验证数据展示
经过测试的应用
| Positive WB detected in | mouse spleen tissue, HeLa cells, Jurkat cells, MCF-7 cells, SH-SY5Y cells, rat spleen tissue |
| Positive IP detected in | Jurkat cells |
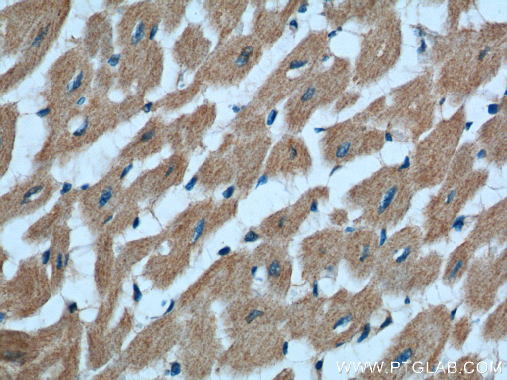
| Positive IHC detected in | human heart tissue, human placenta tissue, mouse adrenal gland tissue, rat stomach tissue, rat testis tissue Note: suggested antigen retrieval with TE buffer pH 9.0; (*) Alternatively, antigen retrieval may be performed with citrate buffer pH 6.0 |
| Positive IF/ICC detected in | A549 cells, U2OS cells |
推荐稀释比
| 应用 | 推荐稀释比 |
|---|---|
| Western Blot (WB) | WB : 1:2000-1:16000 |
| Immunoprecipitation (IP) | IP : 0.5-4.0 ug for 1.0-3.0 mg of total protein lysate |
| Immunohistochemistry (IHC) | IHC : 1:50-1:500 |
| Immunofluorescence (IF)/ICC | IF/ICC : 1:200-1:800 |
| It is recommended that this reagent should be titrated in each testing system to obtain optimal results. | |
| Sample-dependent, Check data in validation data gallery. | |
产品信息
15903-1-AP targets RAB11A/B in WB, IHC, IF/ICC, IP, CoIP, ELISA applications and shows reactivity with human, mouse, rat samples.
| 经测试应用 | WB, IHC, IF/ICC, IP, ELISA Application Description |
| 文献引用应用 | WB, IHC, IF, IP, CoIP |
| 经测试反应性 | human, mouse, rat |
| 文献引用反应性 | human, mouse, rat, pig, canine, monkey, bovine |
| 免疫原 |
CatNo: Ag8742 Product name: Recombinant human RAB11A protein Source: e coli.-derived, PGEX-4T Tag: GST Domain: 1-216 aa of BC013348 Sequence: MGTRDDEYDYLFKVVLIGDSGVGKSNLLSRFTRNEFNLESKSTIGVEFATRSIQVDGKTIKAQIWDTAGQERYRAITSAYYRGAVGALLVYDIAKHLTYENVERWLKELRDHADSNIVIMLVGNKSDLRHLRAVPTDEARAFAEKNGLSFIETSALDSTNVEAAFQTILTEIYRIVSQKQMSDRRENDMSPSNNVVPIHVPPTTENKPKVQCCQNI 种属同源性预测 |
| 宿主/亚型 | Rabbit / IgG |
| 抗体类别 | Polyclonal |
| 产品类型 | Antibody |
| 全称 | RAB11A, member RAS oncogene family |
| 别名 | Rab 11, RAB11, RAB11A, EC:3.6.5.2, Rab-11 |
| 计算分子量 | 216 aa, 24 kDa |
| 观测分子量 | 24 kDa |
| GenBank蛋白编号 | BC013348 |
| 基因名称 | RAB11A |
| Gene ID (NCBI) | 8766 |
| RRID | AB_2173458 |
| 偶联类型 | Unconjugated |
| 形式 | Liquid |
| 纯化方式 | Antigen affinity purification |
| UNIPROT ID | P62491 |
| 储存缓冲液 | PBS with 0.02% sodium azide and 50% glycerol, pH 7.3. |
| 储存条件 | Store at -20°C. Stable for one year after shipment. Aliquoting is unnecessary for -20oC storage. |
背景介绍
RAB11 has two isoform genes RAB11A(YL8) and RAB11B(YPT3), and belongs to the small GTPase superfamily and Rab family. It regulates endocytic recycling. RAB11 may exert its functions by interacting with multiple effector proteins in different complexes. It acts as a major regulator of membrane delivery during cytokinesis. RAB11 regulates the recycling of FCGRT (receptor of Fc region of monomeric Ig G) to basolateral membranes. This antibody can recognize both RAB11A(24 kDa) and RAB11B(24 kDa).
实验方案
| Product Specific Protocols | |
|---|---|
| IF protocol for RAB11A/B antibody 15903-1-AP | Download protocol |
| IHC protocol for RAB11A/B antibody 15903-1-AP | Download protocol |
| IP protocol for RAB11A/B antibody 15903-1-AP | Download protocol |
| WB protocol for RAB11A/B antibody 15903-1-AP | Download protocol |
| Standard Protocols | |
|---|---|
| Click here to view our Standard Protocols |
发表文章
| Species | Application | Title |
|---|---|---|
Nanomicro Lett Molecular Mechanisms of Intracellular Delivery of Nanoparticles Monitored by an Enzyme-Induced Proximity Labeling | ||
J Cell Biol Septins promote macropinosome maturation and traffic to the lysosome by facilitating membrane fusion. | ||
Oncogene Piccolo mediates EGFR signaling and acts as a prognostic biomarker in esophageal squamous cell carcinoma. | ||
Clin Transl Med ANXA6 suppresses the tumorigenesis of cervical cancer through autophagy induction. |

















