验证数据展示
经过测试的应用
| Positive WB detected in | HeLa cells, A549 cells, MCF-7 cells, MDA-MB-231 cells |
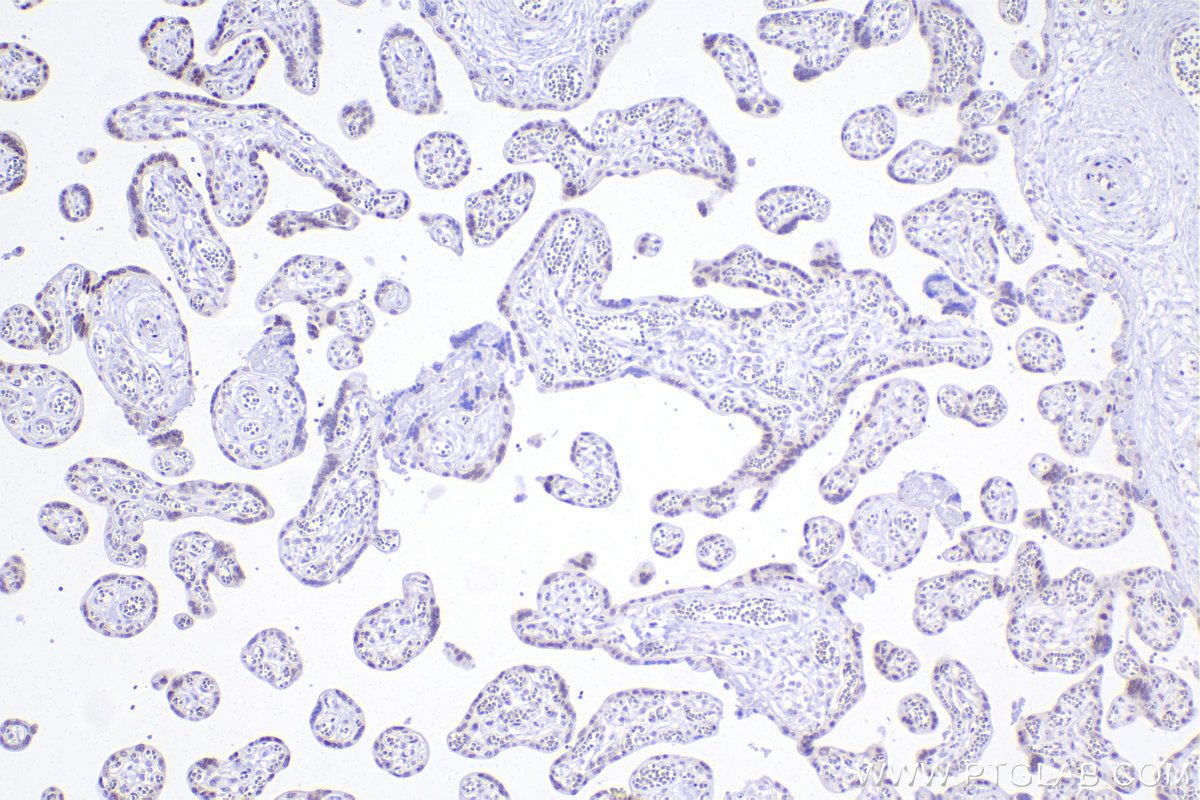
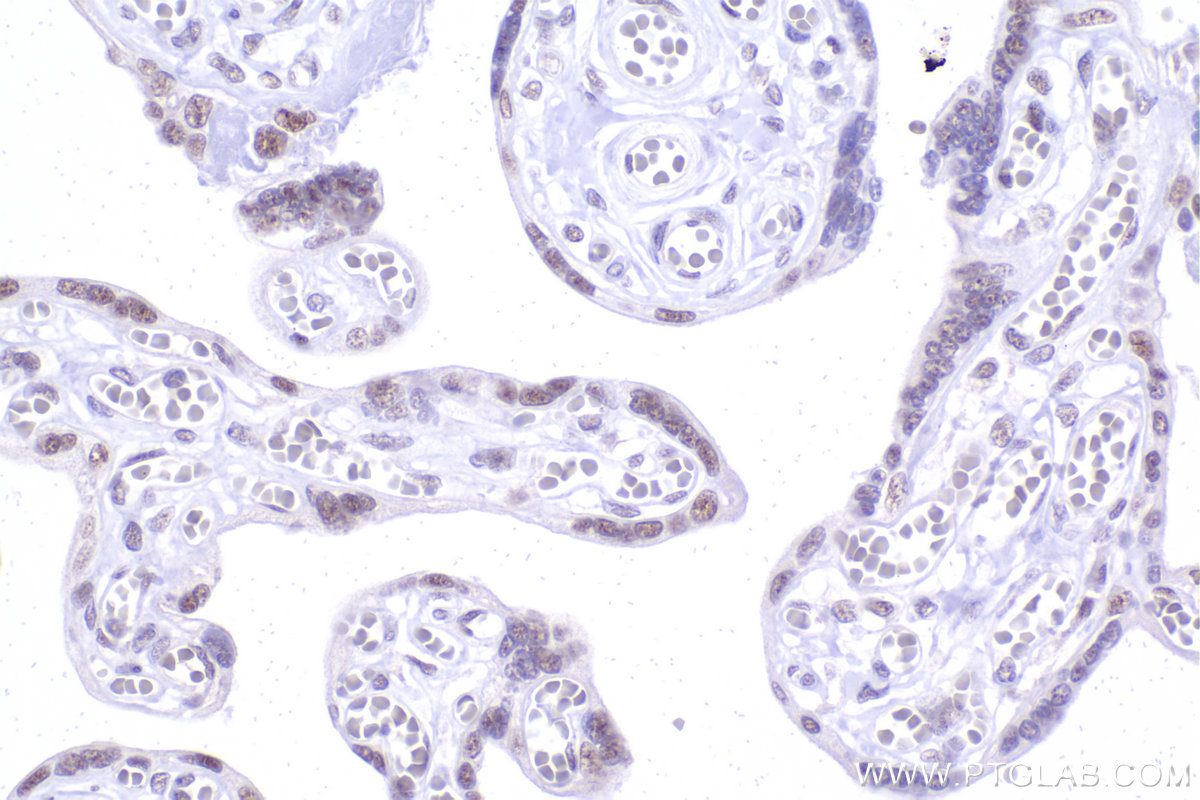
| Positive IHC detected in | mouse brain tissue, human placenta tissue Note: suggested antigen retrieval with TE buffer pH 9.0; (*) Alternatively, antigen retrieval may be performed with citrate buffer pH 6.0 |
| Positive IF/ICC detected in | A431 cells |
| Positive FC (Intra) detected in | A431 cells |
推荐稀释比
| 应用 | 推荐稀释比 |
|---|---|
| Western Blot (WB) | WB : 1:1000-1:8000 |
| Immunohistochemistry (IHC) | IHC : 1:200-1:800 |
| Immunofluorescence (IF)/ICC | IF/ICC : 1:200-1:800 |
| Flow Cytometry (FC) (INTRA) | FC (INTRA) : 0.25 ug per 10^6 cells in a 100 µl suspension |
| It is recommended that this reagent should be titrated in each testing system to obtain optimal results. | |
| Sample-dependent, Check data in validation data gallery. | |
产品信息
84104-2-RR targets RBM10 in WB, IHC, IF/ICC, FC (Intra), ELISA applications and shows reactivity with human, mouse, rat samples.
| 经测试应用 | WB, IHC, IF/ICC, FC (Intra), ELISA Application Description |
| 经测试反应性 | human, mouse, rat |
| 免疫原 |
CatNo: Ag5788 Product name: Recombinant human RBM10 protein Source: e coli.-derived, PGEX-4T Tag: GST Domain: 601-930 aa of BC024153 Sequence: QSQQYLYWDGERRTYVPALEQSADGHKETGAPSKEGKEKKEKHKTKTAQQIAKDMERWARSLNKQKENFKNSFQPISSLRDDERRESATADAGYAILEKKGALAERQHTSMDLPKLASDDRPSPPRGLVAAYSGESDSEEEQERGGPEREEKLTDWQKLACLLCRRQFPSKEALIRHQQLSGLHKQNLEIHRRAHLSENELEALEKNDMEQMKYRDRAAERREKYGIPEPPEPKRRKYGGISTASVDFEQPTRDGLGSDNIGSRMLQAMGWKEGSGLGRKKQGIVTPIEAQTRVRGSGLGARGSSYGVTSTESYKETLHKTMVTRFNEAQ 种属同源性预测 |
