验证数据展示
经过测试的应用
| Positive WB detected in | mouse liver tissue, SGC-7901 cells |
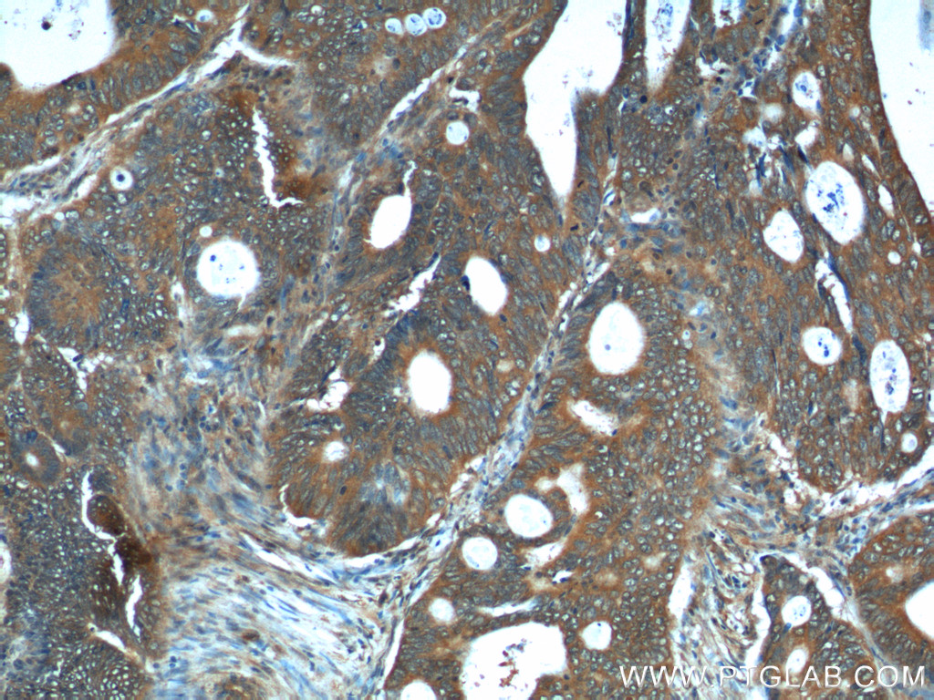
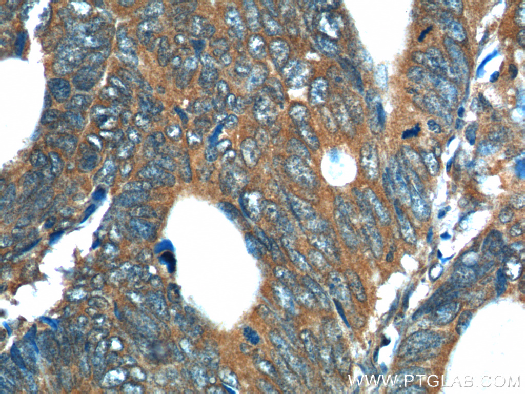
| Positive IHC detected in | human colon cancer tissue Note: suggested antigen retrieval with TE buffer pH 9.0; (*) Alternatively, antigen retrieval may be performed with citrate buffer pH 6.0 |
推荐稀释比
| 应用 | 推荐稀释比 |
|---|---|
| Western Blot (WB) | WB : 1:500-1:2000 |
| Immunohistochemistry (IHC) | IHC : 1:50-1:500 |
| It is recommended that this reagent should be titrated in each testing system to obtain optimal results. | |
| Sample-dependent, Check data in validation data gallery. | |
发表文章中的应用
| WB | See 1 publications below |
| IHC | See 3 publications below |
产品信息
12268-1-AP targets REG4 in WB, IHC, ELISA applications and shows reactivity with human, mouse samples.
| 经测试应用 | WB, IHC, ELISA Application Description |
| 文献引用应用 | WB, IHC |
| 经测试反应性 | human, mouse |
| 文献引用反应性 | human |
| 免疫原 |
CatNo: Ag2934 Product name: Recombinant human REG4 protein Source: e coli.-derived, PGEX-4T Tag: GST Domain: 20-158 aa of BC017089 Sequence: VLGDIIMRPSCAPGWFYHKSNCYGYFRKLRNWSDAELECQSYGNGAHLASILSLKEASTIAEYISGYQRSQPIWIGLHDPQKRQQWQWIDGAMYLYRSWSGKSMGGNKHCAEMSSNNNFLTWSSNECNKRQHFLCKYRP 种属同源性预测 |
| 宿主/亚型 | Rabbit / IgG |
| 抗体类别 | Polyclonal |
| 产品类型 | Antibody |
| 全称 | regenerating islet-derived family, member 4 |
| 别名 | GISP, REG 4, Reg IV, REG like protein, REG-4 |
| 计算分子量 | 158 aa, 18 kDa |
| 观测分子量 | 18 kDa |
| GenBank蛋白编号 | BC017089 |
| 基因名称 | REG4 |
| Gene ID (NCBI) | 83998 |
| RRID | AB_2178702 |
| 偶联类型 | Unconjugated |
| 形式 | Liquid |
| 纯化方式 | Antigen affinity purification |
| UNIPROT ID | Q9BYZ8 |
| 储存缓冲液 | PBS with 0.02% sodium azide and 50% glycerol, pH 7.3. |
| 储存条件 | Store at -20°C. Stable for one year after shipment. Aliquoting is unnecessary for -20oC storage. |
背景介绍
REG4 (Regenerating islet-derived protein 4) is a secreted C-type lectin that belongs to the regenerating gene (REG) family. Initially identified in a cDNA library from ulcerative colitis tissue, REG4 is predominantly expressed by intestinal enteroendocrine cells and is markedly up-regulated during gut inflammation and in various gastrointestinal cancers.
实验方案
| Product Specific Protocols | |
|---|---|
| IHC protocol for REG4 antibody 12268-1-AP | Download protocol |
| WB protocol for REG4 antibody 12268-1-AP | Download protocol |
| Standard Protocols | |
|---|---|
| Click here to view our Standard Protocols |
发表文章
| Species | Application | Title |
|---|---|---|
Cell Rep Med Distinctive multicellular immunosuppressive hubs confer different intervention strategies for left- and right-sided colon cancers | ||
Cancer Genomics Proteomics Regulation of REG4 Expression and Prediction of 5-Fluorouracil Sensitivity by CDX2 in Ovarian Mucinous Carcinoma. | ||
J Surg Oncol Overexpression of REG4 confers an independent negative prognosticator in rectal cancers receiving concurrent chemoradiotherapy. | ||
Signal Transduct Target Ther Single-cell transcriptomic profiling unravels the adenoma-initiation role of protein tyrosine kinases during colorectal tumorigenesis. |



