验证数据展示
经过测试的应用
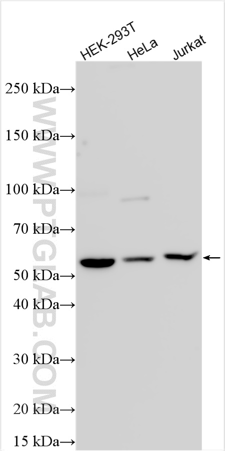
| Positive WB detected in | HEK-293T cells, HeLa cells, Jurkat cells |
推荐稀释比
| 应用 | 推荐稀释比 |
|---|---|
| Western Blot (WB) | WB : 1:5000-1:50000 |
| It is recommended that this reagent should be titrated in each testing system to obtain optimal results. | |
| Sample-dependent, Check data in validation data gallery. | |
产品信息
32834-1-AP targets RBM34 in WB, ELISA applications and shows reactivity with human samples.
| 经测试应用 | WB, ELISA Application Description |
| 经测试反应性 | human |
| 免疫原 |
CatNo: Ag37711 Product name: Recombinant human RBM34 protein Source: e coli.-derived, PGEX-4T Tag: GST Domain: 77-425 aa of BC029451 Sequence: TKRNEEEESTSQIERPLSQEPAKKVKAKKKHTNAEKKLADRESALASADLEEEIHQKQGQKRKNSQPGVKVADRKILDDTEDTVVSQRKKIQINQEEERLKNERTVFVGNLPVTCNKKKLKSFFKEYGQIESVRFRSLIPAEGTLSKKLAAIKRKIHPDQKNINAYVVFKEESAATQALKRNGAQIADGFRIRVDLASETSSRDKRSVFVGNLPYKVEESAIEKHFLDCGSIMAVRIVRDKMTGIGKGFGYVLFENTDSVHLALKLNNSELMGRKLRVMRSVNKEKFKQQNSNPRLKNVSKPKQGLNFTSKTAEGHPKSLFIGEKAVLLKTKKKGQKKSGRPKKQRKQK 种属同源性预测 |
| 宿主/亚型 | Rabbit / IgG |
| 抗体类别 | Polyclonal |
| 产品类型 | Antibody |
| 全称 | RNA binding motif protein 34 |
| 别名 | KIAA0117, RNA-binding motif protein 34, RNA-binding protein 34 |
| 计算分子量 | 430 aa, 49 kDa |
| 观测分子量 | 55 kDa |
| GenBank蛋白编号 | BC029451 |
| 基因名称 | RBM34 |
| Gene ID (NCBI) | 23029 |
| 偶联类型 | Unconjugated |
| 形式 | Liquid |
| 纯化方式 | Antigen affinity Purification |
| UNIPROT ID | P42696 |
| 储存缓冲液 | PBS with 0.02% sodium azide and 50% glycerol, pH 7.3. |
| 储存条件 | Store at -20°C. Stable for one year after shipment. Aliquoting is unnecessary for -20oC storage. |
实验方案
| Product Specific Protocols | |
|---|---|
| WB protocol for RBM34 antibody 32834-1-AP | Download protocol |
| Standard Protocols | |
|---|---|
| Click here to view our Standard Protocols |
