验证数据展示
产品信息
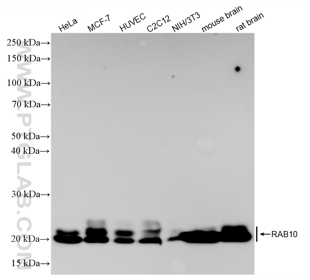
86787-1-PBS targets RAB10 in WB, IF/ICC, Indirect ELISA applications and shows reactivity with human, mouse, rat samples.
| 经测试应用 | WB, IF/ICC, Indirect ELISA Application Description |
| 经测试反应性 | human, mouse, rat |
| 免疫原 |
CatNo: Ag25830 Product name: Recombinant human RAB10 protein Source: e coli.-derived, PGEX-4T Tag: GST Domain: 130-200 aa of BC000896 Sequence: RVVPKGKGEQIAREHGIRFFETSAKANINIEKAFLTLAEDILRKTPVKEPNSENVDISSGGGVTGWKSKCC 种属同源性预测 |
| 宿主/亚型 | Rabbit / IgG |
| 抗体类别 | Recombinant |
| 产品类型 | Antibody |
| 全称 | RAB10, member RAS oncogene family |
| 别名 | EC:3.6.5.2, Ras related protein Rab 10, Ras-related protein Rab-10 |
| 计算分子量 | 200 aa, 23 kDa |
| 观测分子量 | 20-23 kDa |
| GenBank蛋白编号 | BC000896 |
| 基因名称 | RAB10 |
| Gene ID (NCBI) | 10890 |
| RRID | AB_3745118 |
| 偶联类型 | Unconjugated |
| 形式 | Liquid |
| 纯化方式 | Protein A purification |
| UNIPROT ID | P61026 |
| 储存缓冲液 | PBS only, pH 7.3. |
| 储存条件 | Store at -80°C. The product is shipped with ice packs. Upon receipt, store it immediately at -80°C |
背景介绍
RAB10 is a member of the RAB family of small GTPases, which are key regulators of vesicular trafficking. RAB proteins are cyclically controlled, requiring a GDP-GTP exchange that is facilitated by RAB guanine nucleotide exchange factors. Rab10 plays essential functional roles in development: mice are embryonic lethal when both alleles are deleted. In addition, RAB10 plays a role in maintenance and regulation of endoplasmic reticulum (ER) morphology. RAB10 function has also been linked to neuronal morphology and polarization, playing a critical role in axonal development and dendrite arborization.