| 宿主/亚型 | Rabbit / IgG |
| 抗体类别 | Recombinant |
| 产品类型 | Antibody |
| 全称 | RNA binding motif protein 10 |
| 别名 | 241151D7, DXS8237E, G patch domain-containing protein 9, GPATC9, GPATCH9 |
| 计算分子量 | 104 kDa |
| 观测分子量 | 100-120 kDa |
| GenBank蛋白编号 | BC024153 |
| 基因名称 | RBM10 |
| Gene ID (NCBI) | 8241 |
| RRID | AB_3671670 |
| 偶联类型 | Unconjugated |
| 形式 | Liquid |
| 纯化方式 | Protein A purification |
| UNIPROT ID | P98175 |
| 储存缓冲液 | PBS with 0.02% sodium azide and 50% glycerol, pH 7.3. |
| 储存条件 | Store at -20°C. Stable for one year after shipment. Aliquoting is unnecessary for -20oC storage. |
背景介绍
RBM10, also named as RNA-binding protein 10, is a 930 amino acid protein, which is in the extranucleolar nucleoplasm constitutes hundreds of nuclear domains, which dynamically change their structures in a reversible manner. RBM10 may be involved in post-transcriptional processing, most probably in mRNA splicing. RBM10 has some isoforms with MV 100-130 kDa (PMID: 25889998 and PMID: 18315527) .
实验方案
| Product Specific Protocols | |
|---|---|
| IF protocol for RBM10 antibody 84104-2-RR | Download protocol |
| IHC protocol for RBM10 antibody 84104-2-RR | Download protocol |
| WB protocol for RBM10 antibody 84104-2-RR | Download protocol |
| Standard Protocols | |
|---|---|
| Click here to view our Standard Protocols |










