验证数据展示
产品信息
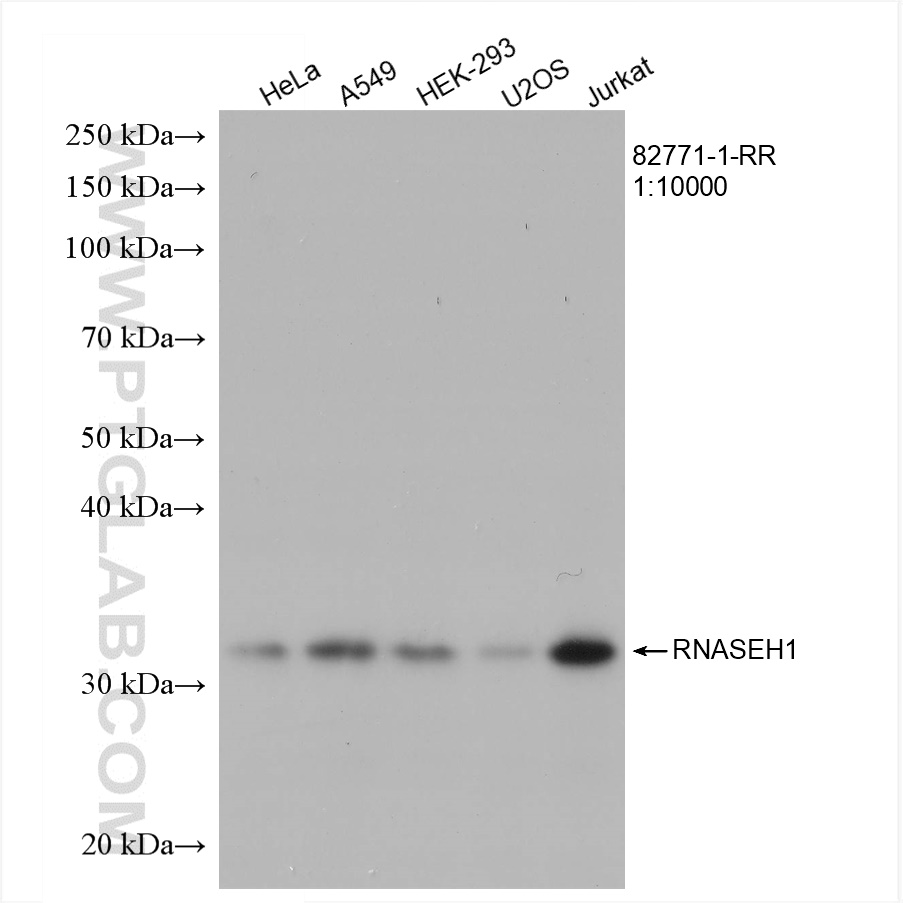
82771-1-PBS targets RNASEH1 in WB, IHC, Indirect ELISA applications and shows reactivity with human samples.
| 经测试应用 | WB, IHC, Indirect ELISA Application Description |
| 经测试反应性 | human |
| 免疫原 |
CatNo: Ag7990 Product name: Recombinant human RNASEH1 protein Source: e coli.-derived, PGEX-4T Tag: GST Domain: 1-286 aa of BC002973 Sequence: MSWLLFLAHRVALAALPCRRGSRGFGMFYAVRRGRKTGVFLTWNECRAQVDRFPAARFKKFATEDEAWAFVRKSASPEVSEGHENQHGQESEAKASKRLREPLDGDGHESAEPYAKHMKPSVEPAPPVSRDTFSYMGDFVVVYTDGCCSSNGRRRPRAGIGVYWGPGHPLNVGIRLPGRQTNQRAEIHAACKAIEQAKTQNINKLVLYTDSMFTINGITNWVQGWKKNGWKTSAGKEVINKEDFVALERLTQGMDIQWMHVPGHSGFIGNEEADRLAREGAKQSED 种属同源性预测 |
| 宿主/亚型 | Rabbit / IgG |
| 抗体类别 | Recombinant |
| 产品类型 | Antibody |
| 全称 | ribonuclease H1 |
| 别名 | RNH1, RNASEH 1, RNase H1, EC:3.1.26.4, 2C12 |
| 计算分子量 | 32 kDa |
| 观测分子量 | 32 kDa |
| GenBank蛋白编号 | BC002973 |
| 基因名称 | RNASEH1 |
| Gene ID (NCBI) | 246243 |
| 偶联类型 | Unconjugated |
| 形式 | Liquid |
| 纯化方式 | Protein A purification |
| UNIPROT ID | O60930 |
| 储存缓冲液 | PBS only, pH 7.3. |
| 储存条件 | Store at -80°C. The product is shipped with ice packs. Upon receipt, store it immediately at -80°C |
背景介绍
Ribonucleases H are enzymes that cleave the RNA of RNA/DNA hybrids that form during replication and repair and which could lead to DNA instability if they were not processed. Eukaryotic RNases H are larger and more complex than their prokaryotic counterparts [PMID:12667461]. Eukaryotic RNase H1 has acquired a Hybrid Binding Domain that confers processivity and affinity for the substrate. Because of its essential role and its similarities in structure and enzymatic mechanism to the RNase H of HIV reverse transcriptase, RNASEH1 has been implicated in mitochondrial DNA replication during mouse development [PMID:19228196].




