验证数据展示
经过测试的应用
| Positive WB detected in | human placenta tissue |
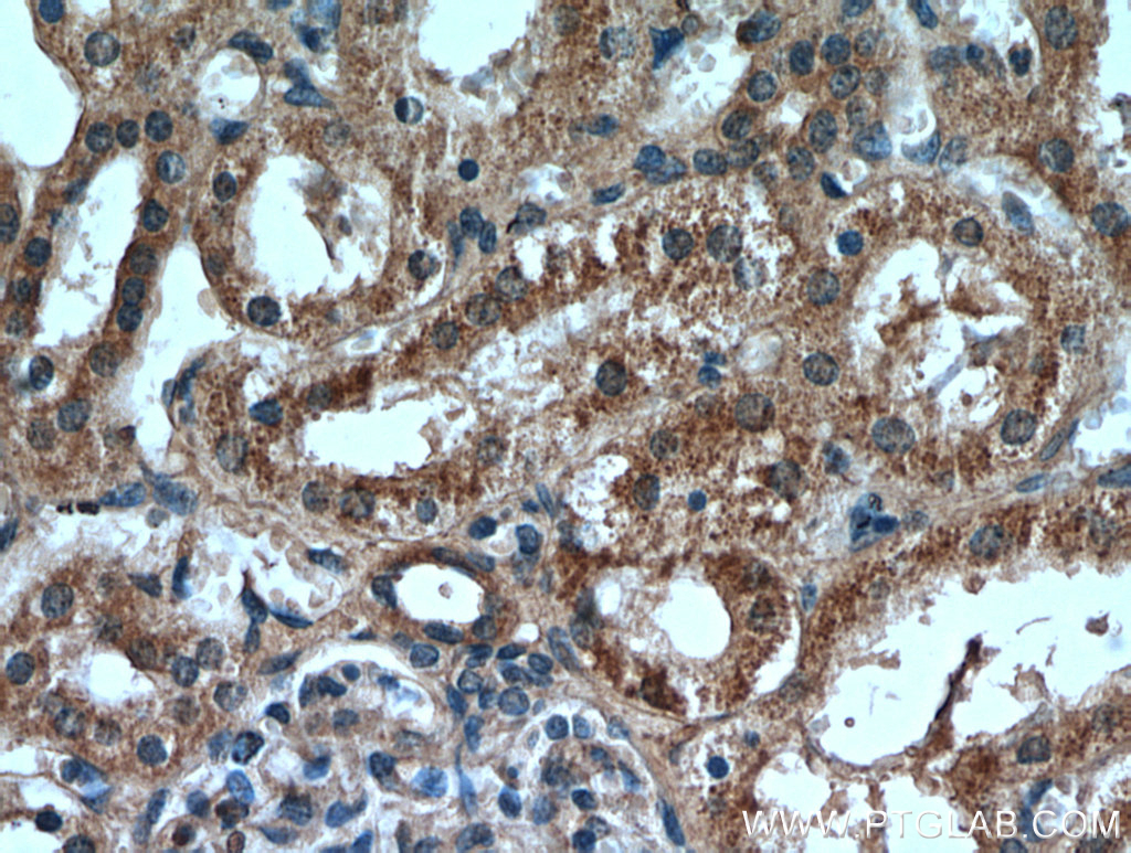
| Positive IHC detected in | human breast cancer tissue, human kidney tissue Note: suggested antigen retrieval with TE buffer pH 9.0; (*) Alternatively, antigen retrieval may be performed with citrate buffer pH 6.0 |
推荐稀释比
| 应用 | 推荐稀释比 |
|---|---|
| Western Blot (WB) | WB : 1:200-1:1000 |
| Immunohistochemistry (IHC) | IHC : 1:20-1:200 |
| It is recommended that this reagent should be titrated in each testing system to obtain optimal results. | |
| Sample-dependent, Check data in validation data gallery. | |
产品信息
21024-1-AP targets RNF170 in WB, IHC, ELISA applications and shows reactivity with human samples.
| 经测试应用 | WB, IHC, ELISA Application Description |
| 经测试反应性 | human |
| 免疫原 |
CatNo: Ag15288 Product name: Recombinant human RNF170 protein Source: e coli.-derived, PGEX-4T Tag: GST Domain: 1-132 aa of BC032393 Sequence: MAKYQGEVQSLKLDDDSVIEGVSDQVLVAVVVSFALIATLVYALFRNVHQNIHPENQELVRVLREQLQTEQDAPAATRQQFYTDMYCPICLHQASFPVETNCGHLFCGACIIAYWRYGSWLGAISCPICRQT 种属同源性预测 |
| 宿主/亚型 | Rabbit / IgG |
| 抗体类别 | Polyclonal |
| 产品类型 | Antibody |
| 全称 | ring finger protein 170 |
| 别名 | ring finger protein 170, RNF170 |
| 计算分子量 | 258 aa, 30 kDa |
| 观测分子量 | 27 kDa |
| GenBank蛋白编号 | BC032393 |
| 基因名称 | RNF170 |
| Gene ID (NCBI) | 81790 |
| RRID | AB_10733119 |
| 偶联类型 | Unconjugated |
| 形式 | Liquid |
| 纯化方式 | Antigen affinity purification |
| UNIPROT ID | Q96K19 |
| 储存缓冲液 | PBS with 0.02% sodium azide and 50% glycerol, pH 7.3. |
| 储存条件 | Store at -20°C. Stable for one year after shipment. Aliquoting is unnecessary for -20oC storage. |
背景介绍
RNF170 is an E3 ubiquitin ligase that resides in the endoplasmic reticulum (ER) membrane and mediates ubiquitination and processing of inositol 1,4,5-trisphosphate (IP3) receptors by the ER-associated protein degradation (ERAD) pathway. It has 6 isoforms produced by Alternative splicing with the molecular weight of 30 kDa, 27 kDa, 22 kDa, 20 kDa, 19 kDa, and 13 kDa.
实验方案
| Product Specific Protocols | |
|---|---|
| IHC protocol for RNF170 antibody 21024-1-AP | Download protocol |
| WB protocol for RNF170 antibody 21024-1-AP | Download protocol |
| Standard Protocols | |
|---|---|
| Click here to view our Standard Protocols |




