验证数据展示
经过测试的应用
| Positive WB detected in | HeLa cells, MCF-7 cells, mouse thymus tissue, rat thymus tissue |
| Positive IP detected in | MCF-7 cells |
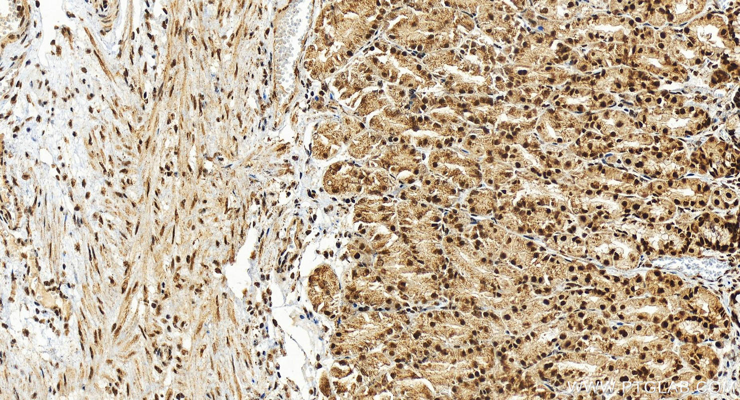
| Positive IHC detected in | human ovary cancer tissue, human stomach tissue Note: suggested antigen retrieval with TE buffer pH 9.0; (*) Alternatively, antigen retrieval may be performed with citrate buffer pH 6.0 |
推荐稀释比
| 应用 | 推荐稀释比 |
|---|---|
| Western Blot (WB) | WB : 1:1000-1:8000 |
| Immunoprecipitation (IP) | IP : 0.5-4.0 ug for 1.0-3.0 mg of total protein lysate |
| Immunohistochemistry (IHC) | IHC : 1:1000-1:4000 |
| It is recommended that this reagent should be titrated in each testing system to obtain optimal results. | |
| Sample-dependent, Check data in validation data gallery. | |
发表文章中的应用
| WB | See 1 publications below |
产品信息
15374-1-AP targets RBM17 in WB, IHC, IP, ELISA applications and shows reactivity with human, mouse, rat samples.
| 经测试应用 | WB, IHC, IP, ELISA Application Description |
| 文献引用应用 | WB |
| 经测试反应性 | human, mouse, rat |
| 文献引用反应性 | mouse |
| 免疫原 |
CatNo: Ag0985 Product name: Recombinant human RBM17 protein Source: e coli.-derived, PGEX-4T Tag: GST Domain: 1-308 aa of BC007871 Sequence: MSLYDDLGVETSDSKTEGWSKNFKLLQSQLQVKKAALTQAKSQRTKQSTVLAPVIDLKRGGSSDDRQIVDTPPHVAAGLKDPVPSGFSAGEVLIPLADEYDPMFPNDYEKVVKRQREERQRQRELERQKEIEEREKRRKDRHEASGFARRPDPDSDEDEDYERERRKRSMGGAAIAPPTSLVEKDKELPRDFPYEEDSRPRSQSSKAAIPPPVYEEQDRPRSPTGPSNSFLANMGGTVAHKIMQKYGFREGQGLGKHEQGLSTALSVEKTSKRGGKIIVGDATEKDASKKSDSNPLTEILKCPTKVVL 种属同源性预测 |
| 宿主/亚型 | Rabbit / IgG |
| 抗体类别 | Polyclonal |
| 产品类型 | Antibody |
| 全称 | RNA binding motif protein 17 |
| 别名 | SPF45, SPF 45, RNA-binding motif protein 17, RBM 17, 45 kDa-splicing factor |
| 计算分子量 | 45 kDa |
| 观测分子量 | 45 kDa |
| GenBank蛋白编号 | BC007871 |
| 基因名称 | RBM17 |
| Gene ID (NCBI) | 84991 |
| RRID | AB_2175914 |
| 偶联类型 | Unconjugated |
| 形式 | Liquid |
| 纯化方式 | Antigen affinity purification |
| UNIPROT ID | Q96I25 |
| 储存缓冲液 | PBS with 0.02% sodium azide and 50% glycerol, pH 7.3. |
| 储存条件 | Store at -20°C. Stable for one year after shipment. Aliquoting is unnecessary for -20oC storage. |
背景介绍
RNA-binding motif protein 17 (RBM17), also named splicing factor 45, was first identified as a member of the spliceosome. RBM17 expression is low in normal tissues but is overexpressed in several forms of cancer, including breast, ovarian and prostate.
实验方案
| Product Specific Protocols | |
|---|---|
| IHC protocol for RBM17 antibody 15374-1-AP | Download protocol |
| IP protocol for RBM17 antibody 15374-1-AP | Download protocol |
| WB protocol for RBM17 antibody 15374-1-AP | Download protocol |
| Standard Protocols | |
|---|---|
| Click here to view our Standard Protocols |




