验证数据展示
经过测试的应用
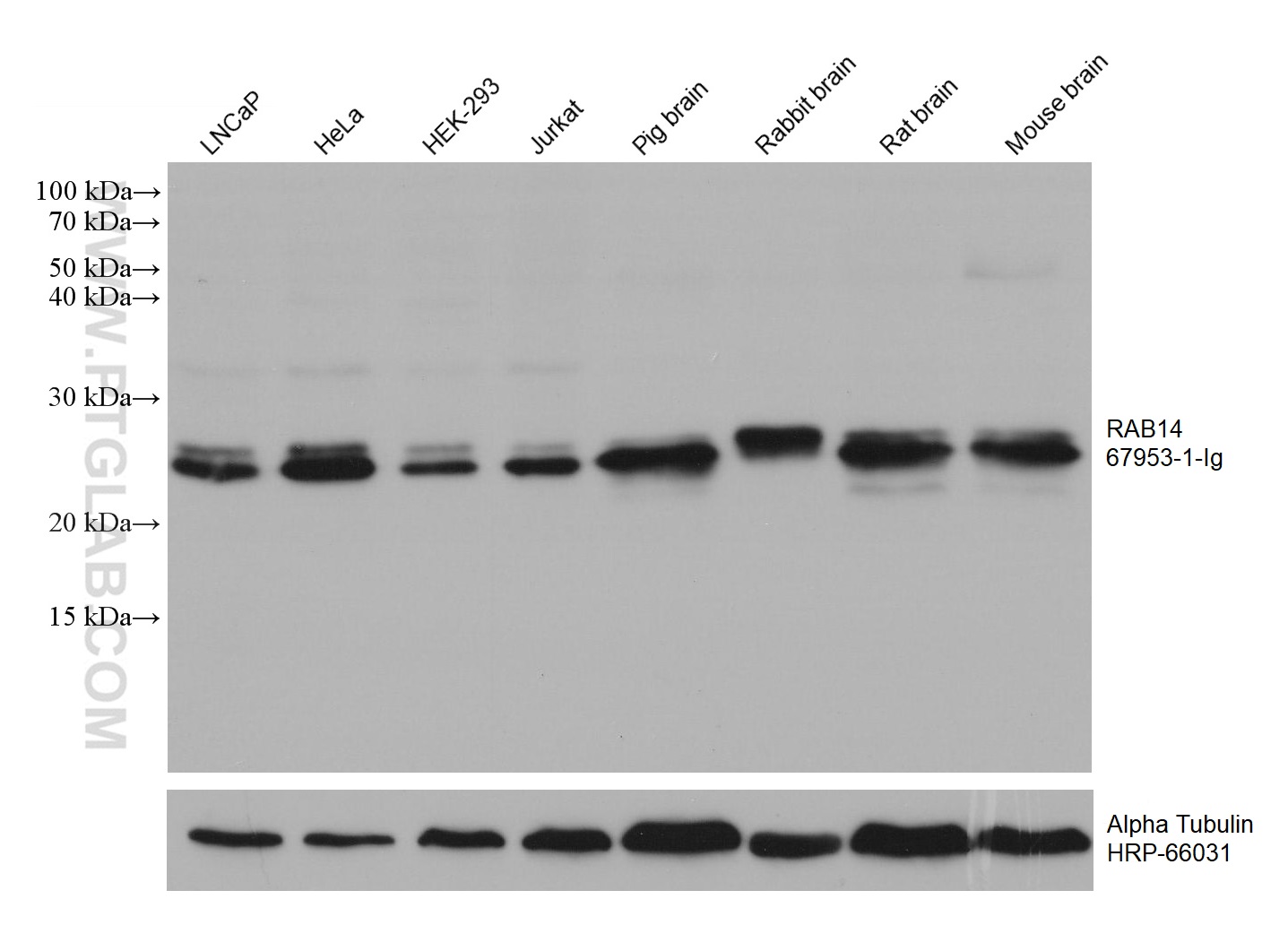
| Positive WB detected in | LNCaP cells, pig brain tissue, HCT 116 cells, K-562 cells, HSC-T6 cells, NIH/3T3 cells, HeLa cells, HEK-293 cells, Jurkat cells, rabbit brain tissue, rat brain tissue, mouse brain tissue |
| Positive IHC detected in | mouse ovary tissue, human colon cancer tissue Note: suggested antigen retrieval with TE buffer pH 9.0; (*) Alternatively, antigen retrieval may be performed with citrate buffer pH 6.0 |
| Positive IF/ICC detected in | HeLa cells |
推荐稀释比
| 应用 | 推荐稀释比 |
|---|---|
| Western Blot (WB) | WB : 1:5000-1:50000 |
| Immunohistochemistry (IHC) | IHC : 1:500-1:2000 |
| Immunofluorescence (IF)/ICC | IF/ICC : 1:400-1:1600 |
| It is recommended that this reagent should be titrated in each testing system to obtain optimal results. | |
| Sample-dependent, Check data in validation data gallery. | |
发表文章中的应用
| WB | See 1 publications below |
产品信息
67953-1-Ig targets RAB14 in WB, IHC, IF/ICC, ELISA applications and shows reactivity with human, mouse, rat, pig samples.
| 经测试应用 | WB, IHC, IF/ICC, ELISA Application Description |
| 文献引用应用 | WB |
| 经测试反应性 | human, mouse, rat, pig |
| 文献引用反应性 | human |
| 免疫原 |
CatNo: Ag8167 Product name: Recombinant human RAB14 protein Source: e coli.-derived, PET28a Tag: 6*His Domain: 1-215 aa of BC006081 Sequence: MATAPYNYSYIFKYIIIGDMGVGKSCLLHQFTEKKFMADCPHTIGVEFGTRIIEVSGQKIKLQIWDTAGQERFRAVTRSYYRGAAGALMVYDITRRSTYNHLSSWLTDARNLTNPNTVIILIGNKADLEAQRDVTYEEAKQFAEENGLLFLEASAKTGENVEDAFLEAAKKIYQNIQDGSLDLNAAESGVQHKPSAPQGGRLTSEPQPQREGCGC 种属同源性预测 |
