验证数据展示
经过测试的应用
| Positive WB detected in | mouse thymus tissue, K-562 cells |
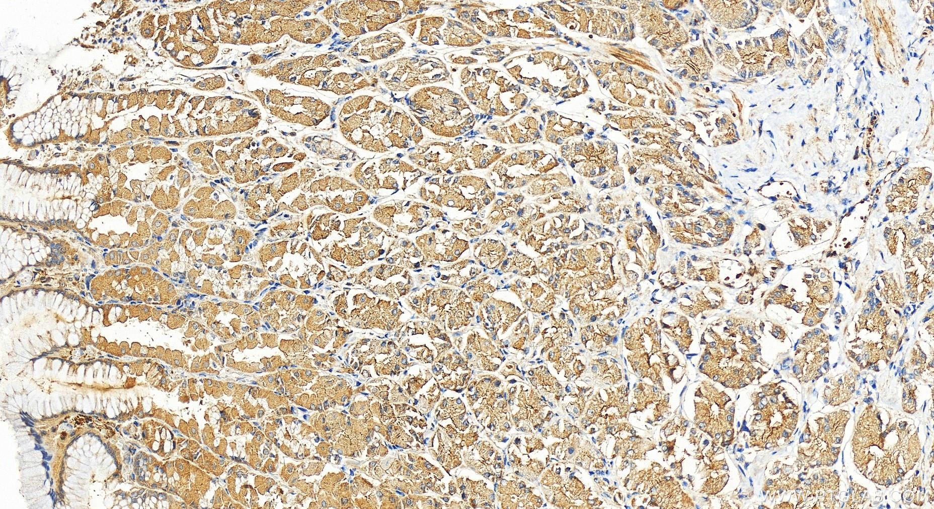
| Positive IHC detected in | human stomach tissue Note: suggested antigen retrieval with TE buffer pH 9.0; (*) Alternatively, antigen retrieval may be performed with citrate buffer pH 6.0 |
推荐稀释比
| 应用 | 推荐稀释比 |
|---|---|
| Western Blot (WB) | WB : 1:500-1:1000 |
| Immunohistochemistry (IHC) | IHC : 1:50-1:500 |
| It is recommended that this reagent should be titrated in each testing system to obtain optimal results. | |
| Sample-dependent, Check data in validation data gallery. | |
发表文章中的应用
| KD/KO | See 1 publications below |
| WB | See 3 publications below |
产品信息
11163-1-AP targets RGS10 in WB, IHC, ELISA applications and shows reactivity with human, mouse samples.
| 经测试应用 | WB, IHC, ELISA Application Description |
| 文献引用应用 | WB |
| 经测试反应性 | human, mouse |
| 文献引用反应性 | mouse |
| 免疫原 |
CatNo: Ag1644 Product name: Recombinant human RGS10 protein Source: e coli.-derived, PGEX-4T Tag: GST Domain: 1-181 aa of BC009361 Sequence: MFNRAVSRLSRKRPPSDIHDSDGSSSSSHQSLKSTAKWAASLENLLEDPEGVKRFREFLKKEFSEENVLFWLACEDFKKMQDKTQMQEKAKEIYMTFLSSKASSQVNVEGQSRLNEKILEEPHPLMFQKLQDQIFNLMKYDSYSRFLKSDLFLKHKRTEEEEEDLPDAQTAAKRASRIYNT 种属同源性预测 |
| 宿主/亚型 | Rabbit / IgG |
| 抗体类别 | Polyclonal |
| 产品类型 | Antibody |
| 全称 | regulator of G-protein signaling 10 |
| 别名 | Regulator of G-protein signaling 10 |
| 计算分子量 | 21 kDa |
| 观测分子量 | 20-22 kDa |
| GenBank蛋白编号 | BC009361 |
| 基因名称 | RGS10 |
| Gene ID (NCBI) | 6001 |
| RRID | AB_10596933 |
| 偶联类型 | Unconjugated |
| 形式 | Liquid |
| 纯化方式 | Antigen affinity purification |
| UNIPROT ID | O43665 |
| 储存缓冲液 | PBS with 0.02% sodium azide and 50% glycerol, pH 7.3. |
| 储存条件 | Store at -20°C. Stable for one year after shipment. Aliquoting is unnecessary for -20oC storage. |
实验方案
| Product Specific Protocols | |
|---|---|
| IHC protocol for RGS10 antibody 11163-1-AP | Download protocol |
| WB protocol for RGS10 antibody 11163-1-AP | Download protocol |
| Standard Protocols | |
|---|---|
| Click here to view our Standard Protocols |
发表文章
| Species | Application | Title |
|---|---|---|
Int Endod J RGS10 negatively regulates apical periodontitis via TFEB-mediated autophagy in BABL/c mice model and in vitro | ||
Oral Dis Inhibition of Rgs10 aggravates periodontitis with collagen-induced arthritis via the NF-κB pathway.
| ||
J Endod Inhibition of RGS10 Aggravates Periapical Periodontitis via Upregulation of the NF-κB Pathway |




