验证数据展示
经过测试的应用
| Positive WB detected in | K-562 cells, HeLa cells, Jurkat cells, MCF-7 cells, HEK-293 cells, NIH/3T3 cells. C2C12 cells |
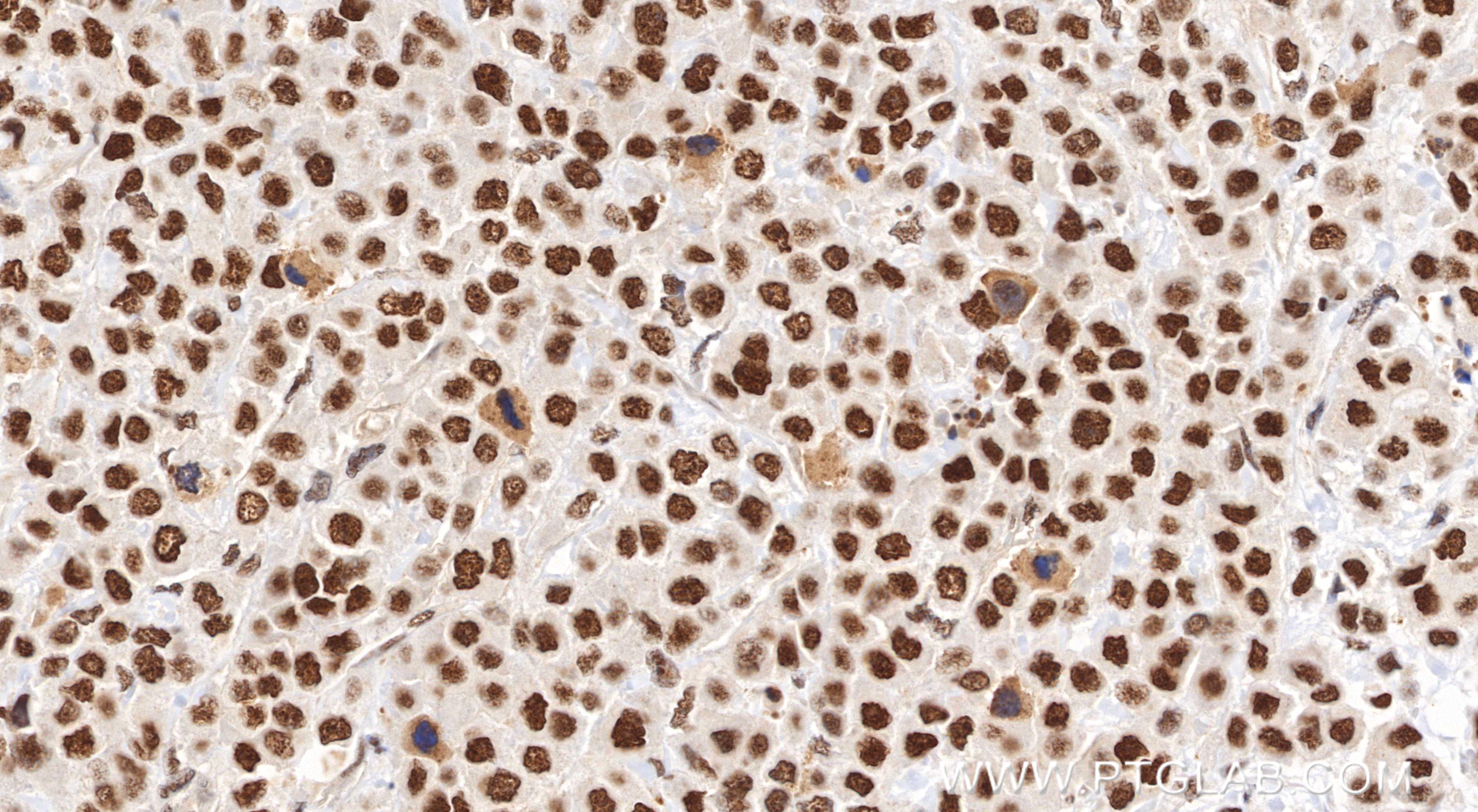
| Positive IHC detected in | human breast cancer tissue Note: suggested antigen retrieval with TE buffer pH 9.0; (*) Alternatively, antigen retrieval may be performed with citrate buffer pH 6.0 |
| Positive IF/ICC detected in | U-87 MG cells, HepG2 cells |
推荐稀释比
| 应用 | 推荐稀释比 |
|---|---|
| Western Blot (WB) | WB : 1:5000-1:50000 |
| Immunohistochemistry (IHC) | IHC : 1:1000-1:4000 |
| Immunofluorescence (IF)/ICC | IF/ICC : 1:250-1:1000 |
| It is recommended that this reagent should be titrated in each testing system to obtain optimal results. | |
| Sample-dependent, Check data in validation data gallery. | |
产品信息
85630-6-RR targets RNF20 in WB, IHC, IF/ICC, ELISA applications and shows reactivity with human, mouse samples.
