验证数据展示
经过测试的应用
| Positive WB detected in | PC-3 cells, human placenta tissue, MCF-7 cells | 
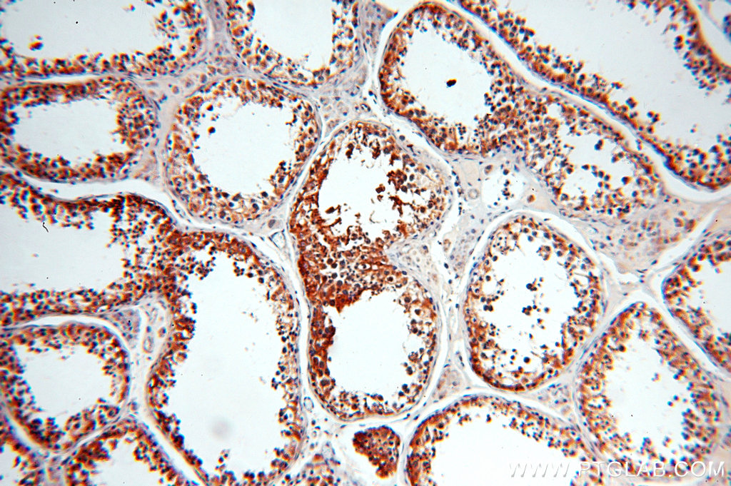
| Positive IHC detected in | human lung tissue, human brain tissue,  human testis tissue Note: suggested antigen retrieval with TE buffer pH 9.0; (*) Alternatively, antigen retrieval may be performed with citrate buffer pH 6.0  | 
| Positive IF/ICC detected in | PC-3 cells | 
推荐稀释比
| 应用 | 推荐稀释比 | 
|---|---|
| Western Blot (WB) | WB : 1:500-1:1000 | 
| Immunohistochemistry (IHC) | IHC : 1:50-1:500 | 
| Immunofluorescence (IF)/ICC | IF/ICC : 1:20-1:200 | 
| It is recommended that this reagent should be titrated in each testing system to obtain optimal results. | |
| Sample-dependent, Check data in validation data gallery. | |
产品信息
20156-1-AP targets RDM1 in WB, IHC, IF/ICC, ELISA applications and shows reactivity with human samples.
| 经测试应用 | WB, IHC, IF/ICC, ELISA Application Description | 
| 文献引用应用 | WB, IF, IHC | 
| 经测试反应性 | human | 
| 文献引用反应性 | human | 
| 免疫原 | 
                                             CatNo: Ag14077 Product name: Recombinant human RDM1 protein Source: e coli.-derived, PGEX-4T Tag: GST Domain: 1-253 aa of BC038301 Sequence: QHSLFTAFSQFGLLYSVRVFPNAAVAHPGFYAVIKFYSARAAHRAQKACDRKQLFQKSPVKVRLGTRHKAVQHQALALNSSKCQELANYCFGFNGCSKRIIKLQELSDLEERENEDSMVPLPKQSLKFFCALEVVLPSCDCRSPGIGLVEEPMDKVEEGPLSFLMKRKTAQKLAIQKALSDAFQKLLIVVLESGKIAVEYRPSEDIVGVRCEEELHGLIQVPCSPWKQYGQEEEGYLSDFSLEEEEFRLPELD 种属同源性预测 | 
                                    
| 宿主/亚型 | Rabbit / IgG | 
| 抗体类别 | Polyclonal | 
| 产品类型 | Antibody | 
| 全称 | RAD52 motif 1 | 
| 别名 | RAD52 homolog B, RAD52 motif 1, RAD52B, RDM1 | 
| 计算分子量 | 284 aa, 32 kDa | 
| 观测分子量 | 32 kDa | 
| GenBank蛋白编号 | BC038301 | 
| 基因名称 | RDM1 | 
| Gene ID (NCBI) | 201299 | 
| RRID | AB_10666433 | 
| 偶联类型 | Unconjugated | 
| 形式 | Liquid | 
| 纯化方式 | Antigen affinity purification | 
| UNIPROT ID | Q8NG50 | 
| 储存缓冲液 | PBS with 0.02% sodium azide and 50% glycerol, pH 7.3. | 
| 储存条件 | Store at -20°C. Stable for one year after shipment. Aliquoting is unnecessary for -20oC storage. | 
背景介绍
RDM1, also named as RAD52B, encodes a RNA recognition motif (RRM)-containing protein confered resistance to the antitumor agent cisplatin. The expression of RDM1 is closely related to the cell proliferation and apoptosis of thyroid carcinoma cells and RDM1 may be a potential marker of lung adenocarcinoma. RDM1 has many isoforms (8 kDa, 12-19 kDa and 25-32 kDa) with long or short N-terminus and a great diversity in the exonic composition of C-terminus generated by alternative pre-mRNA splicing and differential usage of two translational start sites. RDM1 protein can be expressed differently in cytoplasm or nuclear/nucleolar in the absence of stress, proteotoxic stress and mild heat shock, suggesting functional differences among the RDM1 proteins. ( PMID: 28939762, 17905820, 28939762, 30069034)
实验方案
| Product Specific Protocols | |
|---|---|
| IF protocol for RDM1 antibody 20156-1-AP | Download protocol | 
| IHC protocol for RDM1 antibody 20156-1-AP | Download protocol | 
| WB protocol for RDM1 antibody 20156-1-AP | Download protocol | 
| Standard Protocols | |
|---|---|
| Click here to view our Standard Protocols | 
发表文章
| Species | Application | Title | 
|---|---|---|
Mol Oncol Loss of RDM1 enhances hepatocellular carcinoma progression via p53 and Ras/Raf/ERK pathways.
  | ||
J Cell Mol Med RDM1 promotes critical processes in breast cancer tumorigenesis.
  | ||
Front Cell Dev Biol A Novel Signature Constructed by RNA-Binding Protein Coding Genes to Improve Overall Survival Prediction of Glioma Patients. | ||
Artif Cells Nanomed Biotechnol RDM1 plays an oncogenic role in human ovarian carcinoma cells.
  | ||
FEBS Open Bio RDM1 promotes neuroblastoma growth through the RAS-Raf-MEK-ERK pathway.
  | 