| 宿主/亚型 | Mouse / IgG1 |
| 抗体类别 | Monoclonal |
| 产品类型 | Antibody |
| 全称 | RAB14, member RAS oncogene family |
| 别名 | 3G7B3, EC:3.6.5.2, FBP, RAB 14, Ras related protein Rab 14 |
| 计算分子量 | 215 aa, 24 kDa |
| 观测分子量 | 24 kDa |
| GenBank蛋白编号 | BC006081 |
| 基因名称 | RAB14 |
| Gene ID (NCBI) | 51552 |
| RRID | AB_2918705 |
| 偶联类型 | Unconjugated |
| 形式 | Liquid |
| 纯化方式 | Protein G purification |
| UNIPROT ID | P61106 |
| 储存缓冲液 | PBS with 0.02% sodium azide and 50% glycerol, pH 7.3. |
| 储存条件 | Store at -20°C. Stable for one year after shipment. Aliquoting is unnecessary for -20oC storage. |
背景介绍
RAB14, the final member of the Rab11 subfamily, participates in the regulation of cell secretion, ensuring the timely release of necessary substances outside the cell. RAB14 is ubiquitously expressed and localizes to the Golgi/TGN and at early endosomes (PMID: 16962593, 22595670). RAB14 contains 215 amino acids, with a molecular weight of approximately 24.6 kDa
实验方案
| Product Specific Protocols | |
|---|---|
| IF protocol for RAB14 antibody 67953-1-Ig | Download protocol |
| IHC protocol for RAB14 antibody 67953-1-Ig | Download protocol |
| WB protocol for RAB14 antibody 67953-1-Ig | Download protocol |
| Standard Protocols | |
|---|---|
| Click here to view our Standard Protocols |











