验证数据展示
经过测试的应用
| Positive WB detected in | mouse testis tissue, rat testis tissue |
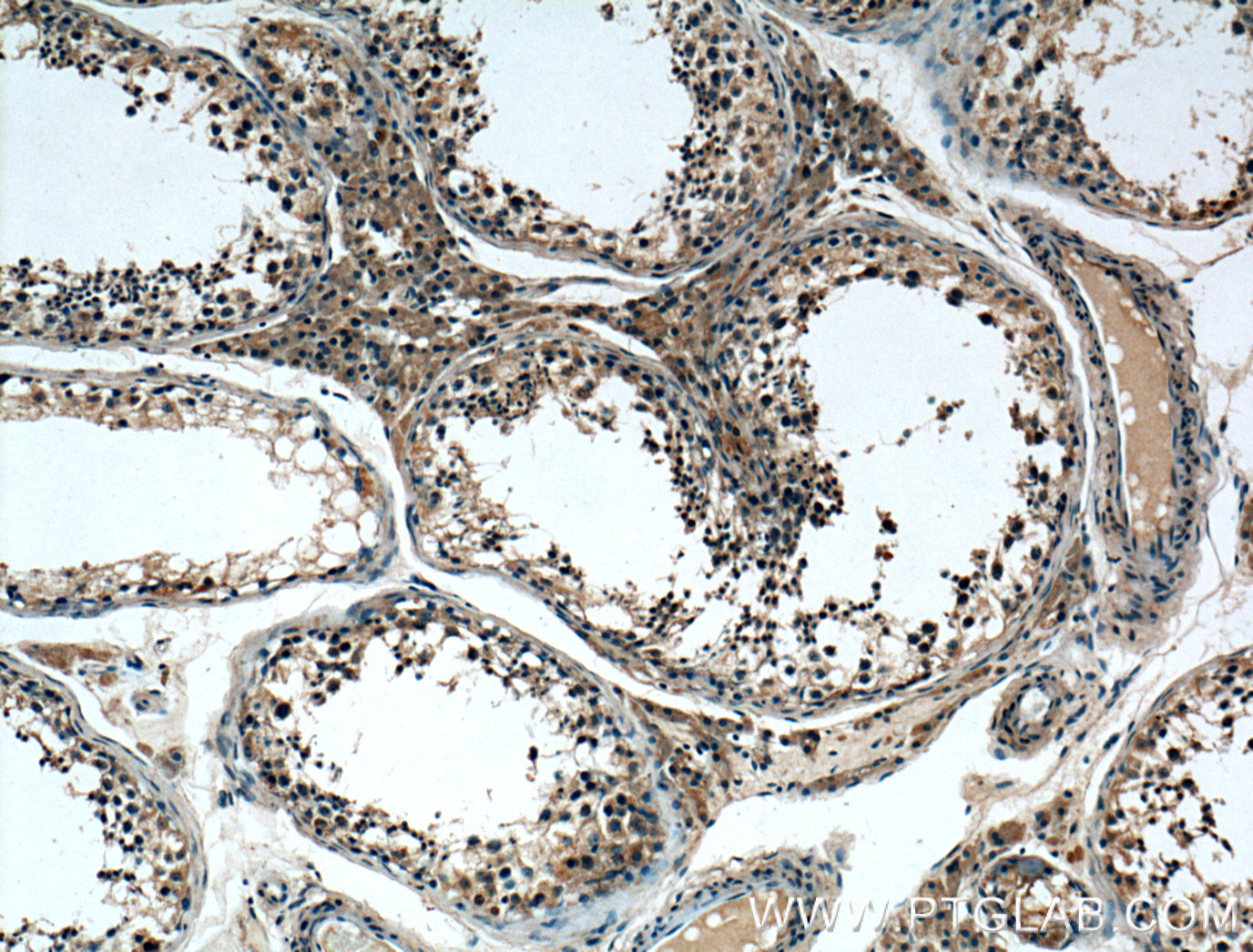
| Positive IHC detected in | human testis tissue Note: suggested antigen retrieval with TE buffer pH 9.0; (*) Alternatively, antigen retrieval may be performed with citrate buffer pH 6.0 |
| Positive IF/ICC detected in | HeLa cells |
推荐稀释比
| 应用 | 推荐稀释比 |
|---|---|
| Western Blot (WB) | WB : 1:500-1:1000 |
| Immunohistochemistry (IHC) | IHC : 1:50-1:500 |
| Immunofluorescence (IF)/ICC | IF/ICC : 1:50-1:500 |
| It is recommended that this reagent should be titrated in each testing system to obtain optimal results. | |
| Sample-dependent, Check data in validation data gallery. | |
产品信息
26650-1-AP targets REEP4 in WB, IHC, IF/ICC, ELISA applications and shows reactivity with human, mouse, rat samples.
| 经测试应用 | WB, IHC, IF/ICC, ELISA Application Description |
| 文献引用应用 | WB, IHC, IF |
| 经测试反应性 | human, mouse, rat |
| 文献引用反应性 | human, mouse |
| 免疫原 |
CatNo: Ag24569 Product name: Recombinant human REEP4 protein Source: e coli.-derived, PGEX-4T Tag: GST Domain: 157-257 aa of BC013048 Sequence: RSISDAPAPAYHDPLYLEDQVSHRRPPIGYRAGGLQDSDTEDECWSDTEAVPRAPARPREKPLIRSQSLRVVKRKPPVREGTSRSLKVRTRKKTVPSDVDS 种属同源性预测 |
| 宿主/亚型 | Rabbit / IgG |
| 抗体类别 | Polyclonal |
| 产品类型 | Antibody |
| 全称 | receptor accessory protein 4 |
| 别名 | Receptor expression-enhancing protein 4, PP432, C8orf20 |
| 计算分子量 | 29 kDa |
| 观测分子量 | 29 kDa |
| GenBank蛋白编号 | BC013048 |
| 基因名称 | REEP4 |
| Gene ID (NCBI) | 80346 |
| RRID | AB_2880589 |
| 偶联类型 | Unconjugated |
| 形式 | Liquid |
| 纯化方式 | Antigen affinity purification |
| UNIPROT ID | Q9H6H4 |
| 储存缓冲液 | PBS with 0.02% sodium azide and 50% glycerol, pH 7.3. |
| 储存条件 | Store at -20°C. Stable for one year after shipment. Aliquoting is unnecessary for -20oC storage. |
实验方案
| Product Specific Protocols | |
|---|---|
| IF protocol for REEP4 antibody 26650-1-AP | Download protocol |
| IHC protocol for REEP4 antibody 26650-1-AP | Download protocol |
| WB protocol for REEP4 antibody 26650-1-AP | Download protocol |
| Standard Protocols | |
|---|---|
| Click here to view our Standard Protocols |
发表文章
| Species | Application | Title |
|---|---|---|
J Cell Biol Dynamic interaction of REEP5-MFN1/2 enables mitochondrial hitchhiking on tubular ER | ||
Hum Mol Genet Transverse endoplasmic reticulum expansion in hereditary spastic paraplegia corticospinal axons. | ||
J Biol Chem Comparative proximity biotinylation implicates the small GTPase RAB18 in sterol mobilization and biosynthesis | ||
Aging (Albany NY) Potential value of expression of receptor accessory protein 4 for evaluating the prognosis of lower-grade glioma patients | ||
J Cancer REEP4 as Potential Biomarker Associated with Predictive Prognosis and Immune Response in Kidney Clear Cell Carcinoma |




