验证数据展示
经过测试的应用
| Positive WB detected in | A375 cells, HEK-293 cells, HeLa cells, Jurkat cells, mouse kidney tissue, NIH/3T3 cells, rat kidney tissue |
| Positive IP detected in | mouse kidney tissue |
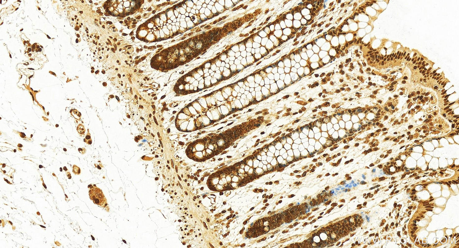
| Positive IHC detected in | human breast cancer tissue, human colon tissue, human placenta tissue, human testis tissue, mouse colon tissue, mouse testis tissue, rat colon tissue Note: suggested antigen retrieval with TE buffer pH 9.0; (*) Alternatively, antigen retrieval may be performed with citrate buffer pH 6.0 |
| Positive IF/ICC detected in | HEK-293 cells |
| Positive FC (Intra) detected in | HeLa cells, Jurkat cells |
推荐稀释比
| 应用 | 推荐稀释比 |
|---|---|
| Western Blot (WB) | WB : 1:2000-1:16000 |
| Immunoprecipitation (IP) | IP : 0.5-4.0 ug for 1.0-3.0 mg of total protein lysate |
| Immunohistochemistry (IHC) | IHC : 1:50-1:500 |
| Immunofluorescence (IF)/ICC | IF/ICC : 1:300-1:1200 |
| Flow Cytometry (FC) (INTRA) | FC (INTRA) : 0.25 ug per 10^6 cells in a 100 µl suspension |
| It is recommended that this reagent should be titrated in each testing system to obtain optimal results. | |
| Sample-dependent, Check data in validation data gallery. | |
产品信息
10469-1-AP targets RAN in WB, IHC, IF/ICC, IP, CoIP, ELISA applications and shows reactivity with human, mouse, rat samples.
| 经测试应用 | WB, IHC, IF/ICC, IP, ELISA Application Description |
| 文献引用应用 | WB, IHC, IF, IP, CoIP |
| 经测试反应性 | human, mouse, rat |
| 文献引用反应性 | human, mouse, rat, chicken, macrobrachium rosenbergii |
| 免疫原 |
CatNo: Ag0748 Product name: Recombinant human RAN protein Source: e coli.-derived, PGEX-4T Tag: GST Domain: 1-216 aa of BC004272 Sequence: MAAQGEPQVQFKLVLVGDGGTGKTTFVKRHLTGEFEKKYVATLGVEVHPLVFHTNRGPIKFNVWDTAGQEKFGGLRDGYYIQAQCAIIMFDVTSRVTYKNVPNWHRDLVRVCENIPIVLCGNKVDIKDRKVKAKSIVFHRKKNLQYYDISAKSNYNFEKPFLWLARKLIGDPNLEFVAMPALAPPEVVMDPALAAQYEHDLEVAQTTALPDEDDDL 种属同源性预测 |
| 宿主/亚型 | Rabbit / IgG |
| 抗体类别 | Polyclonal |
| 产品类型 | Antibody |
| 全称 | RAN, member RAS oncogene family |
| 别名 | ARA24, Androgen receptor-associated protein 24, EC:3.6.5.-, GTP binding nuclear protein Ran, GTPase Ran |
| 计算分子量 | 25 kDa |
| 观测分子量 | 24 kDa |
| GenBank蛋白编号 | BC004272 |
| 基因名称 | RAN |
| Gene ID (NCBI) | 5901 |
| RRID | AB_2176484 |
| 偶联类型 | Unconjugated |
| 形式 | Liquid |
| 纯化方式 | Antigen affinity purification |
| UNIPROT ID | P62826 |
| 储存缓冲液 | PBS with 0.02% sodium azide and 50% glycerol, pH 7.3. |
| 储存条件 | Store at -20°C. Stable for one year after shipment. Aliquoting is unnecessary for -20oC storage. |
实验方案
| Product Specific Protocols | |
|---|---|
| FC protocol for RAN antibody 10469-1-AP | Download protocol |
| IF protocol for RAN antibody 10469-1-AP | Download protocol |
| IHC protocol for RAN antibody 10469-1-AP | Download protocol |
| IP protocol for RAN antibody 10469-1-AP | Download protocol |
| WB protocol for RAN antibody 10469-1-AP | Download protocol |
| Standard Protocols | |
|---|---|
| Click here to view our Standard Protocols |
发表文章
| Species | Application | Title |
|---|---|---|
Adv Sci (Weinh) H3K36me3-Guided m6A Modification of Oncogenic L1CAM-AS1 Drives Macrophage Polarization and Immunotherapy Resistance in Hepatocellular Carcinoma | ||
Cell Death Dis RSL1D1 promotes the progression of colorectal cancer through RAN-mediated autophagy suppression.
| ||
Diabetologia Saturated fatty acids entrap PDX1 in stress granules and impede islet beta cell function. | ||
Cell Commun Signal Doublecortin undergo nucleocytoplasmic transport via the RanGTPase signaling to promote glioma progression. | ||
Oncotarget Identification of nasopharyngeal carcinoma metastasis-related biomarkers by iTRAQ combined with 2D-LC-MS/MS. | ||
Int J Biol Sci Lin28A Regulates Stem-like Properties of Ovarian Cancer Cells by Enriching RAN and HSBP1 mRNA and Up-regulating its Protein Expression.
|























