPRLPRGQGAYRPGTRRESLGLESKDGS 种属同源性预测 |
| 宿主/亚型 | Rabbit / IgG |
| 抗体类别 | Polyclonal |
| 产品类型 | Antibody |
| 全称 | ring finger protein 25 |
| 别名 | AO7, E3 ubiquitin-protein ligase RNF25, EC:2.3.2.27, RING finger protein AO7 |
| 计算分子量 | 459 aa, 51 kDa |
| 观测分子量 | 51 kDa |
| GenBank蛋白编号 | BC015612 |
| 基因名称 | RNF25 |
| Gene ID (NCBI) | 64320 |
| RRID | AB_2879594 |
| 偶联类型 | Unconjugated |
| 形式 | Liquid |
| 纯化方式 | Antigen affinity purification |
| UNIPROT ID | Q96BH1 |
| 储存缓冲液 | PBS with 0.02% sodium azide and 50% glycerol, pH 7.3. |
| 储存条件 | Store at -20°C. Stable for one year after shipment. Aliquoting is unnecessary for -20oC storage. |
实验方案
| Product Specific Protocols | |
|---|---|
| IF protocol for RNF25 antibody 24536-1-AP | Download protocol |
| IHC protocol for RNF25 antibody 24536-1-AP | Download protocol |
| WB protocol for RNF25 antibody 24536-1-AP | Download protocol |
| Standard Protocols | |
|---|---|
| Click here to view our Standard Protocols |



