验证数据展示
经过测试的应用
| Positive WB detected in | mouse eye tissue |
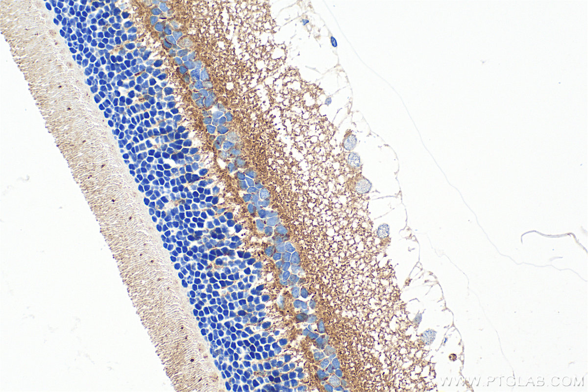
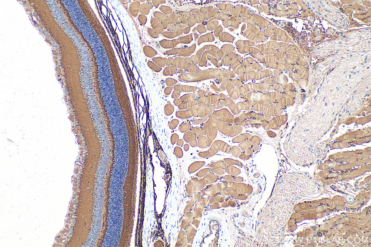
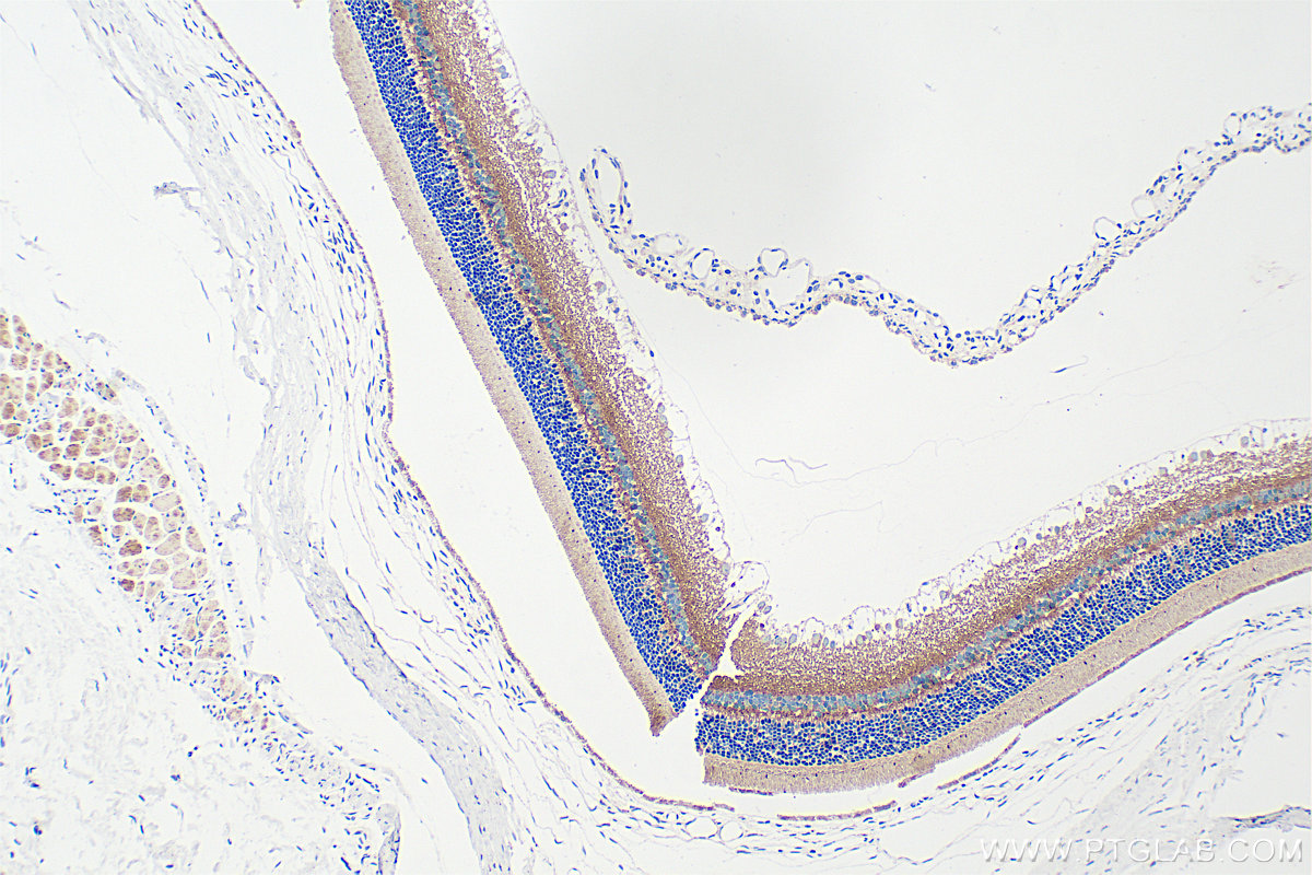
| Positive IHC detected in | mouse eye tissue, rat eye tissue Note: suggested antigen retrieval with TE buffer pH 9.0; (*) Alternatively, antigen retrieval may be performed with citrate buffer pH 6.0 |
| Positive IF-P detected in | mouse eye tissue |
推荐稀释比
| 应用 | 推荐稀释比 |
|---|---|
| Western Blot (WB) | WB : 1:500-1:2000 |
| Immunohistochemistry (IHC) | IHC : 1:200-1:800 |
| Immunofluorescence (IF)-P | IF-P : 1:50-1:500 |
| It is recommended that this reagent should be titrated in each testing system to obtain optimal results. | |
| Sample-dependent, Check data in validation data gallery. | |
产品信息
33040-1-AP targets RGS9BP in WB, IHC, IF-P, ELISA applications and shows reactivity with human, mouse, rat samples.
| 经测试应用 | WB, IHC, IF-P, ELISA Application Description |
| 经测试反应性 | human, mouse, rat |
| 免疫原 |
