验证数据展示
经过测试的应用
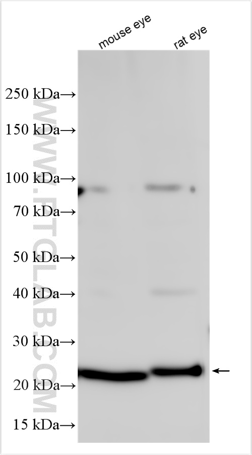
| Positive WB detected in | mouse eye tissue, rat retina tissue, Y79 cells, rat eye tissue |
| Positive IP detected in | mouse eye tissue |
| Positive IHC detected in | mouse eye tissue Note: suggested antigen retrieval with TE buffer pH 9.0; (*) Alternatively, antigen retrieval may be performed with citrate buffer pH 6.0 |
| Positive IF-P detected in | mouse eye tissue, mouse brain tissue |
推荐稀释比
| 应用 | 推荐稀释比 |
|---|---|
| Western Blot (WB) | WB : 1:500-1:3000 |
| Immunoprecipitation (IP) | IP : 0.5-4.0 ug for 1.0-3.0 mg of total protein lysate |
| Immunohistochemistry (IHC) | IHC : 1:50-1:500 |
| Immunofluorescence (IF)-P | IF-P : 1:50-1:500 |
| It is recommended that this reagent should be titrated in each testing system to obtain optimal results. | |
| Sample-dependent, Check data in validation data gallery. | |
产品信息
10073-1-AP targets Recoverin in WB, IHC, IF-P, IP, ELISA applications and shows reactivity with human, mouse, rat samples.
| 经测试应用 | WB, IHC, IF-P, IP, ELISA Application Description |
| 文献引用应用 | WB, IHC, IF |
| 经测试反应性 | human, mouse, rat |
| 文献引用反应性 | human, mouse, rat, pig, zebrafish |
| 免疫原 |
CatNo: Ag0119 Product name: Recombinant human Recoverin protein Source: e coli.-derived, PGEX-4T Tag: GST Domain: 7-166 aa of BC001720 Sequence: GALSKEILEELQLNTKFSEEELCSWYQSFLKDCPTGRITQQQFQSIYAKFFPDTDPKAYAQHVFRSFDSNLDGTLDFKEYVIALHMTTAGKTNQKLEWAFSLYDVDGNGTISKNEVLEIVMAIFKMITPEDVKLLPDDENTPEKRAEKIWKYFGKNDDDK 种属同源性预测 |
| 宿主/亚型 | Rabbit / IgG |
| 抗体类别 | Polyclonal |
| 产品类型 | Antibody |
| 全称 | recoverin |
| 别名 | RCVRN, Cancer associated retinopathy protein, Cancer-associated retinopathy protein, Protein CAR, RCV1 |
| 计算分子量 | 24 kDa |
| 观测分子量 | 23 kDa |
| GenBank蛋白编号 | BC001720 |
| 基因名称 | Recoverin |
| Gene ID (NCBI) | 5957 |
| RRID | AB_2178005 |
| 偶联类型 | Unconjugated |
| 形式 | Liquid |
| 纯化方式 | Antigen affinity purification |
| UNIPROT ID | P35243 |
| 储存缓冲液 | PBS with 0.02% sodium azide and 50% glycerol, pH 7.3. |
| 储存条件 | Store at -20°C. Stable for one year after shipment. Aliquoting is unnecessary for -20oC storage. |
背景介绍
Recoverin, belonging to a family of the neuronal calcium sensor (NCS) proteins, has a restricted expression in retinal photoreceptors or neurons or neuroendocrine cells. It has been suggested to play a role in light and dark adaptation by regulating rhodopsin phosphorylation. Recently, it has been found that autoantibodies against recoverin (24 kDa) have been strongly associated with cancer -associated retinopathy (CAR) syndrome, a paraneoplastic disease of the retina. But functions of recoverin in cancer cells remain unknown.
实验方案
| Product Specific Protocols | |
|---|---|
| IF protocol for Recoverin antibody 10073-1-AP | Download protocol |
| IHC protocol for Recoverin antibody 10073-1-AP | Download protocol |
| IP protocol for Recoverin antibody 10073-1-AP | Download protocol |
| WB protocol for Recoverin antibody 10073-1-AP | Download protocol |
| Standard Protocols | |
|---|---|
| Click here to view our Standard Protocols |
发表文章
| Species | Application | Title |
|---|---|---|
iScience A Genetic modification that reduces ON-bipolar cells in hESC-derived retinas enhances functional integration after transplantation. | ||
iScience One-step induction of photoreceptor-like cells from human iPSCs by delivering transcription factors. | ||
iScience Identification of early-onset photoreceptor degeneration in transgenic mouse models of Alzheimer's disease. | ||
Sci Rep Preconditioning the Initial State of Feeder-free Human Pluripotent Stem Cells Promotes Self-formation of Three-dimensional Retinal Tissue. | ||
Sci Rep Microglia dynamics in retinitis pigmentosa model: formation of fundus whitening and autofluorescence as an indicator of activity of retinal degeneration. |






