验证数据展示
经过测试的应用
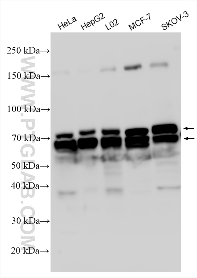
| Positive WB detected in | HeLa cells, COS-7 cells, SKOV-3 cells, HepG2 cells, L02 cells, MCF-7 cells |
| Positive IP detected in | HepG2 cells |
| Positive IHC detected in | human breast cancer tissue Note: suggested antigen retrieval with TE buffer pH 9.0; (*) Alternatively, antigen retrieval may be performed with citrate buffer pH 6.0 |
推荐稀释比
| 应用 | 推荐稀释比 |
|---|---|
| Western Blot (WB) | WB : 1:500-1:1000 |
| Immunoprecipitation (IP) | IP : 0.5-4.0 ug for 1.0-3.0 mg of total protein lysate |
| Immunohistochemistry (IHC) | IHC : 1:20-1:200 |
| It is recommended that this reagent should be titrated in each testing system to obtain optimal results. | |
| Sample-dependent, Check data in validation data gallery. | |
产品信息
16778-1-AP targets RAB11FIP1 in WB, IHC, IF, IP, RIP, ELISA applications and shows reactivity with human, mouse, rat, monkey samples.
| 经测试应用 | WB, IHC, IP, ELISA Application Description |
| 文献引用应用 | WB, IHC, IF, RIP |
| 经测试反应性 | human, mouse, rat, monkey |
| 文献引用反应性 | human, mouse, rat |
| 免疫原 |
CatNo: Ag10179 Product name: Recombinant human RAB11FIP1 protein Source: e coli.-derived, PGEX-4T Tag: GST Domain: 300-650 aa of BC077720 Sequence: SFLGGLRSKNDVLSRSNVCINGNHVYLEQPEAKGEIKDSSPSSSPSPKGFRKKHLFSSTENLAAGSWKEPAEGGGLSSDRQLSESSTKDSLKSMTLPSYRPAPLVSGDLRENMAPANSEATKEAKESKKPESRRSSLLSLMTGKKDVAKGSEGENPLTVPGREKEGMLMGVKPGEDASGPAEDLVRRSEKDTAAVVSRQGSSLNLFEDVQITEPEAEPESKSEPRPPISSPRAPQTRAVKPRLHPVKPMNAMATKVANCSLGTATIISENLNNEVMMKKYSPSDPAFAYAQLTHDELIQLVLKQKETISKKEFQVRELEDYIDNLLVRVMEETPNILRIPTQVGKKAGKM 种属同源性预测 |
| 宿主/亚型 | Rabbit / IgG |
| 抗体类别 | Polyclonal |
| 产品类型 | Antibody |
| 全称 | RAB11 family interacting protein 1 (class I) |
| 别名 | NOEL1A, Rab coupling protein, Rab11 family-interacting protein 1, rab11 FIP1, Rab11-FIP1 |
| 计算分子量 | 649aa,71 kDa; 1283aa,137 kDa |
| 观测分子量 | 71 kDa |
| GenBank蛋白编号 | BC077720 |
| 基因名称 | RAB11FIP1 |
| Gene ID (NCBI) | 80223 |
| RRID | AB_2878315 |
| 偶联类型 | Unconjugated |
| 形式 | Liquid |
| 纯化方式 | Antigen affinity purification |
| UNIPROT ID | Q6WKZ4 |
| 储存缓冲液 | PBS with 0.02% sodium azide and 50% glycerol, pH 7.3. |
| 储存条件 | Store at -20°C. Stable for one year after shipment. Aliquoting is unnecessary for -20oC storage. |
实验方案
| Product Specific Protocols | |
|---|---|
| IF protocol for RAB11FIP1 antibody 16778-1-AP | Download protocol |
| IHC protocol for RAB11FIP1 antibody 16778-1-AP | Download protocol |
| IP protocol for RAB11FIP1 antibody 16778-1-AP | Download protocol |
| WB protocol for RAB11FIP1 antibody 16778-1-AP | Download protocol |
| Standard Protocols | |
|---|---|
| Click here to view our Standard Protocols |
发表文章
| Species | Application | Title |
|---|---|---|
Mol Cancer CircRTN4 promotes pancreatic cancer progression through a novel CircRNA-miRNA-lncRNA pathway and stabilizing epithelial-mesenchymal transition protein | ||
Brief Bioinform mi-IsoNet: systems-scale microRNA landscape reveals rampant isoform-mediated gain of target interaction diversity and signaling specificity. | ||
Cancer Res CircFOXK2 Promotes Growth and Metastasis of Pancreatic Ductal Adenocarcinoma by Complexing with RNA Binding Proteins and Sponging MiR-942. | ||
Am J Cancer Res In silico development and in vitro validation of a novel five-gene signature for prognostic prediction in colon cancer | ||
ACS Appl Mater Interfaces Lithium Promotes Osteogenesis via Rab11a-Facilitated Exosomal Wnt10a Secretion and β-Catenin Signaling Activation | ||
Cancer Lett Mitochondria-located circRCP regulates redox homeostasis via stabilizing LRPPRC/SLIRP complex to promote bladder urothelial carcinoma tumorigenesis. |






