验证数据展示
经过测试的应用
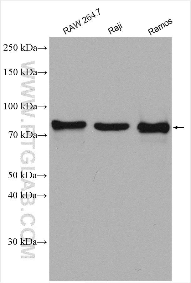
| Positive WB detected in | RAW 264.7 cells, PC-3 cells, Raji cells, Ramos cells |
| Positive IP detected in | RAW 264.7 cells |
推荐稀释比
| 应用 | 推荐稀释比 |
|---|---|
| Western Blot (WB) | WB : 1:1000-1:6000 |
| Immunoprecipitation (IP) | IP : 0.5-4.0 ug for 1.0-3.0 mg of total protein lysate |
| It is recommended that this reagent should be titrated in each testing system to obtain optimal results. | |
| Sample-dependent, Check data in validation data gallery. | |
产品信息
13162-1-AP targets RASGRP3 in WB, IHC, IP, IP-MS, ELISA applications and shows reactivity with human, mouse samples.
| 经测试应用 | WB, IP, ELISA Application Description |
| 文献引用应用 | WB, IHC, IP-MS |
| 经测试反应性 | human, mouse |
| 文献引用反应性 | human |
| 免疫原 |
CatNo: Ag3810 Product name: Recombinant human RASGRP3 protein Source: e coli.-derived, PGEX-4T Tag: GST Domain: 342-690 aa of BC027849 Sequence: SLQNASHHLEPNMDLINLLTLSLDLYHTEDDIYKLSLVLEPRNSKSQPTSPTTPNKPVVPLEWALGVMPKPDPTVINKHIRKLVESVFRNYDHDHDGYISQEDFESIAANFPFLDSFCVLDKDQDGLISKDEMMAYFLRAKSQLHCKMGPGFIHNFQEMTYLKPTFCEHCAGFLWGIIKQGYKCKDCGANCHKQCKDLLVLACRRFARAPSLSSGHGSLPGSPSLPPAQDEVFEFPGVTAGHRDLDSRAITLVTGSSRKISVRLQRATTSQATQTEPVWSEAGWGDSGSHTFPKMKSKFHDKAAKDKGFAKWENEKPRVHAGVDVVDRGTEFELDQDEGEETRQDGEDG 种属同源性预测 |
| 宿主/亚型 | Rabbit / IgG |
| 抗体类别 | Polyclonal |
| 产品类型 | Antibody |
| 全称 | RAS guanyl releasing protein 3 (calcium and DAG-regulated) |
| 别名 | GRP3, KIAA0846, Ras guanyl releasing protein 3, RAS-GRP, RASGRP3 |
| 计算分子量 | 690 aa, 78 kDa |
| 观测分子量 | 70 kDa |
| GenBank蛋白编号 | BC027849 |
| 基因名称 | RASGRP3 |
| Gene ID (NCBI) | 25780 |
| RRID | AB_10640522 |
| 偶联类型 | Unconjugated |
| 形式 | Liquid |
| 纯化方式 | Antigen affinity purification |
| UNIPROT ID | Q8IV61 |
| 储存缓冲液 | PBS with 0.02% sodium azide and 50% glycerol, pH 7.3. |
| 储存条件 | Store at -20°C. Stable for one year after shipment. Aliquoting is unnecessary for -20oC storage. |
背景介绍
AS guanyl releasing protein 3 (RasGRP3) is a member of the RasGRP family and is able to promote guanine nucleotide exchange of Ha-Ras, R-Ras and Rap1 (PMID: 9582122). RasGRP3 is involved in a diverse range of important biological processes. RasGRP3 has emerged as an important mediator of signaling downstream from receptor coupled phosphoinositide turnover in B and T cells. Overexpression of RasGRP3 is commonly associated with many malignancies, such as pre-Bcell leukemia, Burkitt's lymphoma and natural killer-like T-cell leukemia. Recently, it has been reported that upregulation of RASGRP3 expression in prostate cancer correlates with aggressive capabilities and predicts biochemical recurrence after radical prostatectomy (PMID: 24418912).
实验方案
| Product Specific Protocols | |
|---|---|
| IHC protocol for RASGRP3 antibody 13162-1-AP | Download protocol |
| IP protocol for RASGRP3 antibody 13162-1-AP | Download protocol |
| WB protocol for RASGRP3 antibody 13162-1-AP | Download protocol |
| Standard Protocols | |
|---|---|
| Click here to view our Standard Protocols |
发表文章
| Species | Application | Title |
|---|---|---|
BMC Med Downregulation of AC092894.1 promotes oxaliplatin resistance in colorectal cancer via the USP3/AR/RASGRP3 axis
| ||
Am J Cancer Res A somatic mutation of RasGRP3 decreases Na+/I- symporter expression in metastases of radioactive iodine-refractory thyroid cancer by stimulating the Akt signaling pathway. | ||
Gene RasGRP3 controls cell proliferation and migration in papillary thyroid cancer by regulating the Akt-MDM2 pathway.
| ||
J Vet Sci Production and immunogenicity of chimeric virus-like particles containing the spike glycoprotein of infectious bronchitis virus. | ||
Prostate Cancer Prostatic Dis Upregulation of RASGRP3 expression in prostate cancer correlates with aggressive capabilities and predicts biochemical recurrence after radical prostatectomy. |





