验证数据展示
经过测试的应用
| Positive WB detected in | A549 cells, Calu-1 cells, HeLa cells, Jurkat cells |
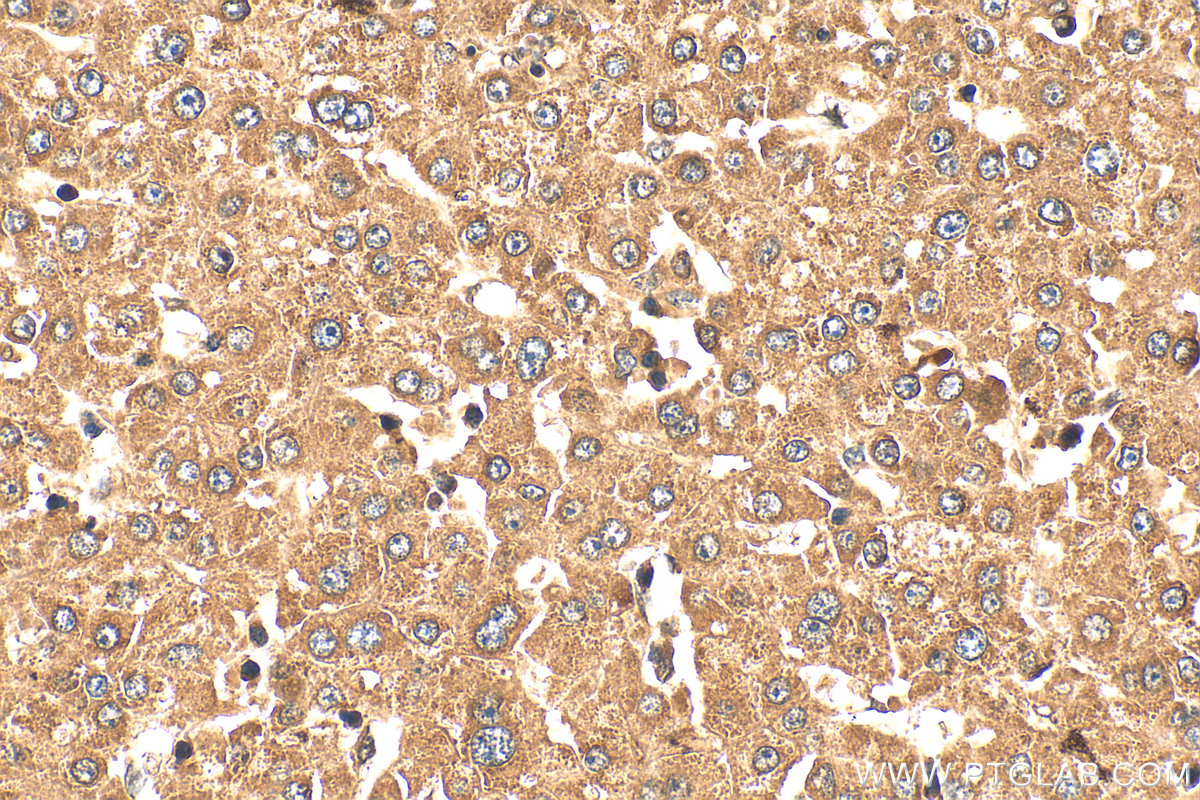
| Positive IHC detected in | human liver cancer tissue, human stomach tissue Note: suggested antigen retrieval with TE buffer pH 9.0; (*) Alternatively, antigen retrieval may be performed with citrate buffer pH 6.0 |
推荐稀释比
| 应用 | 推荐稀释比 |
|---|---|
| Western Blot (WB) | WB : 1:1000-1:8000 |
| Immunohistochemistry (IHC) | IHC : 1:50-1:500 |
| It is recommended that this reagent should be titrated in each testing system to obtain optimal results. | |
| Sample-dependent, Check data in validation data gallery. | |
产品信息
24446-1-AP targets RCCD1 in WB, IHC, ELISA applications and shows reactivity with human samples.
| 经测试应用 | WB, IHC, ELISA Application Description |
| 经测试反应性 | human |
| 免疫原 |
CatNo: Ag19685 Product name: Recombinant human RCCD1 protein Source: e coli.-derived, PET28a Tag: 6*His Domain: 1-376 aa of BC140708 Sequence: MAEERPGAWFGFGFCGFGQELGSGRGRQVHSPSPLRAGVDICRVSASWSYTAFVTRGGRLELSGSASGAAGRCKDAWASEGLLAVLRAGPGPEALLQVWAAESALRGEPLWAQNVVPEAEGEDDPAGEAQAGRLPLLPCARAYVSPRAPFYRPLAPELRARQLELGAEHALLLDAAGQVFSWGGGRHGQLGHGTLEAELEPRLLEALQGLVMAEVAAGGWHSVCVSETGDIYIWGWNESGQLALPTRNLAEDGETVAREATELNEDGSQVKRTGGAEDGAPAPFIAVQPFPALLDLPMGSDAVKASCGSRHTAVVTRTGELYTWGWGKYGQLGHEDTTSLDRPRRVEYFVDKQLQVKAVTCGPWNTYVYAVEKGKS 种属同源性预测 |
| 宿主/亚型 | Rabbit / IgG |
| 抗体类别 | Polyclonal |
| 产品类型 | Antibody |
| 全称 | RCC1 domain containing 1 |
| 别名 | RCC1 domain containing 1, RCC1 domain-containing protein 1 |
| 计算分子量 | 376 aa, 40 kDa |
| 观测分子量 | 40 kDa |
| GenBank蛋白编号 | BC140708 |
| 基因名称 | RCCD1 |
| Gene ID (NCBI) | 91433 |
| RRID | AB_3085734 |
| 偶联类型 | Unconjugated |
| 形式 | Liquid |
| 纯化方式 | Antigen affinity purification |
| UNIPROT ID | A6NED2 |
| 储存缓冲液 | PBS with 0.02% sodium azide and 50% glycerol, pH 7.3. |
| 储存条件 | Store at -20°C. Stable for one year after shipment. Aliquoting is unnecessary for -20oC storage. |
背景介绍
RCCD1 is a new member of the large, phylogenetically conserved, RCC1 superfamily. Many RCC1 superfamily proteins have been linked to several human diseases, including cancer. RCCD1 was reported as a partner of histone H3K36 demethylase KDM8 involved in chromosome segregation, and has been identified as a potential driver for breast cancer. RCCD1 plays a role in regulating alpha-tubulin deacetylation and cytoskeletal microtubule stability, thereby promoting cell migration and TGF-beta-induced epithelial-to-mesenchymal transition (EMT), potentially through the inhibition of KDM8.
实验方案
| Product Specific Protocols | |
|---|---|
| IHC protocol for RCCD1 antibody 24446-1-AP | Download protocol |
| WB protocol for RCCD1 antibody 24446-1-AP | Download protocol |
| Standard Protocols | |
|---|---|
| Click here to view our Standard Protocols |



