验证数据展示
经过测试的应用
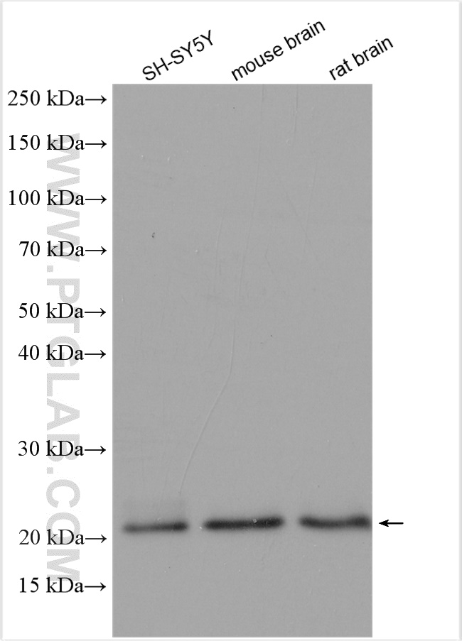
| Positive WB detected in | SH-SY5Y cells, human brain tissue, mouse brain tissue, rat brain tissue | 
| Positive IP detected in | mouse brain tissue | 
| Positive IHC detected in | mouse brain tissue Note: suggested antigen retrieval with TE buffer pH 9.0; (*) Alternatively, antigen retrieval may be performed with citrate buffer pH 6.0  | 
推荐稀释比
| 应用 | 推荐稀释比 | 
|---|---|
| Western Blot (WB) | WB : 1:2000-1:10000 | 
| Immunoprecipitation (IP) | IP : 0.5-4.0 ug for 1.0-3.0 mg of total protein lysate | 
| Immunohistochemistry (IHC) | IHC : 1:50-1:500 | 
| It is recommended that this reagent should be titrated in each testing system to obtain optimal results. | |
| Sample-dependent, Check data in validation data gallery. | |
产品信息
16117-1-AP targets RAC1/2/3 in WB, IHC, IP, ELISA applications and shows reactivity with human, mouse, rat samples.
| 经测试应用 | WB, IHC, IP, ELISA Application Description | 
| 文献引用应用 | WB, IP | 
| 经测试反应性 | human, mouse, rat | 
| 文献引用反应性 | human, mouse | 
| 免疫原 | 
                                             CatNo: Ag9045 Product name: Recombinant human RAC1/2/3 protein Source: e coli.-derived, PGEX-4T Tag: GST Domain: 1-192 aa of BC015197 Sequence: MQAIKCVVVGDGAVGKTCLLISYTTNAFPGEYIPTVFDNYSANVMVDGKPVNLGLWDTAGQEDYDRLRPLSYPQTDVFLICFSLVSPASFENVRAKWYPEVRHHCPHTPILLVGTKLDLRDDKDTIERLRDKKLAPITYPQGLAMAREIGSVKYLECSALTQRGLKTVFDEAIRAVLCPPPVKKPGKKCTVF 种属同源性预测 | 
                                    
| 宿主/亚型 | Rabbit / IgG | 
| 抗体类别 | Polyclonal | 
| 产品类型 | Antibody | 
| 全称 | ras-related C3 botulinum toxin substrate 3 (rho family, small GTP binding protein Rac3) | 
| 别名 | RAC3, Ras-related C3 botulinum toxin substrate 3, p21-Rac3, p21 Rac3, EC:3.6.5.2 | 
| 计算分子量 | 192 aa, 21 kDa | 
| 观测分子量 | 21 kDa | 
| GenBank蛋白编号 | BC015197 | 
| 基因名称 | RAC3 | 
| Gene ID (NCBI) | 5881 | 
| RRID | AB_2176154 | 
| 偶联类型 | Unconjugated | 
| 形式 | Liquid | 
| 纯化方式 | Antigen affinity purification | 
| UNIPROT ID | P60763 | 
| 储存缓冲液 | PBS with 0.02% sodium azide and 50% glycerol, pH 7.3. | 
| 储存条件 | Store at -20°C. Stable for one year after shipment. Aliquoting is unnecessary for -20oC storage. | 
背景介绍
Rac3 is a GTPase that belongs to the RAS superfamily of small GTP-binding proteins. Members of this superfamily appear to regulate a diverse array of cellular events, including the control of cell growth, cytoskeletal reorganization, and the activation of protein kinases. There are three Rac genes in mammals, which share over 90% protein identity but differ for their pattern of expression. Rac1 is ubiquitous, Rac2 is specific for hematopoietic cells, while Rac3 is prevalent in the developing nervous system. This antibody can recognize Rac1, Rac2, and Rac3.
实验方案
| Product Specific Protocols | |
|---|---|
| IHC protocol for RAC1/2/3 antibody 16117-1-AP | Download protocol | 
| IP protocol for RAC1/2/3 antibody 16117-1-AP | Download protocol | 
| WB protocol for RAC1/2/3 antibody 16117-1-AP | Download protocol | 
| Standard Protocols | |
|---|---|
| Click here to view our Standard Protocols | 
发表文章
| Species | Application | Title | 
|---|---|---|
Mol Cancer F-box protein complex FBXL19 regulates TGFβ1-induced E-cadherin down-regulation by mediating Rac3 ubiquitination and degradation. | ||
Front Cell Neurosci A Method to Culture GABAergic Interneurons Derived from the Medial Ganglionic Eminence.
  | ||
Mol Biol Cell Phosphorylated cortactin recruits Vav2 guanine nucleotide exchange factor to activate Rac3 and promote invadopodial function in invasive breast cancer cells.
  | ||
BMC Cancer Rac3 induces a molecular pathway triggering breast cancer cell aggressiveness: differences in MDA-MB-231 and MCF-7 breast cancer cell lines. | ||
Glycoconj J Gangliosides in the differentiation process of primary neurons: the specific role of GM1-oligosaccharide. | ||
Asian Pac J Cancer Prev Silencing of rac3 inhibits proliferation and induces apoptosis of human lung cancer cells.
  | 





