验证数据展示
经过测试的应用
| Positive WB detected in | human plasma tissue |
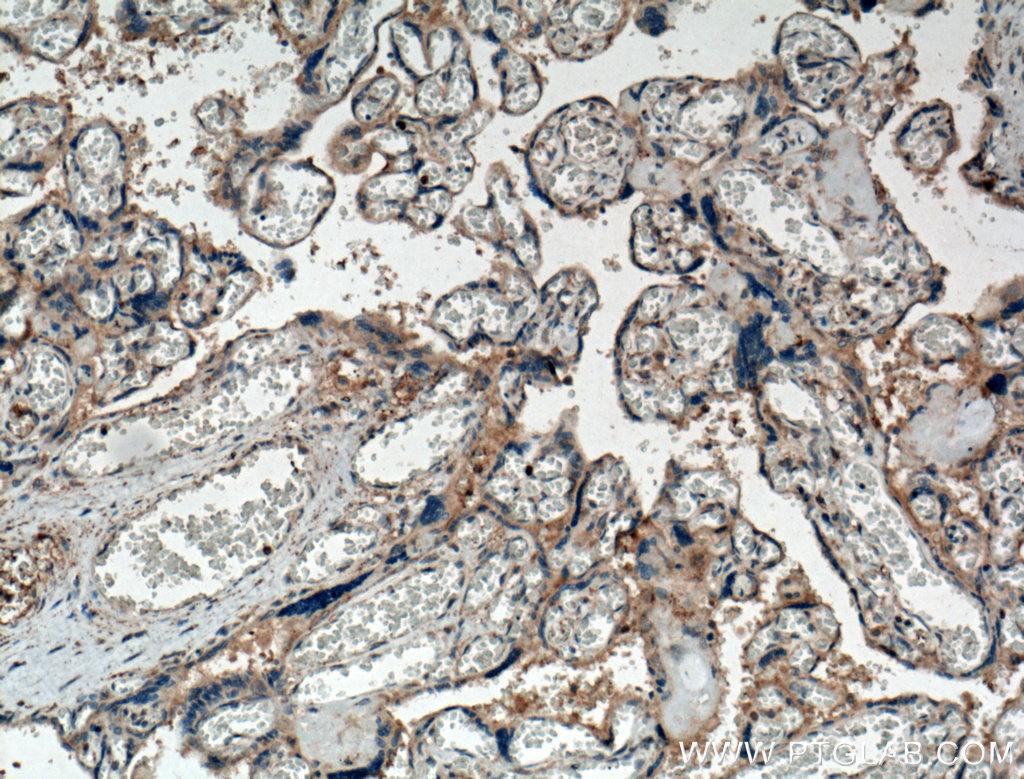
| Positive IHC detected in | human placenta tissue, mouse liver tissue Note: suggested antigen retrieval with TE buffer pH 9.0; (*) Alternatively, antigen retrieval may be performed with citrate buffer pH 6.0 |
Chemerin has low expression in most cells and tissues
推荐稀释比
| 应用 | 推荐稀释比 |
|---|---|
| Western Blot (WB) | WB : 1:200-1:1000 |
| Immunohistochemistry (IHC) | IHC : 1:50-1:500 |
| It is recommended that this reagent should be titrated in each testing system to obtain optimal results. | |
| Sample-dependent, Check data in validation data gallery. | |
产品信息
10216-1-AP targets Chemerin/RARRES2 in WB, IHC, IF, ELISA applications and shows reactivity with human, mouse samples.
| 经测试应用 | WB, IHC, ELISA Application Description |
| 文献引用应用 | WB, IHC, IF |
| 经测试反应性 | human, mouse |
| 文献引用反应性 | human, mouse |
| 免疫原 |
CatNo: Ag0261 Product name: Recombinant human RARRES2 protein Source: e coli.-derived, PGEX-4T Tag: GST Domain: 1-163 aa of BC000069 Sequence: MRRLLIPLALWLGAVGVGVAELTEAQRRGLQVALEEFHKHPPVQWAFQETSVESAVDTPFPAGIFVRLEFKLQQTSCRKRDWKKPECKVRPNGRKRKCLACIKLGSEDKVLGRLVHCPIETQVLREAEEHQETQCLRVQRAGEDPHSFYFPGQFAFSKALPRS 种属同源性预测 |
| 宿主/亚型 | Rabbit / IgG |
| 抗体类别 | Polyclonal |
| 产品类型 | Antibody |
| 全称 | retinoic acid receptor responder (tazarotene induced) 2 |
| 别名 | RARRES2, Tazarotene-induced gene 2 protein, RAR-responsive protein TIG2, RAR responsive protein TIG2, HP10433 |
| 计算分子量 | 163 aa, 19 kDa |
| 观测分子量 | 14-19 kDa |
| GenBank蛋白编号 | BC000069 |
| 基因名称 | RARRES2 |
| Gene ID (NCBI) | 5919 |
| RRID | AB_2269231 |
| 偶联类型 | Unconjugated |
| 形式 | Liquid |
| 纯化方式 | Antigen affinity purification |
| UNIPROT ID | Q99969 |
| 储存缓冲液 | PBS with 0.02% sodium azide and 50% glycerol, pH 7.3. |
| 储存条件 | Store at -20°C. Stable for one year after shipment. Aliquoting is unnecessary for -20oC storage. |
背景介绍
Chemerin, also named as TIG2 and RARRES2, is adipocyte-secreted protein (adipokine) that regulates adipogenesis, metabolism and inflammation through activation of the chemokine-like receptor 1 (CMKLR1). Its other ligands include G protein-coupled receptor 1 (GPR1) and chemokine receptor-like 2 (CCRL2). It positively regulates adipocyte differentiation, modulates the expression of adipocyte genes involved in lipid and glucose metabolism and might play a role in angiogenesis, a process essential for the expansion of white adipose tissue. RARRES2 have both pro- and anti-inflammatory properties depending on the modality of enzymatic cleavage by different classes of proteases. The MW of Chemerin is 14-19 kDa.
实验方案
| Product Specific Protocols | |
|---|---|
| IHC protocol for Chemerin/RARRES2 antibody 10216-1-AP | Download protocol |
| WB protocol for Chemerin/RARRES2 antibody 10216-1-AP | Download protocol |
| Standard Protocols | |
|---|---|
| Click here to view our Standard Protocols |
发表文章
| Species | Application | Title |
|---|---|---|
Mil Med Res RARRES2 regulates lipid metabolic reprogramming to mediate the development of brain metastasis in triple negative breast cancer | ||
Cancer Cell Int Targeting copper death genotyping associated gene RARRES2 suppresses glioblastoma progression and macrophages infiltration | ||
Front Pharmacol Targeting the chemerin/CMKLR1 axis by small molecule antagonist α-NETA mitigates endometriosis progression
| ||
Front Oncol Neutrophils Promote Tumor Progression in Oral Squamous Cell Carcinoma by Regulating EMT and JAK2/STAT3 Signaling Through Chemerin. | ||
J Zhejiang Univ Sci B Silencing of DsbA-L gene impairs the PPARγ agonist function of improving insulin resistance in a high-glucose cell model. | ||
Mol Med Assessing personalized molecular portraits underlying endothelial-to-mesenchymal transition within pulmonary arterial hypertension |