| 经测试应用 | WB, IHC, IF/ICC, ELISA Application Description |
| 经测试反应性 | human, mouse |
| 免疫原 |
CatNo: Ag16066 Product name: Recombinant human RNF20 protein Source: e coli.-derived, PGEX-4T Tag: GST Domain: 96-433 aa of BC110585 Sequence: YWSQFDENIRIILKRYDLEQGLGDLLTERKALVVPEPEPDSDSNQERKDDRERGEGQEPAFSFLATLASSSSEEMESQLQERVESSRRAVSQIVTVYDKLQEKVELLSRKLNSGDNLIVEEAVQELNSFLAQENMRLQELTDLLQEKHRTMSQEFSKLQSKVETAESRVSVLESMIDDLQWDIDKIRKREQRLNRHLAEVLERVNSKGYKVYGAGSSLYGGTITINARKFEEMNAELEENKELAQNRLCELEKLRQDFEEVTTQNEKLKVELRSAVEQVVKETPEYRCMQSQFSVLYNESLQLKAHLDEARTLLHGTRGTHQHQVELIERDEVSLHKK 种属同源性预测 |
| 宿主/亚型 | Rabbit / IgG |
| 抗体类别 | Recombinant |
| 产品类型 | Antibody |
| 全称 | ring finger protein 20 |
| 别名 | BRE1, BRE1 A, BRE1A, BRE1-A, E3 ubiquitin-protein ligase BRE1A |
| 计算分子量 | 975 aa, 114 kDa |
| 观测分子量 | 114 kDa |
| GenBank蛋白编号 | BC110585 |
| 基因名称 | RNF20 |
| Gene ID (NCBI) | 56254 |
| RRID | AB_3744251 |
| 偶联类型 | Unconjugated |
| 形式 | Liquid |
| 纯化方式 | Protein A purification |
| UNIPROT ID | Q5VTR2 |
| 储存缓冲液 | PBS with 0.02% sodium azide and 50% glycerol, pH 7.3. |
| 储存条件 | Store at -20°C. Stable for one year after shipment. Aliquoting is unnecessary for -20oC storage. |
背景介绍
RNF20, also named as E3 ubiquitin-protein ligase BRE1A, is a 975 amino acid protein, which contains 1 RING-type zinc finger and belongs to the BRE1 family. RNF20 is a component of the RNF20/40 complex and localizes in the nucleus. RNF20 is a component of the RNF20/40 E3 ubiquitin-protein ligase complex that mediates monoubiquitination of 'Lys-120' of histone H2B (H2BK120ub1). H2BK120ub1 gives a specific tag for epigenetic transcriptional activation and is also prerequisite for histone H3 'Lys-4' and 'Lys-79' methylation (H3K4me and H3K79me, respectively). The RNF20/40 complex forms a H2B ubiquitin ligase complex in cooperation with the E2 enzyme UBE2A or UBE2B. RNF20 is required for transcriptional activation of Hox genes and recruited to the MDM2 promoter, probably by being recruited by p53/TP53, and thereby acts as a transcriptional coactivator. RNF20/40 complex monoubiquitinates and stabilizes Eg5. Loss of RNF20/40 results in spindle assembly defects, cell cycle arrest and apoptosis. Spindle assembly role of the RNF20/40 complex, and implicates the RNF20/40-Eg5 axis in breast carcinogenesis, supporting the pursuit of these proteins as potential targets for breast cancer therapeutic interventions.
实验方案
| Product Specific Protocols | |
|---|---|
| IF protocol for RNF20 antibody 85630-6-RR | Download protocol |
| IHC protocol for RNF20 antibody 85630-6-RR | Download protocol |
| WB protocol for RNF20 antibody 85630-6-RR | Download protocol |
| Standard Protocols | |
|---|---|
| Click here to view our Standard Protocols |




