验证数据展示
经过测试的应用
| Positive WB detected in | HEK-293 cells, mouse adipose tissue |
| Positive IP detected in | HEK-293 cells |
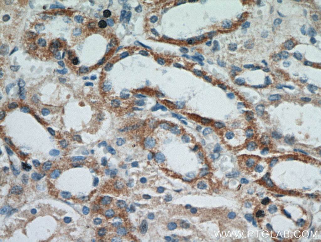
| Positive IHC detected in | human colon cancer tissue, human kidney tissue Note: suggested antigen retrieval with TE buffer pH 9.0; (*) Alternatively, antigen retrieval may be performed with citrate buffer pH 6.0 |
| Positive IF-P detected in | human kidney tissue, human colon cancer tissue |
| Positive IF/ICC detected in | HEK-293 cells |
推荐稀释比
| 应用 | 推荐稀释比 |
|---|---|
| Western Blot (WB) | WB : 1:500-1:2000 |
| Immunoprecipitation (IP) | IP : 0.5-4.0 ug for 1.0-3.0 mg of total protein lysate |
| Immunohistochemistry (IHC) | IHC : 1:200-1:800 |
| Immunofluorescence (IF)-P | IF-P : 1:50-1:500 |
| Immunofluorescence (IF)/ICC | IF/ICC : 1:50-1:500 |
| It is recommended that this reagent should be titrated in each testing system to obtain optimal results. | |
| Sample-dependent, Check data in validation data gallery. | |
发表文章中的应用
| WB | See 1 publications below |
| IHC | See 1 publications below |
产品信息
14541-1-AP targets RBP7 in WB, IHC, IF/ICC, IF-P, IP, ELISA applications and shows reactivity with human, mouse samples.
| 经测试应用 | WB, IHC, IF/ICC, IF-P, IP, ELISA Application Description |
| 文献引用应用 | WB, IHC |
| 经测试反应性 | human, mouse |
| 文献引用反应性 | human |
| 免疫原 |
CatNo: Ag6045 Product name: Recombinant human RBP7 protein Source: e coli.-derived, PGEX-4T Tag: GST Domain: 1-134 aa of BC063013 Sequence: MPADLSGTWTLLSSDNFEGYMLALGIDFATRKIAKLLKPQKVIEQNGDSFTIHTNSSLRNYFVKFKVGEEFDEDNRGLDNRKCKSLVIWDNDRLTCIQKGEKKNRGWTHWIEGDKLHLEMFCEGQVCKQTFQRA 种属同源性预测 |
| 宿主/亚型 | Rabbit / IgG |
| 抗体类别 | Polyclonal |
| 产品类型 | Antibody |
| 全称 | retinol binding protein 7, cellular |
| 别名 | CRBP4, CRABP-IV, CRABP4, CRABP IV, Cellular retinoic acid-binding protein IV |
| 计算分子量 | 15.5 kDa |
| 观测分子量 | 15-18 kDa |
| GenBank蛋白编号 | BC063013 |
| 基因名称 | RBP7 |
| Gene ID (NCBI) | 116362 |
| RRID | AB_2179293 |
| 偶联类型 | Unconjugated |
| 形式 | Liquid |
| 纯化方式 | Antigen affinity purification |
| UNIPROT ID | Q96R05 |
| 储存缓冲液 | PBS with 0.02% sodium azide and 50% glycerol, pH 7.3. |
| 储存条件 | Store at -20°C. Stable for one year after shipment. Aliquoting is unnecessary for -20oC storage. |
实验方案
| Product Specific Protocols | |
|---|---|
| IF protocol for RBP7 antibody 14541-1-AP | Download protocol |
| IHC protocol for RBP7 antibody 14541-1-AP | Download protocol |
| IP protocol for RBP7 antibody 14541-1-AP | Download protocol |
| WB protocol for RBP7 antibody 14541-1-AP | Download protocol |
| Standard Protocols | |
|---|---|
| Click here to view our Standard Protocols |
发表文章
| Species | Application | Title |
|---|---|---|
Cancer Cell Int RBP7 functions as a tumor suppressor in HR + breast cancer by inhibiting the AKT/SREBP1 pathway and reducing fatty acid | ||
Cancers (Basel) Integrated Pan-Cancer Analysis and Experimental Verification of the Roles of Retinoid-Binding Proteins in Breast Cancer. |








