验证数据展示
经过测试的应用
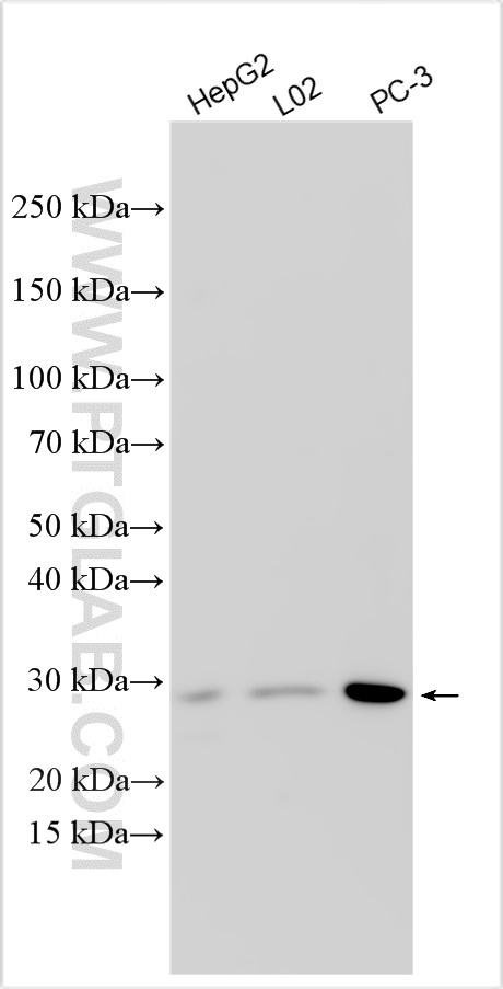
| Positive WB detected in | HepG2 cells, LNCaP cells, L02 cells, PC-3 cells, U2OS cells |
推荐稀释比
| 应用 | 推荐稀释比 |
|---|---|
| Western Blot (WB) | WB : 1:500-1:2000 |
| It is recommended that this reagent should be titrated in each testing system to obtain optimal results. | |
| Sample-dependent, Check data in validation data gallery. | |
产品信息
32971-1-AP targets RBPMS2 in WB, ELISA applications and shows reactivity with human samples.
| 经测试应用 | WB, ELISA Application Description |
| 经测试反应性 | human |
| 免疫原 |
CatNo: Ag37616 Product name: Recombinant human RBPMS2 protein Source: e coli.-derived, PGEX-4T Tag: GST Domain: 115-207 aa of NM_194272 Sequence: SKLMATPNPSNVHPALGAHFIARDPYDLMGAALIPASPEAWAPYPLYTTELTPAISHAAFTYPTATAAAAALHAQVRWYPSSDTTQQGWKYRQFC 种属同源性预测 |
| 宿主/亚型 | Rabbit / IgG |
| 抗体类别 | Polyclonal |
| 产品类型 | Antibody |
| 全称 | RNA binding protein with multiple splicing 2 |
| 别名 | RNA binding protein, mRNA processing factor 2, RNA-binding protein with multiple splicing 2 |
| 计算分子量 | 22 kDa |
| 观测分子量 | 24 kDa, 26-29 kDa |
| GenBank蛋白编号 | NM_194272 |
| 基因名称 | RBPMS2 |
| Gene ID (NCBI) | 348093 |
| RRID | AB_3742809 |
| 偶联类型 | Unconjugated |
| 形式 | Liquid |
| 纯化方式 | Antigen affinity Purification |
| UNIPROT ID | Q6ZRY4 |
| 储存缓冲液 | PBS with 0.02% sodium azide and 50% glycerol, pH 7.3. |
| 储存条件 | Store at -20°C. Stable for one year after shipment. Aliquoting is unnecessary for -20oC storage. |
背景介绍
RBPMS2 (RNA binding protein with multiple splicing 2) is an RNA binding protein, and its encoded protein is rich in RNA binding motifs, belonging to the family of RNA binding motifs, and has an RNA recognition motif (RRM) domain, which can bind with RNA molecules and participate in RNA regulation. RBPMS2 is abundant in myocardial cells and plays an important role in the development and function of myocardium. It can regulate the differentiation and proliferation of myocardial cells and maintain the normal function of myocardial cells. In gastric cancer, the expression level of RBPMS2 is related to lymph node metastasis, which can be used as a biomarker to predict the prognosis of gastric cancer.
实验方案
| Product Specific Protocols | |
|---|---|
| WB protocol for RBPMS2 antibody 32971-1-AP | Download protocol |
| Standard Protocols | |
|---|---|
| Click here to view our Standard Protocols |