CatNo: Ag37833 Product name: Recombinant human RGS9BP protein Source: e coli.-derived, PGEX-4T Tag: GST Domain: 1-210 aa of NM_207391 Sequence: MAREECKALLDGLNKTTACYHHLVLTVGGSADSQNLRQELQKTRQKAQELAVSTCARLTAVLRDRGLAADERAEFERLWVAFSGCLDLLEADMRRALELGAAFPLHAPRRPLVRTGVAGASSGVAARALSTRSLRLEAEGDFDVADLRELEREVLQVGEMIDNMEMKVNVPRWTVQARQAAGAELLSTVSAGPSSVVSLQERGGGCDPRK 种属同源性预测 |
| 宿主/亚型 | Rabbit / IgG |
| 抗体类别 | Polyclonal |
| 产品类型 | Antibody |
| 全称 | regulator of G protein signaling 9 binding protein |
| 别名 | R9AP, Regulator of G-protein signaling 9-binding protein, RGS9-anchoring protein |
| 计算分子量 | 235aa, 25 kDa |
| 观测分子量 | 30 kDa |
| GenBank蛋白编号 | NM_207391 |
| 基因名称 | RGS9BP |
| Gene ID (NCBI) | 388531 |
| RRID | AB_3742832 |
| 偶联类型 | Unconjugated |
| 形式 | Liquid |
| 纯化方式 | Antigen affinity Purification |
| UNIPROT ID | Q6ZS82 |
| 储存缓冲液 | PBS with 0.02% sodium azide and 50% glycerol, pH 7.3. |
| 储存条件 | Store at -20°C. Stable for one year after shipment. Aliquoting is unnecessary for -20oC storage. |
实验方案
| Product Specific Protocols | |
|---|---|
| IF protocol for RGS9BP antibody 33040-1-AP | Download protocol |
| IHC protocol for RGS9BP antibody 33040-1-AP | Download protocol |
| WB protocol for RGS9BP antibody 33040-1-AP | Download protocol |
| Standard Protocols | |
|---|---|
| Click here to view our Standard Protocols |





