验证数据展示
经过测试的应用
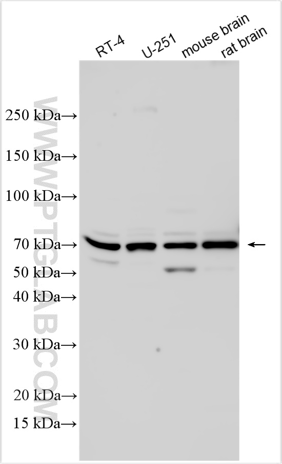
| Positive WB detected in | RT-4 cells, U-251 cells, mouse brain tissue, rat brain tissue |
推荐稀释比
| 应用 | 推荐稀释比 |
|---|---|
| Western Blot (WB) | WB : 1:2000-1:12000 |
| It is recommended that this reagent should be titrated in each testing system to obtain optimal results. | |
| Sample-dependent, Check data in validation data gallery. | |
产品信息
32482-1-AP targets RNF220 in WB, ELISA applications and shows reactivity with human, mouse, rat samples.
| 经测试应用 | WB, ELISA Application Description |
| 经测试反应性 | human, mouse, rat |
| 免疫原 |
CatNo: Ag36190 Product name: Recombinant human RNF220 protein Source: e coli.-derived, PET28a Tag: 6*His Domain: 253-566 aa of BC034221 Sequence: SKNSLLKDAMAPGTPKSLLLSASIKREGESPTASPHSSATDDLHHSDRYQTFLRVRANRQTRLNARIGKMKRRKQDEGQREGSCMAEDDAVDIEHENNNRFEEYEWCGQKRIRATTLLEGGFRGSGFIMCSGKENPDSDADLDVDGDDTLEYGKPQYTEADVIPCTGEEPGEAKEREALRGAVLNGGPPSTRITPEFSKWASDEMPSTSNGESSKQEAMQKTCKNSDIEKITEDSAVTTFEALKARVRELERQLSRGDRYKCLICMDSYSMPLTSIQCWHVHCEECWLRTLGAKKLCPQCNTITAPGDLRRIYL 种属同源性预测 |
| 宿主/亚型 | Rabbit / IgG |
| 抗体类别 | Polyclonal |
| 产品类型 | Antibody |
| 全称 | ring finger protein 220 |
| 别名 | RING-type E3 ubiquitin transferase RNF220, RING finger protein 220, EC:2.3.2.27, E3 ubiquitin-protein ligase RNF220, C1orf164 |
| 观测分子量 | 70 kDa |
| GenBank蛋白编号 | BC034221 |
| 基因名称 | RNF220 |
| Gene ID (NCBI) | 55182 |
| 偶联类型 | Unconjugated |
| 形式 | Liquid |
| 纯化方式 | Antigen affinity Purification |
| UNIPROT ID | Q5VTB9 |
| 储存缓冲液 | PBS with 0.02% sodium azide and 50% glycerol, pH 7.3. |
| 储存条件 | Store at -20°C. Stable for one year after shipment. Aliquoting is unnecessary for -20oC storage. |
背景介绍
RNF220 is an E3 ubiquitin ligase that plays a crucial role in the ubiquitination process, which targets proteins for degradation by the proteasome. Mutations in RNF220 have been linked to laminopathies, which are characterized by leukodystrophy, ataxia, and deafness. Additionally, RNF220 is involved in the progression of certain cancers, such as acute myeloid leukemia (AML) and colorectal cancer. Studies have shown that RNF220 promotes the proliferation of leukemia cells and reduces the degradation of Cyclin D1 protein through USP22. It also enhances canonical Wnt signaling through USP7-mediated deubiquitination of beta-catenin. (PMID: 32896826)
实验方案
| Product Specific Protocols | |
|---|---|
| WB protocol for RNF220 antibody 32482-1-AP | Download protocol |
| Standard Protocols | |
|---|---|
| Click here to view our Standard Protocols |
