验证数据展示
经过测试的应用
| Positive WB detected in | K-562 cells, MCF-7 cells |
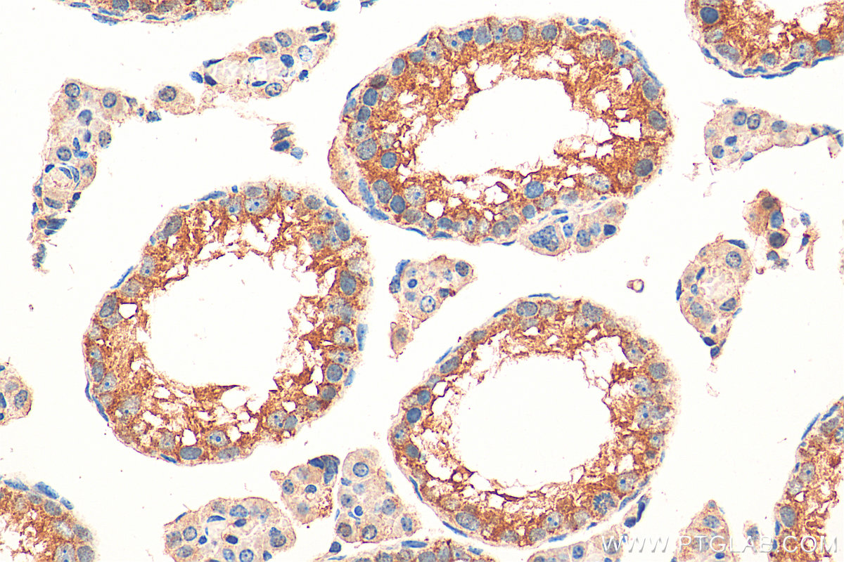
| Positive IHC detected in | mouse testis tissue, human brain tissue, rat testis tissue Note: suggested antigen retrieval with TE buffer pH 9.0; (*) Alternatively, antigen retrieval may be performed with citrate buffer pH 6.0 |
| Positive IF/ICC detected in | HeLa cells |
推荐稀释比
| 应用 | 推荐稀释比 |
|---|---|
| Western Blot (WB) | WB : 1:500-1:3000 |
| Immunohistochemistry (IHC) | IHC : 1:50-1:500 |
| Immunofluorescence (IF)/ICC | IF/ICC : 1:200-1:800 |
| It is recommended that this reagent should be titrated in each testing system to obtain optimal results. | |
| Sample-dependent, Check data in validation data gallery. | |
产品信息
20792-1-AP targets RNF133 in WB, IHC, IF/ICC, ELISA applications and shows reactivity with human, mouse, rat samples.
| 经测试应用 | WB, IHC, IF/ICC, ELISA Application Description |
| 经测试反应性 | human, mouse, rat |
| 免疫原 |
CatNo: Ag14537 Product name: Recombinant human RNF133 protein Source: e coli.-derived, PGEX-4T Tag: GST Domain: 208-376 aa of BC022038 Sequence: YHIHRLCLARIQNRRWQRLTTDLQNTFGQLQLRVVKEGDEEINPNGDSCVICFERYKPNDIVRILTCKHFFHKNCIDPWILPHGTCPICKCDILKVLGIQVVVENGTEPLQVLMSNELPETLSPSEEETNNEVSPAGTSDKVIHVEENPTSQNNDIQPHSVVEDVHPSP 种属同源性预测 |
| 宿主/亚型 | Rabbit / IgG |
| 抗体类别 | Polyclonal |
| 产品类型 | Antibody |
| 全称 | ring finger protein 133 |
| 别名 | E3 ubiquitin-protein ligase RNF133, EC:2.3.2.27, RING finger protein 133, RING-type E3 ubiquitin transferase RNF133 |
| 计算分子量 | 376 aa, 42 kDa |
| 观测分子量 | 45-48 kDa |
| GenBank蛋白编号 | BC022038 |
| 基因名称 | RNF133 |
| Gene ID (NCBI) | 168433 |
| RRID | AB_10695189 |
| 偶联类型 | Unconjugated |
| 形式 | Liquid |
| 纯化方式 | Antigen affinity purification |
| UNIPROT ID | Q8WVZ7 |
| 储存缓冲液 | PBS with 0.02% sodium azide and 50% glycerol, pH 7.3. |
| 储存条件 | Store at -20°C. Stable for one year after shipment. Aliquoting is unnecessary for -20oC storage. |
背景介绍
RNF133 (ring finger protein 133) contains a RING finger domain, a motif present in a variety of functionally distinct proteins and known to be involved in protein-protein and protein-DNA interactions.
实验方案
| Product Specific Protocols | |
|---|---|
| IF protocol for RNF133 antibody 20792-1-AP | Download protocol |
| IHC protocol for RNF133 antibody 20792-1-AP | Download protocol |
| WB protocol for RNF133 antibody 20792-1-AP | Download protocol |
| Standard Protocols | |
|---|---|
| Click here to view our Standard Protocols |







