验证数据展示
经过测试的应用
| Positive WB detected in | human blood, HepG2 cells, human plasma |
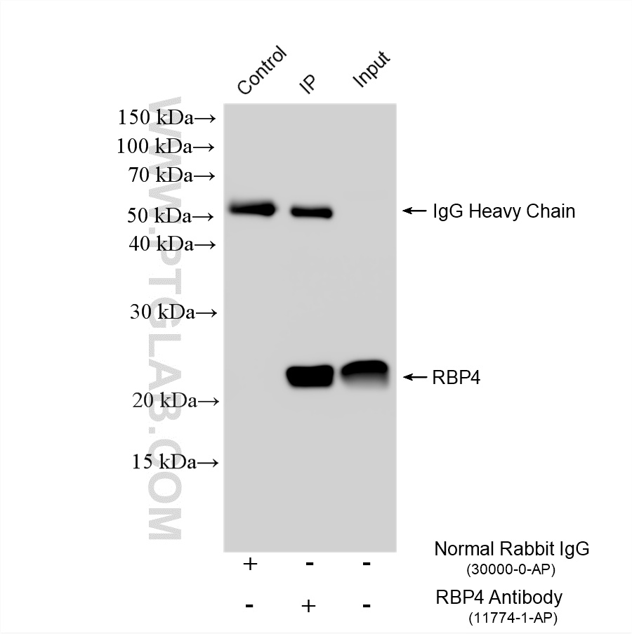
| Positive IP detected in | HepG2 cells |
| Positive IHC detected in | mouse eye tissue, human liver cancer tissue, mouse liver tissue Note: suggested antigen retrieval with TE buffer pH 9.0; (*) Alternatively, antigen retrieval may be performed with citrate buffer pH 6.0 |
| Positive IF-P detected in | mouse eye tissue |
| Positive IF/ICC detected in | HepG2 cells |
推荐稀释比
| 应用 | 推荐稀释比 |
|---|---|
| Western Blot (WB) | WB : 1:1000-1:6000 |
| Immunoprecipitation (IP) | IP : 0.5-4.0 ug for 1.0-3.0 mg of total protein lysate |
| Immunohistochemistry (IHC) | IHC : 1:250-1:1000 |
| Immunofluorescence (IF)-P | IF-P : 1:50-1:500 |
| Immunofluorescence (IF)/ICC | IF/ICC : 1:187-1:750 |
| It is recommended that this reagent should be titrated in each testing system to obtain optimal results. | |
| Sample-dependent, Check data in validation data gallery. | |
产品信息
11774-1-AP targets RBP4 in WB, IHC, IF/ICC, IF-P, IP, CoIP, ELISA applications and shows reactivity with human, mouse, rat samples.
| 经测试应用 | WB, IHC, IF/ICC, IF-P, IP, ELISA Application Description |
| 文献引用应用 | WB, IHC, IF, CoIP |
| 经测试反应性 | human, mouse, rat |
| 文献引用反应性 | human, mouse, rat, pig, geese, camelus bactrianus |
| 免疫原 |
CatNo: Ag2448 Product name: Recombinant human RBP4 protein Source: e coli.-derived, PGEX-4T Tag: GST Domain: 1-201 aa of BC020633 Sequence: MKWVWALFLLAALGSGRAERDCRVSSFRVKENFDKARFSGTWYAMAKKDPEGLFLQDNIVAEFSVDETGQMSATAKGRVRLLNNWDVCADMVGTFTDTEDPAKFKMKYWGVASFLQKGNDDHWIVDTDYDTYAVQYSCRLLNLDGTCADSYSFVFSRDPNGLPPEAQKIVRQRQEELCLARQYRLIVHNGYCDGRSERNLL 种属同源性预测 |
| 宿主/亚型 | Rabbit / IgG |
| 抗体类别 | Polyclonal |
| 产品类型 | Antibody |
| 全称 | retinol binding protein 4, plasma |
| 别名 | Plasma retinol binding protein, Plasma retinol-binding protein, Plasma retinol-binding protein(1-176), Plasma retinol-binding protein(1-179), Plasma retinol-binding protein(1-181) |
| 计算分子量 | 201 aa, 23 kDa |
| 观测分子量 | 23 kDa |
| GenBank蛋白编号 | BC020633 |
| 基因名称 | RBP4 |
| Gene ID (NCBI) | 5950 |
| RRID | AB_2252700 |
| 偶联类型 | Unconjugated |
| 形式 | Liquid |
| 纯化方式 | Antigen affinity purification |
| UNIPROT ID | P02753 |
| 储存缓冲液 | PBS with 0.02% sodium azide and 50% glycerol, pH 7.3. |
| 储存条件 | Store at -20°C. Stable for one year after shipment. Aliquoting is unnecessary for -20oC storage. |
背景介绍
RBP4 (retinol-binding protein 4) is a carrier protein that transports vitamin A (retinol) from the liver to the peripheral tissues. Synthesized primarily by hepatocytes and adipocytes as a 21 kDa non-glycosylated protein, RBP4 is secreted into the circulation as a retinol-RBP4 complex. In plasma the RBP4-retinol complex is bound to transthyretin (TRR), which prevents kidney filtration. Two truncated forms of RBP4, RBP4-L (truncated at Leu-183) and RBP4-LL (truncated at Leu-182 and Leu-183), exist by proteolytic process. RBP4-L and RBP4-LL, which do not bind TTR, are normally excreted into the urine but accumulate in the serum during renal failure. Urinary RBP4 has been reported as marker for glomerular disease. RBP4 also was identified as an adipokine that elevated in some INS-resistant states. Measurement of serum RBP4 could be used to assess the risk of INS resistance, type 2 diabetes, obesity, and cardiovascular disease. (18752671, 16034410)
实验方案
| Product Specific Protocols | |
|---|---|
| IF protocol for RBP4 antibody 11774-1-AP | Download protocol |
| IHC protocol for RBP4 antibody 11774-1-AP | Download protocol |
| IP protocol for RBP4 antibody 11774-1-AP | Download protocol |
| WB protocol for RBP4 antibody 11774-1-AP | Download protocol |
| Standard Protocols | |
|---|---|
| Click here to view our Standard Protocols |
发表文章
| Species | Application | Title |
|---|---|---|
J Neuroinflammation Succinate-induced macrophage polarization and RBP4 secretion promote vascular sprouting in ocular neovascularization | ||
Bioact Mater Bio-inspired chiral self-assemblies promoted neuronal differentiation of retinal progenitor cells through activation of metabolic pathway. | ||
Theranostics Growth hormone receptor disrupts glucose homeostasis via promoting and stabilizing retinol binding protein 4. | ||
Metabolism Disruption of retinoid homeostasis induces RBP4 overproduction in diabetes: O-GlcNAcylation involved. | ||
Virulence Altering retinol binding protein 4 levels in hepatitis C: Inflammation and steatosis matter. |













