验证数据展示
经过测试的应用
| Positive WB detected in | mouse spleen tissue, rat liver tissue, rat heart tissue, rat spleen tissue |
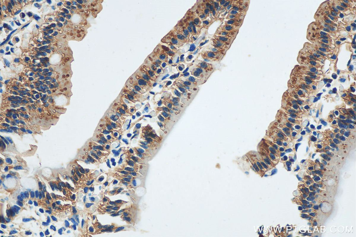
| Positive IHC detected in | mouse small intestine tissue Note: suggested antigen retrieval with TE buffer pH 9.0; (*) Alternatively, antigen retrieval may be performed with citrate buffer pH 6.0 |
推荐稀释比
| 应用 | 推荐稀释比 |
|---|---|
| Western Blot (WB) | WB : 1:1000-1:8000 |
| Immunohistochemistry (IHC) | IHC : 1:50-1:500 |
| It is recommended that this reagent should be titrated in each testing system to obtain optimal results. | |
| Sample-dependent, Check data in validation data gallery. | |
产品信息
17519-1-AP targets RIPK1-Specific in WB, IHC, IF, IP, CoIP, ELISA applications and shows reactivity with mouse, rat samples.
| 经测试应用 | WB, IHC, ELISA Application Description |
| 文献引用应用 | WB, IHC, IF, IP, CoIP |
| 经测试反应性 | mouse, rat |
| 文献引用反应性 | human, mouse, rat, pig, yeast |
| 免疫原 |
Peptide 种属同源性预测 |
| 宿主/亚型 | Rabbit / IgG |
| 抗体类别 | Polyclonal |
| 产品类型 | Antibody |
| 全称 | receptor (TNFRSF)-interacting serine-threonine kinase 1 |
| 别名 | RIPK1, EC:2.7.11.1, Receptor interacting serine/threonine protein kinase 1, Receptor-interacting protein 1, Receptor-interacting serine/threonine-protein kinase 1 |
| 计算分子量 | 76 kDa |
| 观测分子量 | 70-80 kDa |
| GenBank蛋白编号 | NM_003804 |
| 基因名称 | RIPK1 |
| Gene ID (NCBI) | 8737 |
| RRID | AB_10642833 |
| 偶联类型 | Unconjugated |
| 形式 | Liquid |
| 纯化方式 | Antigen affinity purification |
| UNIPROT ID | Q13546 |
| 储存缓冲液 | PBS with 0.02% sodium azide and 50% glycerol, pH 7.3. |
| 储存条件 | Store at -20°C. Stable for one year after shipment. Aliquoting is unnecessary for -20oC storage. |
背景介绍
RIPK1(Receptor-interacting serine/threonine-protein kinase 1) is primarily involved in mediating TNF-R1-induced cell activation, apoptosis, and necroptosis and belongs to a novel class of kinases that function in cell survival and cell death mechanisms(PMID:22685397 ). It has 2 isoforms produced by alternative splicing. It also can exist as a protein with a lower molecular weight of about 25 kDa and 45 kDa in HAEC and HUVEC(PMID:22685397).
实验方案
| Product Specific Protocols | |
|---|---|
| IHC protocol for RIPK1-Specific antibody 17519-1-AP | Download protocol |
| WB protocol for RIPK1-Specific antibody 17519-1-AP | Download protocol |
| Standard Protocols | |
|---|---|
| Click here to view our Standard Protocols |
发表文章
| Species | Application | Title |
|---|---|---|
Acta Pharm Sin B A new perspective of triptolide-associated hepatotoxicity: the relevance of NF- κ B and NF- κ B-mediated cellular FLICE-inhibitory protein. | ||
Nat Commun Regulation of RIPK1 activation by TAK1-mediated phosphorylation dictates apoptosis and necroptosis. | ||
Cell Mol Biol Lett Integrated transcriptomics and metabolomics confirms the oxidative stress mechanism of hypothermia-induced neuronal necroptosis | ||
Sci Total Environ Evaluation of 6-PPD quinone toxicity on lung of male BALB/c mice by quantitative proteomics | ||
Sci Total Environ Glycidol induces necroptosis and inflammation through autophagy-necrosome pathway in renal cell and mice |


