验证数据展示
经过测试的应用
| Positive WB detected in | mouse cerebellum tissue, mouse brain tissue, PC-12 cells |
| Positive IP detected in | mouse brain tissue |
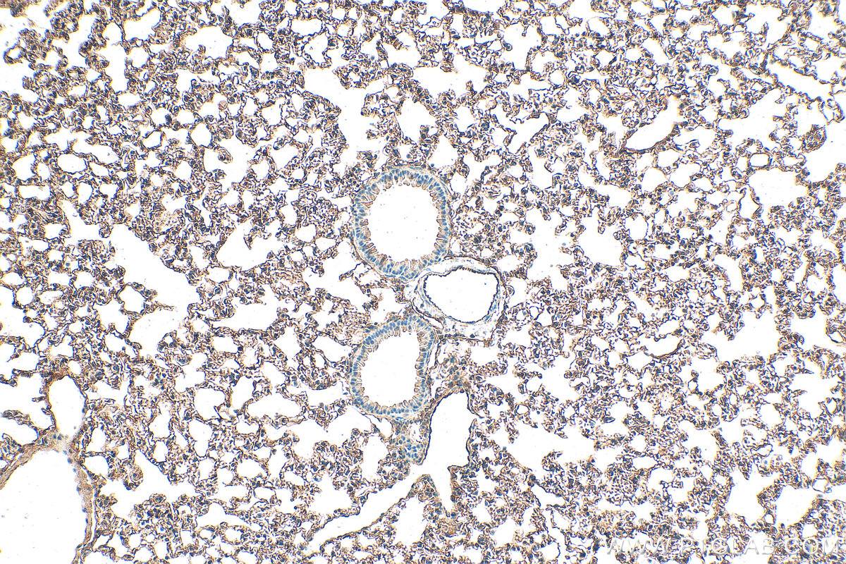
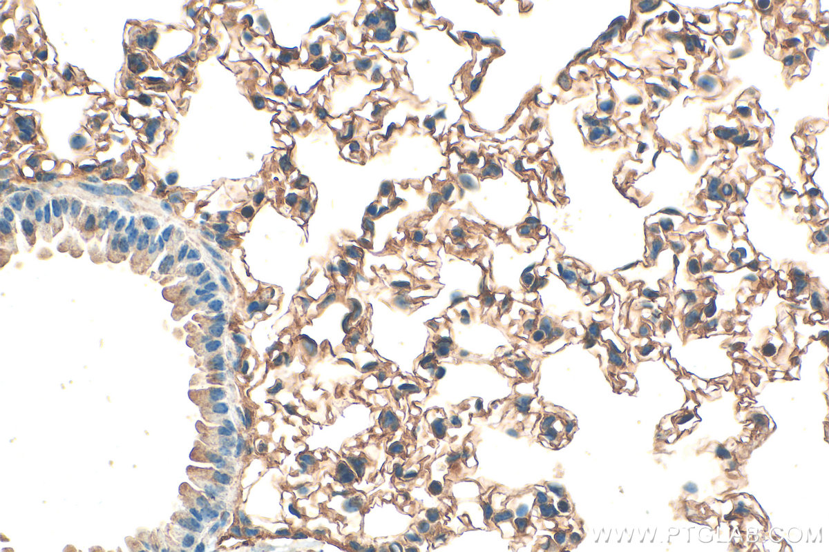
| Positive IHC detected in | human lung tissue, human brain tissue, mouse brain tissue, mouse lung tissue Note: suggested antigen retrieval with TE buffer pH 9.0; (*) Alternatively, antigen retrieval may be performed with citrate buffer pH 6.0 |
| Positive IF/ICC detected in | HeLa cells |
推荐稀释比
| 应用 | 推荐稀释比 |
|---|---|
| Western Blot (WB) | WB : 1:500-1:1000 |
| Immunoprecipitation (IP) | IP : 0.5-4.0 ug for 1.0-3.0 mg of total protein lysate |
| Immunohistochemistry (IHC) | IHC : 1:50-1:500 |
| Immunofluorescence (IF)/ICC | IF/ICC : 1:200-1:800 |
| It is recommended that this reagent should be titrated in each testing system to obtain optimal results. | |
| Sample-dependent, Check data in validation data gallery. | |
产品信息
14530-1-AP targets RGS4 in WB, IHC, IF/ICC, IP, CoIP, ELISA applications and shows reactivity with human, mouse, rat samples.
