验证数据展示
经过测试的应用
| Positive WB detected in | BxPC-3 cells, HepG2 cells, mouse liver tissue, rat liver tissue | 
| Positive IP detected in | BxPC-3 cells | 
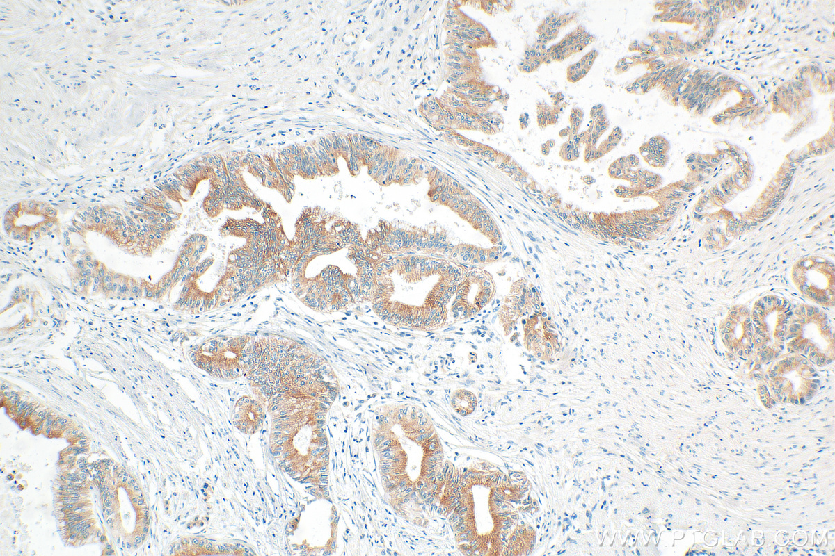
| Positive IHC detected in | human pancreas cancer tissue Note: suggested antigen retrieval with TE buffer pH 9.0; (*) Alternatively, antigen retrieval may be performed with citrate buffer pH 6.0  | 
| Positive IF/ICC detected in | HepG2 cells, mouse olfactory epithelium tissue | 
推荐稀释比
| 应用 | 推荐稀释比 | 
|---|---|
| Western Blot (WB) | WB : 1:500-1:2000 | 
| Immunoprecipitation (IP) | IP : 0.5-4.0 ug for 1.0-3.0 mg of total protein lysate | 
| Immunohistochemistry (IHC) | IHC : 1:50-1:500 | 
| Immunofluorescence (IF)/ICC | IF/ICC : 1:200-1:800 | 
| It is recommended that this reagent should be titrated in each testing system to obtain optimal results. | |
| Sample-dependent, Check data in validation data gallery. | |
产品信息
12088-1-AP targets REEP6 in WB, IHC, IF/ICC, IP, ELISA applications and shows reactivity with human, mouse, rat samples.
| 经测试应用 | WB, IHC, IF/ICC, IP, ELISA Application Description | 
| 文献引用应用 | WB, IHC, IF, IP | 
| 经测试反应性 | human, mouse, rat | 
| 文献引用反应性 | human, mouse, rat | 
| 免疫原 | 
                                             CatNo: Ag2723 Product name: Recombinant human REEP6 protein Source: e coli.-derived, PGEX-4T Tag: GST Domain: 1-184 aa of BC008201 Sequence: MDGLRQRVEHFLEQRNLVTEVLGALEAKTGVEKRYLAAGAVTLLSLYLLFGYGASLLCNLIGFVYPAYASIKAIESPSKDDDTVWLTYWVVYALFGLAEFFSDLLLSWFPFYYVGKCAFLLFCMAPRPWNGALMLYQRVVRPLFLRHHGAVDRIMNDLSGRALDAAAGITRNVKPSQTPQPKDK 种属同源性预测 | 
                                    
| 宿主/亚型 | Rabbit / IgG | 
| 抗体类别 | Polyclonal | 
| 产品类型 | Antibody | 
| 全称 | receptor accessory protein 6 | 
| 别名 | Receptor expression-enhancing protein 6, Polyposis locus protein 1-like 1, DP1L1, C19orf32 | 
| 计算分子量 | 201 aa, 22 kDa | 
| 观测分子量 | 17-22 kDa | 
| GenBank蛋白编号 | BC008201 | 
| 基因名称 | REEP6 | 
| Gene ID (NCBI) | 92840 | 
| RRID | AB_2178460 | 
| 偶联类型 | Unconjugated | 
| 形式 | Liquid | 
| 纯化方式 | Antigen affinity purification | 
| UNIPROT ID | Q96HR9 | 
| 储存缓冲液 | PBS with 0.02% sodium azide and 50% glycerol, pH 7.3. | 
| 储存条件 | Store at -20°C. Stable for one year after shipment. Aliquoting is unnecessary for -20oC storage. | 
实验方案
| Product Specific Protocols | |
|---|---|
| IF protocol for REEP6 antibody 12088-1-AP | Download protocol | 
| IHC protocol for REEP6 antibody 12088-1-AP | Download protocol | 
| IP protocol for REEP6 antibody 12088-1-AP | Download protocol | 
| WB protocol for REEP6 antibody 12088-1-AP | Download protocol | 
| Standard Protocols | |
|---|---|
| Click here to view our Standard Protocols | 
发表文章
| Species | Application | Title | 
|---|---|---|
Mol Psychiatry Dysfunctional tubular endoplasmic reticulum constitutes a pathological feature of Alzheimer's disease. | ||
Hum Mol Genet REEP6 deficiency leads to retinal degeneration through disruption of ER homeostasis and protein trafficking. | ||
Int J Biol Macromol Receptor accessory protein 6, a novel ferroptosis suppressor, drives oral squamous cell carcinoma by maintaining endoplasmic reticulum hemostasis | 






