验证数据展示
经过测试的应用
| Positive WB detected in | A549 cells |
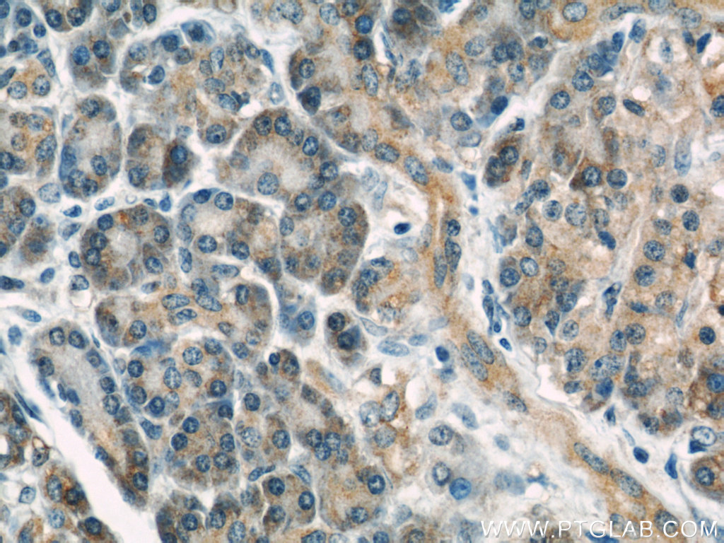
| Positive IHC detected in | human pancreas cancer tissue, human pancreas tissue Note: suggested antigen retrieval with TE buffer pH 9.0; (*) Alternatively, antigen retrieval may be performed with citrate buffer pH 6.0 |
| Positive IF/ICC detected in | Hela cells |
推荐稀释比
| 应用 | 推荐稀释比 |
|---|---|
| Western Blot (WB) | WB : 1:500-1:1000 |
| Immunohistochemistry (IHC) | IHC : 1:50-1:500 |
| Immunofluorescence (IF)/ICC | IF/ICC : 1:10-1:100 |
| It is recommended that this reagent should be titrated in each testing system to obtain optimal results. | |
| Sample-dependent, Check data in validation data gallery. | |
产品信息
66015-1-Ig targets RBBP9 in WB, IF, IHC, ELISA applications and shows reactivity with human samples.
| 经测试应用 | WB, IF, IHC, ELISA Application Description |
| 经测试反应性 | human |
| 免疫原 |
CatNo: Ag17864 Product name: Recombinant human RBBP9 protein Source: e coli.-derived, PET28a Tag: 6*His Domain: 1-186 aa of BC015938 Sequence: MASPSKAVIVPGNGGGDVTTHGWYGWVKKELEKIPGFQCLAKNMPDPITARESIWLPFMETELHCDEKTIIIGHSSGAIAAMRYAETHRVYAIVLVSAYTSDLGDENERASGYFTRPWQWEKIKANCPYIVQFGSTDDPFLPWKEQQEVADRLETKLHKFTDCGHFQNTEFHELITVVKSLLKVPA 种属同源性预测 |
| 宿主/亚型 | Mouse / IgG2b |
| 抗体类别 | Monoclonal |
| 产品类型 | Antibody |
| 全称 | retinoblastoma binding protein 9 |
| 别名 | RBBP9 |
| 计算分子量 | 186 aa, 21 kDa |
| 观测分子量 | 22 kDa |
| GenBank蛋白编号 | BC015938 |
| 基因名称 | RBBP9 |
| Gene ID (NCBI) | 10741 |
| 偶联类型 | Unconjugated |
| 形式 | Liquid |
| 纯化方式 | Protein A purification |
| UNIPROT ID | O75884 |
| 储存缓冲液 | PBS with 0.02% sodium azide and 50% glycerol, pH 7.3. |
| 储存条件 | Store at -20°C. Stable for one year after shipment. Aliquoting is unnecessary for -20oC storage. |
背景介绍
RBBP9, also named as BOG, RBBP10, RBBP-9, RBBP-10 and Protein BOG, belongs to the RBBP9 family. It may play a role in the transformation process due to its capacity to confer resistance to the growth-inhibitory effects of TGF-β1 through interaction with retinoblastoma and the subsequent displacement of E2F-1. RBBP9 is a tumor-associated serine hydrolase activity required for pancreatic neoplasia. It mediates suppression of TGF-β signaling is required for E-cadherin expression as loss of the serine hydrolase activity leads to a reduction in E-cadherin levels and a concomitant decrease in the integrity of tumor cell–cell junctions..RBBP9 protein levels were equivalent in paired primary tumor and nonneoplastic specimens(PMID:20080647)
实验方案
| Product Specific Protocols | |
|---|---|
| IF protocol for RBBP9 antibody 66015-1-Ig | Download protocol |
| IHC protocol for RBBP9 antibody 66015-1-Ig | Download protocol |
| WB protocol for RBBP9 antibody 66015-1-Ig | Download protocol |
| Standard Protocols | |
|---|---|
| Click here to view our Standard Protocols |