| 经测试应用 | WB, IHC, IF/ICC, IP, ELISA Application Description |
| 文献引用应用 | WB, IHC, IF, CoIP |
| 经测试反应性 | human, mouse, rat |
| 文献引用反应性 | human, mouse |
| 免疫原 |
CatNo: Ag6029 Product name: Recombinant human RGS4 protein Source: e coli.-derived, PGEX-4T Tag: GST Domain: 1-205 aa of BC051869 Sequence: MCKGLAGLPASCLRSAKDMKHRLGFLLQKSDSCEHNSSHNKKDKVVICQRVSQEEVKKWAESLENLISHECGLAAFKAFLKSEYSEENIDFWISCEEYKKIKSPSKLSPKAKKIYNEFISVQATKEVNLDSCTREETSRNMLEPTITCFDEAQKKIFNLMEKDSYRRFLKSRFYLDLVNPSSCGAEKQKGAKSSADCASLVPQCA 种属同源性预测 |
| 宿主/亚型 | Rabbit / IgG |
| 抗体类别 | Polyclonal |
| 产品类型 | Antibody |
| 全称 | regulator of G-protein signaling 4 |
| 别名 | regulator of G protein signaling 4, Regulator of G-protein signaling 4, RGP4 |
| 计算分子量 | 23 kDa |
| 观测分子量 | 30 kDa |
| GenBank蛋白编号 | BC051869 |
| 基因名称 | RGS4 |
| Gene ID (NCBI) | 5999 |
| RRID | AB_2269443 |
| 偶联类型 | Unconjugated |
| 形式 | Liquid |
| 纯化方式 | Antigen affinity purification |
| UNIPROT ID | P49798 |
| 储存缓冲液 | PBS with 0.02% sodium azide and 50% glycerol, pH 7.3. |
| 储存条件 | Store at -20°C. Stable for one year after shipment. Aliquoting is unnecessary for -20oC storage. |
背景介绍
Regulator of G protein signaling (RGS) proteins are a large family of highly diverse, multifunctional signaling proteins. RGS4 is one of seven members of a classic R4 RGS protein that accelerates the GTPase activity of the Gai/o and Gaq/11 family members. RGS4 is highly expressed in multiple brain regions including the cerebral cortex, amygdala, hippocampus, and striatum. Extensive studies have demonstrated that RGS4 plays an important role in regulating smooth muscle contraction, cardiomyocyte development, neural plasticity and psychiatric disorders.
实验方案
| Product Specific Protocols | |
|---|---|
| IF protocol for RGS4 antibody 14530-1-AP | Download protocol |
| IHC protocol for RGS4 antibody 14530-1-AP | Download protocol |
| IP protocol for RGS4 antibody 14530-1-AP | Download protocol |
| WB protocol for RGS4 antibody 14530-1-AP | Download protocol |
| Standard Protocols | |
|---|---|
| Click here to view our Standard Protocols |
发表文章
| Species | Application | Title |
|---|---|---|
J Allergy Clin Immunol RGS4 promotes allergen- and aspirin-associated airway hyperresponsiveness by inhibiting PGE2 biosynthesis.
| ||
Arterioscler Thromb Vasc Biol HuR (Human Antigen R) Regulates the Contraction of Vascular Smooth Muscle and Maintains Blood Pressure. | ||
Oncotarget Regulator of G protein signaling 4 inhibits human melanoma cells proliferation and invasion through the PI3K/AKT signaling pathway. | ||
Onco Targets Ther RGS4 Regulates Proliferation And Apoptosis Of NSCLC Cells Via microRNA-16 And Brain-Derived Neurotrophic Factor. | ||
Arch Gerontol Geriatr LINC00370 modulates miR-222-3p-RGS4 axis to protect against osteoporosis progression. | ||
Redox Biol Redox-modulated SNX25 as a novel regulator of GPCR-G protein signaling from endosomes |












