验证数据展示
经过测试的应用
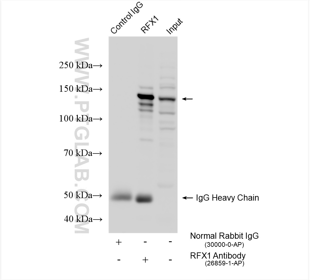
| Positive WB detected in | Jurkat cells, HL-60 cells |
| Positive IP detected in | Jurkat cells |
推荐稀释比
| 应用 | 推荐稀释比 |
|---|---|
| Western Blot (WB) | WB : 1:500-1:2000 |
| Immunoprecipitation (IP) | IP : 0.5-4.0 ug for 1.0-3.0 mg of total protein lysate |
| It is recommended that this reagent should be titrated in each testing system to obtain optimal results. | |
| Sample-dependent, Check data in validation data gallery. | |
产品信息
26859-1-AP targets RFX1 in WB, IHC, IF, IP, ELISA applications and shows reactivity with human samples.
| 经测试应用 | WB, IP, ELISA Application Description |
| 文献引用应用 | WB, IHC, IF |
| 经测试反应性 | human |
| 文献引用反应性 | human, mouse |
| 免疫原 |
CatNo: Ag25442 Product name: Recombinant human RFX1 protein Source: e coli.-derived, PET28a Tag: 6*His Domain: 62-289 aa of BC049826 Sequence: QPQAQPPGGQKQYVTELPAVPAPSQPTGAPTPSPAPQQYIVVTVSEGAMRASETVSEASPGSTASQTGVPTQVVQQVQGTQQRLLVQTSVQAKPGHVSPLQLTNIQVPQQALPTQRLVVQSAAPGSKGGQVSLTVHGTQQVHSPPEQSPVQANSSSSKTAGAPTGTVPQQLQVHGVQQSVPVTQERSVVQATPQAPKPGPVQPLTVQGLQPVHVAQEVQQLQQVPVPH 种属同源性预测 |
| 宿主/亚型 | Rabbit / IgG |
| 抗体类别 | Polyclonal |
| 产品类型 | Antibody |
| 全称 | regulatory factor X, 1 (influences HLA class II expression) |
| 别名 | EF C, Enhancer factor C, Regulatory factor X 1, RFX, RFX1, Transcription factor RFX1 |
| 计算分子量 | 105 kDa |
| 观测分子量 | 135 kDa |
| GenBank蛋白编号 | BC049826 |
| 基因名称 | RFX1 |
| Gene ID (NCBI) | 5989 |
| RRID | AB_2880659 |
| 偶联类型 | Unconjugated |
| 形式 | Liquid |
| 纯化方式 | Antigen affinity purification |
| UNIPROT ID | P22670 |
| 储存缓冲液 | PBS with 0.02% sodium azide and 50% glycerol, pH 7.3. |
| 储存条件 | Store at -20°C. Stable for one year after shipment. Aliquoting is unnecessary for -20oC storage. |
背景介绍
RFX1, also named as MHC class II regulatory factor RFX1, is a 979 amino acid protein which contains 1 RFX-type winged-helix DNA-binding domain and belongs to the RFX family. RFX1 can binds DNA as a homodimer and heterodimerizes with RFX2 and RFX3. RFX1 as a regulatory factor is essential for MHC class II genes expression. RFX1 protein is modified after translation and its molecular weight could be migrate to 130-140 kDa (PMID: 20189986 ).
实验方案
| Product Specific Protocols | |
|---|---|
| IP protocol for RFX1 antibody 26859-1-AP | Download protocol |
| WB protocol for RFX1 antibody 26859-1-AP | Download protocol |
| Standard Protocols | |
|---|---|
| Click here to view our Standard Protocols |
发表文章
| Species | Application | Title |
|---|---|---|
Int J Biol Sci Hypoxia-induced exosomes facilitate lung pre-metastatic niche formation in hepatocellular carcinoma through the miR-4508-RFX1-IL17A-p38 MAPK-NF-κB pathway
| ||
Ren Fail Proteomics reveals the key transcription-related factors mediating obstructive nephropathy in pediatric patients and mice | ||
Int J Surg Neuronal PD-L1 suppression attenuates ischemic stroke injury via PD-1/RFX1 axis-mediated microglial polarization. | ||
Oncol Res RFX1 Regulates Immune Microenvironment and Predicts Immunotherapy Response in Colon Cancer: A Multi-Omics and Clinical Analysis.
|


