验证数据展示
经过测试的应用
| Positive WB detected in | A375 cells, NIH/3T3 cells, HaCaT cells, MCF-10A cells |
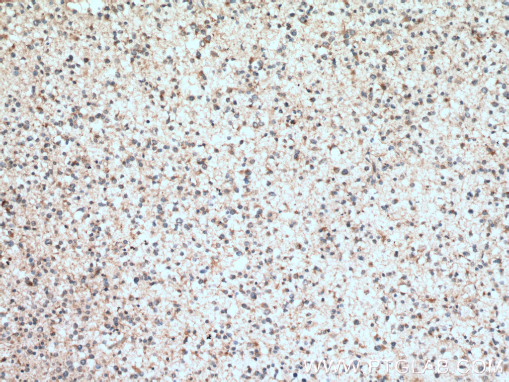
| Positive IHC detected in | human gliomas tissue, human lung tissue Note: suggested antigen retrieval with TE buffer pH 9.0; (*) Alternatively, antigen retrieval may be performed with citrate buffer pH 6.0 |
| Positive IF/ICC detected in | A549 cells |
推荐稀释比
| 应用 | 推荐稀释比 |
|---|---|
| Western Blot (WB) | WB : 1:500-1:2000 |
| Immunohistochemistry (IHC) | IHC : 1:50-1:500 |
| Immunofluorescence (IF)/ICC | IF/ICC : 1:50-1:500 |
| It is recommended that this reagent should be titrated in each testing system to obtain optimal results. | |
| Sample-dependent, Check data in validation data gallery. | |
发表文章中的应用
| WB | See 1 publications below |
| IF | See 2 publications below |
产品信息
12234-1-AP targets RAB38 in WB, IHC, IF/ICC, ELISA applications and shows reactivity with human, mouse samples.
| 经测试应用 | WB, IHC, IF/ICC, ELISA Application Description |
| 文献引用应用 | WB, IF |
| 经测试反应性 | human, mouse |
| 文献引用反应性 | human, mouse |
| 免疫原 |
CatNo: Ag2874 Product name: Recombinant human RAB38 protein Source: e coli.-derived, PGEX-4T Tag: GST Domain: 1-211 aa of BC015808 Sequence: MQAPHKEHLYKLLVIGDLGVGKTSIIKRYVHQNFSSHYRATIGVDFALKVLHWDPETVVRLQLWDIAGQERFGNMTRVYYREAMGAFIVFDVTRPATFEAVAKWKNDLDSKLSLPNGKPVSVVLLANKCDQGKDVLMNNGLKMDQFCKEHGFVGWFETSAKENINIDEASRCLVKHILANECDLMESIEPDVVKPHLTSTKVASCSGCAKS 种属同源性预测 |
| 宿主/亚型 | Rabbit / IgG |
| 抗体类别 | Polyclonal |
| 产品类型 | Antibody |
| 全称 | RAB38, member RAS oncogene family |
| 别名 | Melanoma antigen NY MEL 1, RAB 38, Ras related protein Rab 38, Ras-related protein Rab-38 |
| 计算分子量 | 211 aa, 24 kDa |
| 观测分子量 | 24 kDa |
| GenBank蛋白编号 | BC015808 |
| 基因名称 | RAB38 |
| Gene ID (NCBI) | 23682 |
| RRID | AB_2877839 |
| 偶联类型 | Unconjugated |
| 形式 | Liquid |
| 纯化方式 | Antigen affinity purification |
| UNIPROT ID | P57729 |
| 储存缓冲液 | PBS with 0.02% sodium azide and 50% glycerol, pH 7.3. |
| 储存条件 | Store at -20°C. Stable for one year after shipment. Aliquoting is unnecessary for -20oC storage. |
背景介绍
RAB38 (also known as rrGTPbp or NY-MEL-1) is a member of the Rab small GTPase family, which regulates intracellular vesicle trafficking and membrane transport. RAB38 is specifically expressed in lysosome-related organelle (LRO)-containing tissues and cells, such as melanocytes and platelets, where it interacts with its paralogue RAB32 to regulate melanosome biogenesis and transport melanogenic enzymes (e.g., tyrosinase, TRP1, and TRP2) from early/recycling endosomes to maturing melanosomes.
实验方案
| Product Specific Protocols | |
|---|---|
| IF protocol for RAB38 antibody 12234-1-AP | Download protocol |
| IHC protocol for RAB38 antibody 12234-1-AP | Download protocol |
| WB protocol for RAB38 antibody 12234-1-AP | Download protocol |
| Standard Protocols | |
|---|---|
| Click here to view our Standard Protocols |
发表文章
| Species | Application | Title |
|---|---|---|
EMBO Rep Rab22A recruits BLOC-1 and BLOC-2 to promote the biogenesis of recycling endosomes. | ||
JBMR Plus Interspecies Single-Cell RNA-Seq Analysis Reveals the Novel Trajectory of Osteoclast Differentiation and Therapeutic Targets | ||
bioRxiv Transitory Schwann Cell Precursor and hybrid states underpin melanoma therapy resistance and metastasis. |








