验证数据展示
经过测试的应用
| Positive WB detected in | Jurkat cells |
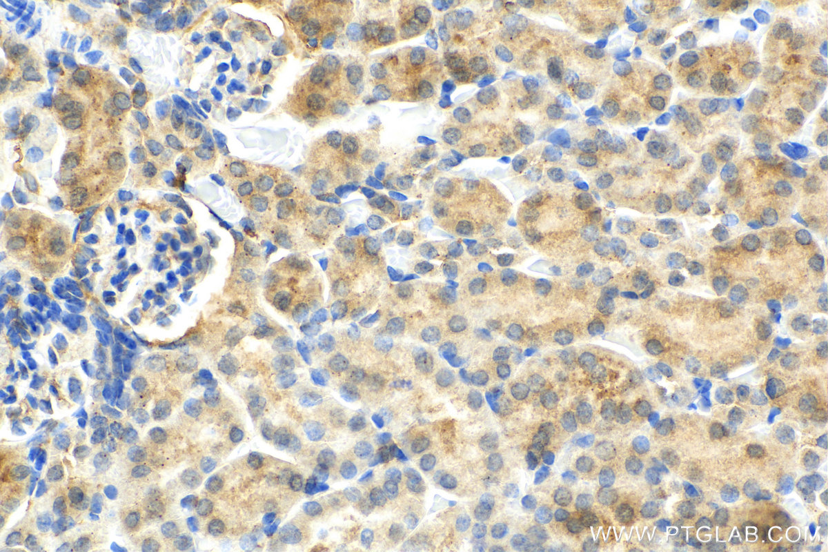
| Positive IHC detected in | mouse kidney tissue, mouse brain tissue Note: suggested antigen retrieval with TE buffer pH 9.0; (*) Alternatively, antigen retrieval may be performed with citrate buffer pH 6.0 |
推荐稀释比
| 应用 | 推荐稀释比 |
|---|---|
| Western Blot (WB) | WB : 1:500-1:3000 |
| Immunohistochemistry (IHC) | IHC : 1:50-1:500 |
| It is recommended that this reagent should be titrated in each testing system to obtain optimal results. | |
| Sample-dependent, Check data in validation data gallery. | |
发表文章中的应用
| WB | See 1 publications below |
| IF | See 1 publications below |
产品信息
17875-1-AP targets RANBP3L in WB, IHC, IF, ELISA applications and shows reactivity with human, mouse samples.
| 经测试应用 | WB, IHC, ELISA Application Description |
| 文献引用应用 | WB, IF |
| 经测试反应性 | human, mouse |
| 文献引用反应性 | human |
| 免疫原 |
CatNo: Ag11642 Product name: Recombinant human RANBP3L protein Source: e coli.-derived, PET28a Tag: 6*His Domain: 110-465 aa of BC047660 Sequence: SAEQGPVKHSKHVIRPAILQLPQARSCAKVRKTFGHKALESCKTKEKTNNKISEGNSYLLSENLSRARISVQLSTNQDFLGATSVGCQPNEDKCSFKSCSSNFVFGENMVERVLGTQKLTQPQLENDSYAKEKPFKSIPKFPVNFLSSRTDSIKNTSLIESAAAFSSQPSRKCLLEKIDVITGEETEHNVLKINCKLFIFNKTTQSWIERGRGTLRLNDTASTDCGTLQSRLIMRNQGSLRLILNSKLWAQMKIQRANHKNVRITATDLEDYSIKIFLIQASAQDTAYLYAAIHHRLVALQSFNKQRDVNQAESLSETAQQLNCESCDENEDDFIQVTKNGSDPSSWTHRQSVACS 种属同源性预测 |
| 宿主/亚型 | Rabbit / IgG |
| 抗体类别 | Polyclonal |
| 产品类型 | Antibody |
| 全称 | RAN binding protein 3-like |
| 别名 | RAN binding protein 3 like, RANBP3L |
| 计算分子量 | 465 aa, 52 kDa |
| 观测分子量 | 55 kDa |
| GenBank蛋白编号 | BC047660 |
| 基因名称 | RANBP3L |
| Gene ID (NCBI) | 202151 |
| RRID | AB_2284894 |
| 偶联类型 | Unconjugated |
| 形式 | Liquid |
| 纯化方式 | Antigen affinity purification |
| UNIPROT ID | Q86VV4 |
| 储存缓冲液 | PBS with 0.02% sodium azide and 50% glycerol, pH 7.3. |
| 储存条件 | Store at -20°C. Stable for one year after shipment. Aliquoting is unnecessary for -20oC storage. |
实验方案
| Product Specific Protocols | |
|---|---|
| IHC protocol for RANBP3L antibody 17875-1-AP | Download protocol |
| WB protocol for RANBP3L antibody 17875-1-AP | Download protocol |
| Standard Protocols | |
|---|---|
| Click here to view our Standard Protocols |
发表文章
| Species | Application | Title |
|---|---|---|
Cell Mol Biol Lett The novel tRNA-derived fragment, tiRNA-Met, inhibits the malignant progression of triple-negative breast cancer by regulating RANBP3L via a targeted interaction with SNRPA | ||
Cancer Rep (Hoboken) The Role of RANBP3L in Pan-Cancer With Its Significance in Hepatocellular Carcinoma. |






