验证数据展示
经过测试的应用
| Positive WB detected in | BxPC-3 cells, human brain tissue, Jurkat cells |
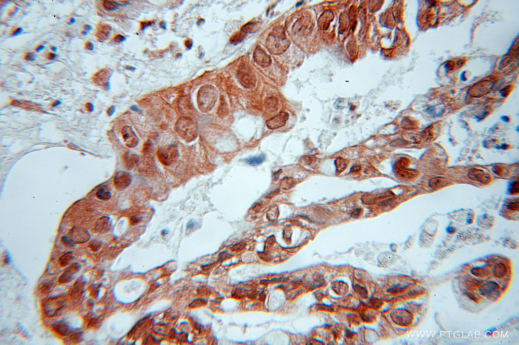
| Positive IHC detected in | human pancreas cancer tissue Note: suggested antigen retrieval with TE buffer pH 9.0; (*) Alternatively, antigen retrieval may be performed with citrate buffer pH 6.0 |
推荐稀释比
| 应用 | 推荐稀释比 |
|---|---|
| Western Blot (WB) | WB : 1:1000-1:5000 |
| Immunohistochemistry (IHC) | IHC : 1:20-1:200 |
| It is recommended that this reagent should be titrated in each testing system to obtain optimal results. | |
| Sample-dependent, Check data in validation data gallery. | |
发表文章中的应用
| WB | See 2 publications below |
| IHC | See 1 publications below |
产品信息
11138-1-AP targets RIC8A in WB, IHC, ELISA applications and shows reactivity with human, mouse, rat samples.
| 经测试应用 | WB, IHC, ELISA Application Description |
| 文献引用应用 | WB, IHC |
| 经测试反应性 | human, mouse, rat |
| 文献引用反应性 | human, mouse |
| 免疫原 |
CatNo: Ag1593 Product name: Recombinant human RIC8A protein Source: e coli.-derived, PGEX-4T Tag: GST Domain: 117-467 aa of BC011821 Sequence: QQLFQELKGVRLLTDTLELTLGVTPEGNPPTLLPSQETERAMEILKVLFNITLDSIKGEVDEEDAALYRHLGTLLRHCVMIATAGDRTEEFHGHAVNLLGNLPLKCLDVLLTLEPHGDSTEFMGVNMDVIRALLIFLEKRLHKTHRLKESVAPVLSVLTECARMHRPARKFLKAQVLPPLRDVRTRPEVGEMLRNKLVRLMTHLDTDVKRVAAEFLFVLCSESVPRFIKYTGYGNAAGLLAARGLMAGGRPEGQYSEDEDTDTDEYKEAKASINPVTGRVEEKPPNPMEGMTEEQKEHEAMKLVTMFDKLSRNRVIQPMGMSPRGHLTSLQDAMCETMEQQLSSDPDSDPD 种属同源性预测 |
| 宿主/亚型 | Rabbit / IgG |
| 抗体类别 | Polyclonal |
| 产品类型 | Antibody |
| 全称 | resistance to inhibitors of cholinesterase 8 homolog A (C. elegans) |
| 别名 | Protein Ric 8A, RIC8, RIC8A, synembryn, Synembryn A |
| 计算分子量 | 60 kDa |
| 观测分子量 | 58-62 kDa |
| GenBank蛋白编号 | BC011821 |
| 基因名称 | RIC8A |
| Gene ID (NCBI) | 60626 |
| RRID | AB_2179822 |
| 偶联类型 | Unconjugated |
| 形式 | Liquid |
| 纯化方式 | Antigen affinity purification |
| UNIPROT ID | Q9NPQ8 |
| 储存缓冲液 | PBS with 0.02% sodium azide and 50% glycerol, pH 7.3. |
| 储存条件 | Store at -20°C. Stable for one year after shipment. Aliquoting is unnecessary for -20oC storage. |
背景介绍
RIC8A, also named as synembryn-A, is a Guanine nucleotide exchange factor (GEF), which can activate some, but not all, G-alpha proteins by exchanging bound GDP for free GTP. It is involved in regulation of microtubule pulling forces during mitotic movement of chromosomes by stimulating G(i)-alpha protein, possibly leading to release G(i)-alpha-GTP and NuMA proteins from the NuMA-GPSM2-G(i)-alpha-GDP complex. RIC8A also acts as an activator for G(q)-alpha (GNAQ) protein by enhancing the G(q)-coupled receptor-mediated ERK activation.
实验方案
| Product Specific Protocols | |
|---|---|
| IHC protocol for RIC8A antibody 11138-1-AP | Download protocol |
| WB protocol for RIC8A antibody 11138-1-AP | Download protocol |
| Standard Protocols | |
|---|---|
| Click here to view our Standard Protocols |
发表文章
| Species | Application | Title |
|---|---|---|
Proc Natl Acad Sci U S A CYLD regulates spindle orientation by stabilizing astral microtubules and promoting dishevelled-NuMA-dynein/dynactin complex formation. | ||
Front Cell Neurosci Ric-8A, a Galpha protein guanine nucleotide exchange factor potentiates taste receptor signaling. |


