验证数据展示
经过测试的应用
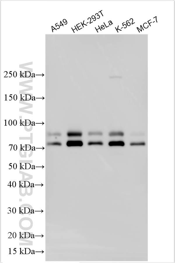
| Positive WB detected in | A549 cells, HeLa cells, K-562 cells, MCF-7 cells, HEK-293T cells |
| Positive IP detected in | K-562 cells |
| Positive IHC detected in | human ovary cancer tissue Note: suggested antigen retrieval with TE buffer pH 9.0; (*) Alternatively, antigen retrieval may be performed with citrate buffer pH 6.0 |
推荐稀释比
| 应用 | 推荐稀释比 |
|---|---|
| Western Blot (WB) | WB : 1:500-1:2000 |
| Immunoprecipitation (IP) | IP : 0.5-4.0 ug for 1.0-3.0 mg of total protein lysate |
| Immunohistochemistry (IHC) | IHC : 1:50-1:500 |
| It is recommended that this reagent should be titrated in each testing system to obtain optimal results. | |
| Sample-dependent, Check data in validation data gallery. | |
产品信息
18333-1-AP targets RAD18 in WB, IHC, IF, IP, ELISA applications and shows reactivity with human, mouse, rat samples.
| 经测试应用 | WB, IHC, IP, ELISA Application Description |
| 文献引用应用 | WB, IHC, IF, IP |
| 经测试反应性 | human, mouse, rat |
| 文献引用反应性 | human, mouse |
| 免疫原 |
CatNo: Ag12944 Product name: Recombinant human RAD18 protein Source: e coli.-derived, PET28a Tag: 6*His Domain: 1-495 aa of BC001302 Sequence: MDSLAESRWPPGLAVMKTIDDLLRCGICFEYFNIAMIIPQCSHNYCSLCIRKFLSYKTQCPTCCVTVTEPDLKNNRILDELVKSLNFARNHLLQFALESPAKSPASSSSKNLAVKVYTPVASRQSLKQGSRLMDNFLIREMSGSTSELLIKENKSKFSPQKEASPAAKTKETRSVEEIAPDPSEAKRPEPPSTSTLKQVTKVDCPVCGVNIPESHINKHLDSCLSREEKKESLRSSVHKRKPLPKTVYNLLSDRDLKKKLKEHGLSIQGNKQQLIKRHQEFVHMYNAQCDALHPKSAAEIVQEIENIEKTRMRLEASKLNESVMVFTKDQTEKEIDEIHSKYRKKHKSEFQLLVDQARKGYKKIAGMSQKTVTITKEDESTEKLSSVCMGQEDNMTSVTNHFSQSKLDSPEELEPDREEDSSSCIDIQEVLSSSESDSCNSSSSDIIRDLLEEEEAWEASHKNDLQDTEISPRQNRRTRAAESAEIEPRNKRNRN 种属同源性预测 |
| 宿主/亚型 | Rabbit / IgG |
| 抗体类别 | Polyclonal |
| 产品类型 | Antibody |
| 全称 | RAD18 homolog (S. cerevisiae) |
| 别名 | E3 ubiquitin-protein ligase RAD18, EC:2.3.2.27, hHR18, hRAD18, RING finger protein 73 |
| 计算分子量 | 56 kDa |
| 观测分子量 | 75 kDa, 85 kDa |
| GenBank蛋白编号 | BC001302 |
| 基因名称 | RAD18 |
| Gene ID (NCBI) | 56852 |
| RRID | AB_2176586 |
| 偶联类型 | Unconjugated |
| 形式 | Liquid |
| 纯化方式 | Antigen affinity purification |
| UNIPROT ID | Q9NS91 |
| 储存缓冲液 | PBS with 0.02% sodium azide and 50% glycerol, pH 7.3. |
| 储存条件 | Store at -20°C. Stable for one year after shipment. Aliquoting is unnecessary for -20oC storage. |
背景介绍
RAD18(E3 ubiquitin-protein ligase RAD18) is lalso named as RNF73, hHR18 and belongs to the RAD18 family. It is involved in postreplication repair of UV-damaged DNA. RAD18 protein is detected in human cells as two major bands at 75 and 85 kDa by Western blot. The bands are identified as nonubiquitinated and monoubiquitinated forms of Rad18, respectively(PMID: 15509568). Monoubiquitinated RAD18 is detected mainly in the cytoplasm, whereas nonubiquitinated RAD18 is detected predominantly in the nuclei(PMID:15509568). This antibody is specific to RAD18.
实验方案
| Product Specific Protocols | |
|---|---|
| WB protocol for RAD18 antibody 18333-1-AP | Download protocol |
| IHC protocol for RAD18 antibody 18333-1-AP | Download protocol |
| IP protocol for RAD18 antibody 18333-1-AP | Download protocol |
| Standard Protocols | |
|---|---|
| Click here to view our Standard Protocols |
发表文章
| Species | Application | Title |
|---|---|---|
Theranostics A feedforward circuit shaped by ECT2 and USP7 contributes to breast carcinogenesis. | ||
Cell Cycle A small ubiquitin binding domain inhibits ubiquitin-dependent protein recruitment to DNA repair foci. | ||
Mol Pharmacol DNA polymerase ζ is a major determinant of resistance to platinum-based chemotherapeutic agents. |







