验证数据展示
经过测试的应用
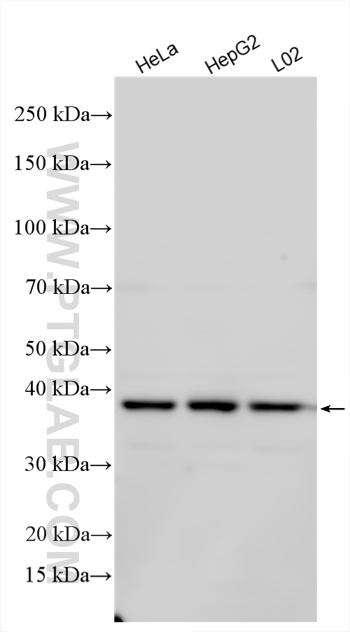
| Positive WB detected in | HeLa cells, HepG2 cells, L02 cells |
推荐稀释比
| 应用 | 推荐稀释比 |
|---|---|
| Western Blot (WB) | WB : 1:1000-1:6000 |
| It is recommended that this reagent should be titrated in each testing system to obtain optimal results. | |
| Sample-dependent, Check data in validation data gallery. | |
产品信息
21457-1-AP targets RHBDD3 in WB, ELISA applications and shows reactivity with human samples.
| 经测试应用 | WB, ELISA Application Description |
| 经测试反应性 | human |
| 免疫原 |
CatNo: Ag14737 Product name: Recombinant human RHBDD3 protein Source: e coli.-derived, PET28a Tag: 6*His Domain: 184-386 aa of BC002705 Sequence: RWLEPSERRLQVLQEGVLCRTLAGCWPLRLLATPGSLAELPVTHPAGVRPPIPGPPYVASPDLWSHWEDSALPPPSLRPVQPTWEGSSEAGLDWAGASFSPGTPMWAALDEQMLQEGIQASLLDGPAQEPQSAPWLSKSSVSSLRLQQLERMGFPTEQAVVALAATGRVEGAVSLLVGGQVGTETLVTHGKGGPAHSEGPGPP 种属同源性预测 |
| 宿主/亚型 | Rabbit / IgG |
| 抗体类别 | Polyclonal |
| 产品类型 | Antibody |
| 全称 | rhomboid domain containing 3 |
| 别名 | C22orf3, HS984G1A, PTAG, rhomboid domain containing 3 |
| 计算分子量 | 386 aa, 40 kDa |
| 观测分子量 | 38 kDa |
| GenBank蛋白编号 | BC002705 |
| 基因名称 | RHBDD3 |
| Gene ID (NCBI) | 25807 |
| 偶联类型 | Unconjugated |
| 形式 | Liquid |
| 纯化方式 | Antigen affinity purification |
| UNIPROT ID | Q9Y3P4 |
| 储存缓冲液 | PBS with 0.02% sodium azide and 50% glycerol, pH 7.3. |
| 储存条件 | Store at -20°C. Stable for one year after shipment. Aliquoting is unnecessary for -20oC storage. |
背景介绍
RHBDD3, also named as C22orf3, controls autoimmunity by suppressing the production of IL-6 by dendritic cells via K27-linked ubiquitination of the regulator NEMO.
实验方案
| Product Specific Protocols | |
|---|---|
| WB protocol for RHBDD3 antibody 21457-1-AP | Download protocol |
| Standard Protocols | |
|---|---|
| Click here to view our Standard Protocols |
